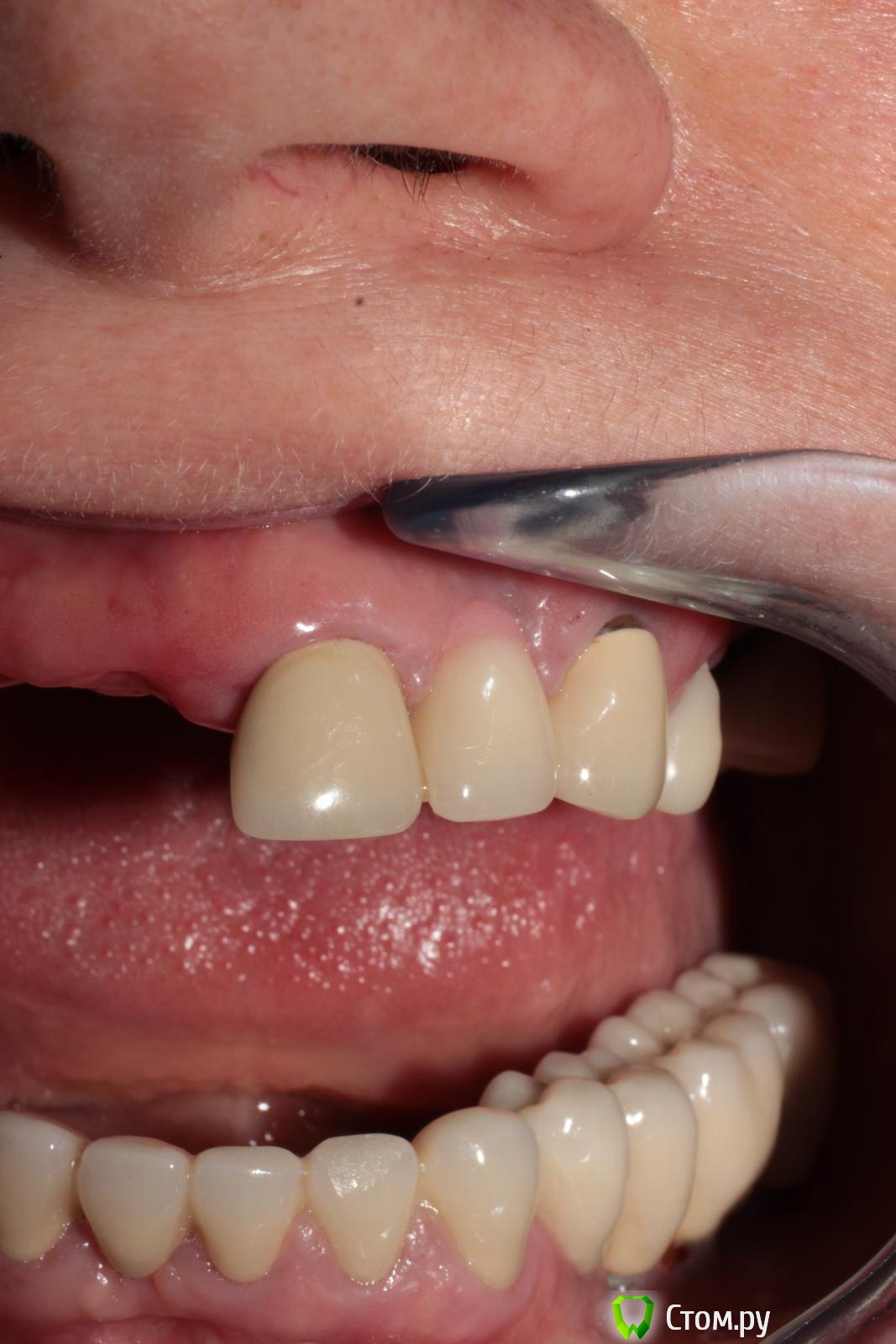
biv29 Опубликовано 30 апреля, 2014 Поделиться Опубликовано 30 апреля, 2014 (изменено) Уважаемые коллеги, прошу вашей помощи в составлении плана комплексной реабилитации пациентки.Пациентка 1962 г.р., 2 года назад были установлены имплантанты на н/ч, осуществлено протезирование (работал другой стоматолог-ортопед). Имеется вертикальная резорбция кости н/ч, рецессия десны, оголение имплантантов.На в/ч сохранены 17, 21, 23, 24, 27. Установлен ЧСПП. 21-23 МК-мостовидный протез (коронка 23 не доходит до десневого края). 24 - временная пластмассовая коронка.Имеется снижение высоты прикуса.- Я склоняюсь к следующему варианту работы:удаление 17, 21, 23, 24, 27; проведение синус-лифтингов с двух сторон, аугментация, установка имплантантов; временное протезирование на время реабилитации после операции, временное протезирование на пластмассовых коронках, постоянное протезирование МК.1. При этом плане возникает вопрос о временном протезировании сразу после хирургического вмешательства. Имплантолог против установки ПСПП на в/ч. Как поступить в этом случае? Использовать ли стабилизацию ПСПП и его фиксацию на мини-имплантантах? Достаточно ли будет мягкой подкладки на внутренней поверхности ПСПП?2. Считаете ли целесообразным осуществить протезирование сначала на в/ч без переделки орт. конструкций на н/ч? 3. 21, 23, 24 - стоит удалять или есть вероятность, что еще послужат? 4. Какой план протезирования вы бы предложили в данной клинической ситуации? Заранее спасибо за возможные ответы. Изменено 30 апреля, 2014 пользователем biv29 Ссылка на комментарий
M@estro Опубликовано 30 апреля, 2014 Поделиться Опубликовано 30 апреля, 2014 (изменено) фото в прикусе нет ? Эстатика важна ? Фото улыбки есть ? Изменено 30 апреля, 2014 пользователем M@estro Ссылка на комментарий
biv29 Опубликовано 30 апреля, 2014 Автор Поделиться Опубликовано 30 апреля, 2014 P.S. модели загипсовал на высоту согласно индексу Шимбачи. Ссылка на комментарий
biv29 Опубликовано 30 апреля, 2014 Автор Поделиться Опубликовано 30 апреля, 2014 1. Фото в прикусе сейчас есть только на моделях (см. вложение). При необходимости приглашу пациентку и сделаю дополнительно.2. Эстетика важна, но альтернативные варианты в пределах разумного можно обговорить. Главное неудобство для пациентки - съемный протез на в/ч. Ссылка на комментарий
M@estro Опубликовано 30 апреля, 2014 Поделиться Опубликовано 30 апреля, 2014 Я бы зубы не удалял на верхней челюсти. Смотря что там под коронкам и, конечно. 5 имплантатов в позиции 1.6 ,1.4,1.3 ,1.1 ,2.5, 2.6 "Семёрки" - на выход. Это - компромиссный вариант. В идеале + низ,оголённые шейки мне не нравятся,но там работы много. ИМХО. Ссылка на комментарий
biv29 Опубликовано 30 апреля, 2014 Автор Поделиться Опубликовано 30 апреля, 2014 Маэстро, - 5 имплантатов в позиции 1.6 ,1.4,1.3 ,1.1 ,2.5, 2.6 1. Т.е. верхнюю зубную дугу ограничить 6-ками? 2. А как в таком случае предусмотреть вариант временного протезирования после синусов и аугментации? Хирург планирует сначала провести костнозамещающие операции и через минимум 6 мес. устанавливать имплантаты. Я предложил сделать съемный протез с телескопическими коронками на 21, 23, 24 и ограничением дуги до 4-5-к зубов. Просто для временной эстетики (пациентка не может больше 1 мес. находиться без зубов). Ссылка на комментарий
M@estro Опубликовано 30 апреля, 2014 Поделиться Опубликовано 30 апреля, 2014 2. А как в таком случае предусмотреть вариант временного протезирования после синусов и аугментации? Если капа с зубами не устраивает - то бюгель кламмерный с опорно - удерживающими на седьмые. Ссылка на комментарий
ksyshonochek Опубликовано 30 апреля, 2014 Поделиться Опубликовано 30 апреля, 2014 Если капа с зубами не устраивает - то бюгель кламмерный с о###### - удерживающими на седьмые. В том-то и дело, что планируется удаление 7-х до синусов и аугментации. Т.е. удаление 17, 27, костно-замещающие операции и временное протезирование. На в/ч остаются только 21, 23, 24... Ссылка на комментарий
biv29 Опубликовано 1 мая, 2014 Автор Поделиться Опубликовано 1 мая, 2014 В том-то и дело, что планируется удаление 7-х до синусов и аугментации. Т.е. удаление 17, 27, костно-замещающие операции и временное протезирование. На в/ч остаются только 21, 23, 24...P.S. Сорри, с аккаунта супруги написал дома. Ссылка на комментарий
Lolopop Опубликовано 4 мая, 2014 Поделиться Опубликовано 4 мая, 2014 я бы тоже не спешил с удалением дистальных опор. хотя бы используйте для рентгеноконтрасных шаблонов Ссылка на комментарий
biv29 Опубликовано 4 мая, 2014 Автор Поделиться Опубликовано 4 мая, 2014 Спасибо за ответы. А что посоветуете для временного протезирования после синусов и аугментации? Рационально ли использование в этот период ЧСПП? Ссылка на комментарий
Lolopop Опубликовано 6 мая, 2014 Поделиться Опубликовано 6 мая, 2014 Спасибо за ответы. А что посоветуете для временного протезирования после синусов и аугментации? Рационально ли использование в этот период ЧСПП?тут уже сказали , идеально было бы - назубная каппа, не самое эстетичная вещь, но лучше чем чспп Ссылка на комментарий
biv29 Опубликовано 6 мая, 2014 Автор Поделиться Опубликовано 6 мая, 2014 тут уже сказали , идеально было бы - назубная каппа, не самое эстетичная вещь, но лучше чем чсппОбычная вакуумформерная по вокс-апу подойдет? Искусственные зубы изнутри заполнить пластмассой для временных коронок? Или я неправильно представляю эту конструкцию? Ссылка на комментарий
Lolopop Опубликовано 6 мая, 2014 Поделиться Опубликовано 6 мая, 2014 (изменено) Обычная вакуумформерная по вокс-апу подойдет? Искусственные зубы изнутри заполнить пластмассой для временных коронок? Или я неправильно представляю эту конструкцию?даа))по вокс апу делают вакуум каппу, потом в нее пластмассу или композит и в полость рта, как силиконовый ключ.единственное нужно чтобы воск, был потверже-чтобы не сломался при вакуум обжимке каппой Изменено 6 мая, 2014 пользователем Lolopop Ссылка на комментарий
Rash163 Опубликовано 6 мая, 2014 Поделиться Опубликовано 6 мая, 2014 даа))по вокс апу делают вакуум каппу, потом в нее пластмассу или композит и в полость рта, как силиконовый ключ.единственное нужно чтобы воск, был потверже-чтобы не сломался при вакуум обжимке каппой тогда модель с воском продублировать надо и потом вакуум капу) и не сломается ни чего. Ссылка на комментарий
biv29 Опубликовано 6 мая, 2014 Автор Поделиться Опубликовано 6 мая, 2014 тогда модель с воском продублировать надо и потом вакуум капу) и не сломается ни чего.это понятно .) значит правильно понял. спасибо за помощь участникам. Ссылка на комментарий
Рекомендуемые сообщения
Для публикации сообщений создайте учётную запись или авторизуйтесь
Вы должны быть пользователем, чтобы оставить комментарий
Создать аккаунт
Зарегистрируйте новый аккаунт в нашем сообществе. Это очень просто!
Регистрация нового пользователяВойти
Уже есть аккаунт? Войти в систему.
Войти