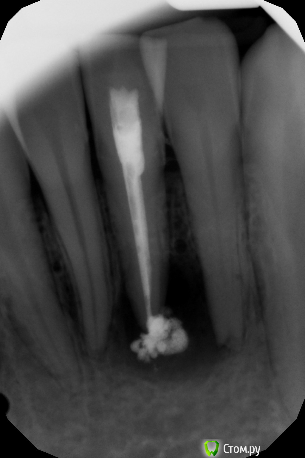
Григорий2014 Опубликовано 22 апреля, 2014 Поделиться Опубликовано 22 апреля, 2014 (изменено) Добрый день. Прошу вашего совета в дальнейших действиях и лечении.Ранее была травма нижних зубов 11 оба шатались. После фиксации проходил 2 недели с шиной и забыл об этом как страшный сон. Это было вроде 2008 году.Посещение 02.04.2014 диагноз радикулярная киста Г1 (сделали снимок почему-то он не сохранился прикрепить не могу). Канал почистили, заложили витапекс.Посещение 14.04.2014 промыли канал заложили витапекс повторно. Сделали снимок (во вложении).Следующее посещение назначили через месяц, сказали будут лечить гидрооксидом калия.Прошу дать заключение о успешности терапевтического лечения в данной ситуации. Заранее спасибо. Изменено 22 апреля, 2014 пользователем Григорий2014 Ссылка на комментарий
DmitrySH Опубликовано 22 апреля, 2014 Поделиться Опубликовано 22 апреля, 2014 Прошу дать заключение о успешности терапевтического лечения в данной ситуации. Заранее спасибо. Заключение о успешности лечение можно получить имея исходный снимок до лечения и снимок месяцев через 6 после лечения. Сейчас просто один из этапов. Нужно проверить жизнеспособность соседнего зуба, на снимке справа. Возможно он тоже вовлечен в процесс. 2 Ссылка на комментарий
shishok Опубликовано 23 апреля, 2014 Поделиться Опубликовано 23 апреля, 2014 Следующее посещение назначили через месяц, сказали будут лечить гидрооксидом калия. А сколько по времени они собираются его лечить?Ждать положительной динамики имеет смысл только после постоянной пломбировки канала. Ссылка на комментарий
Григорий2014 Опубликовано 24 апреля, 2014 Автор Поделиться Опубликовано 24 апреля, 2014 Заключение о успешности лечение можно получить имея исходный снимок до лечения и снимок месяцев через 6 после лечения. Сейчас просто один из этапов. Нужно проверить жизнеспособность соседнего зуба, на снимке справа. Возможно он тоже вовлечен в процесс. Как это можно проверить? Какие есть способы? Ссылка на комментарий
Григорий2014 Опубликовано 24 апреля, 2014 Автор Поделиться Опубликовано 24 апреля, 2014 А сколько по времени они собираются его лечить?Ждать положительной динамики имеет смысл только после постоянной пломбировки канала. Хотелось узнать, как проводиться терапевтическое лечение и какова вероятность положительного результата? Ссылка на комментарий
red_butler Опубликовано 25 апреля, 2014 Поделиться Опубликовано 25 апреля, 2014 (изменено) Определение Жизнеспособности проводится термо пробой хладагентом, и/или электро однотомник диагностикой. Терапевтическое лечение заключается в полноценной механической и медикаментозной обработке в условиях изоляции коффердамом, с последующим пломбированием корневых каналов временными или постоянными материалами. При соблюдении протоколов эндодонтического лечения - эффективность высокая Изменено 25 апреля, 2014 пользователем red_butler 2 Ссылка на комментарий
DmitrySH Опубликовано 25 апреля, 2014 Поделиться Опубликовано 25 апреля, 2014 Спасибо а то уж поленился писать в очередной раз. Да, по снимку, очень похоже в этих зубах по 2 канала. Главное не пропустить при лечении. иначе ничего хорошего не выйдет. Ссылка на комментарий
Григорий2014 Опубликовано 27 апреля, 2014 Автор Поделиться Опубликовано 27 апреля, 2014 Заключение о успешности лечение можно получить имея исходный снимок до лечения и снимок месяцев через 6 после лечения. Сейчас просто один из этапов. Нужно проверить жизнеспособность соседнего зуба, на снимке справа. Возможно он тоже вовлечен в процесс. Забыл добавить, что потемнел только один зуб. Я так понимаю, это не показатель, что он точно жив? Ссылка на комментарий
red_butler Опубликовано 27 апреля, 2014 Поделиться Опубликовано 27 апреля, 2014 Забыл добавить, что потемнел только один зуб. Я так понимаю, это не показатель, что он точно жив?Скорее наоборот Ссылка на комментарий
Григорий2014 Опубликовано 28 апреля, 2014 Автор Поделиться Опубликовано 28 апреля, 2014 Скорее наоборот Ну да. Просто хотеться знать через какой время темнеет зуб после гибели нерва. Ссылка на комментарий
Гарриевич Опубликовано 1 мая, 2014 Поделиться Опубликовано 1 мая, 2014 Ну да. Просто хотеться знать через какой время темнеет зуб после гибели нерва.Если лечение проведено правильно, зубы не темнеют, только теряется "блеск" Ссылка на комментарий
Рекомендуемые сообщения
Для публикации сообщений создайте учётную запись или авторизуйтесь
Вы должны быть пользователем, чтобы оставить комментарий
Создать аккаунт
Зарегистрируйте новый аккаунт в нашем сообществе. Это очень просто!
Регистрация нового пользователяВойти
Уже есть аккаунт? Войти в систему.
Войти