Алексей Александрович Опубликовано 11 апреля, 2014 Поделиться Опубликовано 11 апреля, 2014 Здравствуйте! Мне один врач поставил диагноз "Пародонтоз", другой поставил "Пародонтит". Я слышал, что это всё таки разные болезни и поэтому решил обратится к вам, чтобы вы по снимку сказали, что именно у меня?! Первый врач так же сказал, что верхняя челюсть у меня в норме, а другой сказал, что зубы и верхней челюсти начали терять костную ткань. Ещё интересует, правильно ли меня начал лечить первый врач?1) Ренгенография цифровая. пантомографом;2) Профессиональная гигиена 26 зубов при забол. пародонта;3) Повязка при леч. парадон. кармана 1 зуба (который гноился);4) Медикаментоз. леч. парадонт. кармана (орошение, истиляция, аппликация) 1 зуба;5) Лечебная инъекция 5 зубов нижней челюсти6) Применение дентального лазера типа "Фотосан" Второй врач, сказал что это всё правильно, что делал первый врач... но он так и не снял воспаление, выделение гноя из одного зуба продолжается. Он сказал, что надо в первую очередь убрать гной, точнее проколоть в течении 5 дней "Линкомицин" в десна зубов. Посоветуйте мне, как лечится... Знаю что пародонтит и пародонтоз не лечится, но слышал что можно остановить процесс разрушения костной ткани... Что вы посоветуете?! Может есть план лечения, чтобы я точно знал, как мне лечиться... А то получается, сколько врачей столько и мнений... и деньги берут бешеные, а гной уже 2-ю неделю выходит из-под переднего зуба нижней челюсти, он на снимке самый короткий спереди. Ссылка на комментарий
red_butler Опубликовано 11 апреля, 2014 Поделиться Опубликовано 11 апреля, 2014 У вас конечно же пародонтит. В разной степени в процесс вовлечены все зубы. Требуется комплексный план реабилитации. Если судить только по снимку:1. Профессиональная гигиена, с последующей общей и местной противовоспалительное терапией и коррекцией индивидуальной гигиены.2. Терапевтическая и хирургическая санация, как минимум перелечить 3.6 и удалить зубы мудрости на нижней челюсти.3. Открытый и закрытый кюретаж на нижней и верхней челюстях4. Имплантация и протезирование Но... Поймите главное, инъекциями линкомицина пародонтит не лечат, а следовательно ищите других врачей Ссылка на комментарий
diesel87 Опубликовано 11 апреля, 2014 Поделиться Опубликовано 11 апреля, 2014 У вас конечно же пародонтит.Но... Поймите главное, инъекциями линкомицина пародонтит не лечат, а следовательно ищите других врачейАбсолютно согласен! Ссылка на комментарий
Алексей Александрович Опубликовано 11 апреля, 2014 Автор Поделиться Опубликовано 11 апреля, 2014 Спасибо за ответ. Я так и понял, что в одной поликлинике лохотрон (высасывание денег)... А в другой ничего больше не умеют делать, как антибиотики в десна колоть, чтобы это привело к одномоментному разрушению большого количества патогенных микроорганизмов. В нашей области похоже хорошего пародонтолога не найти... жаль Ссылка на комментарий
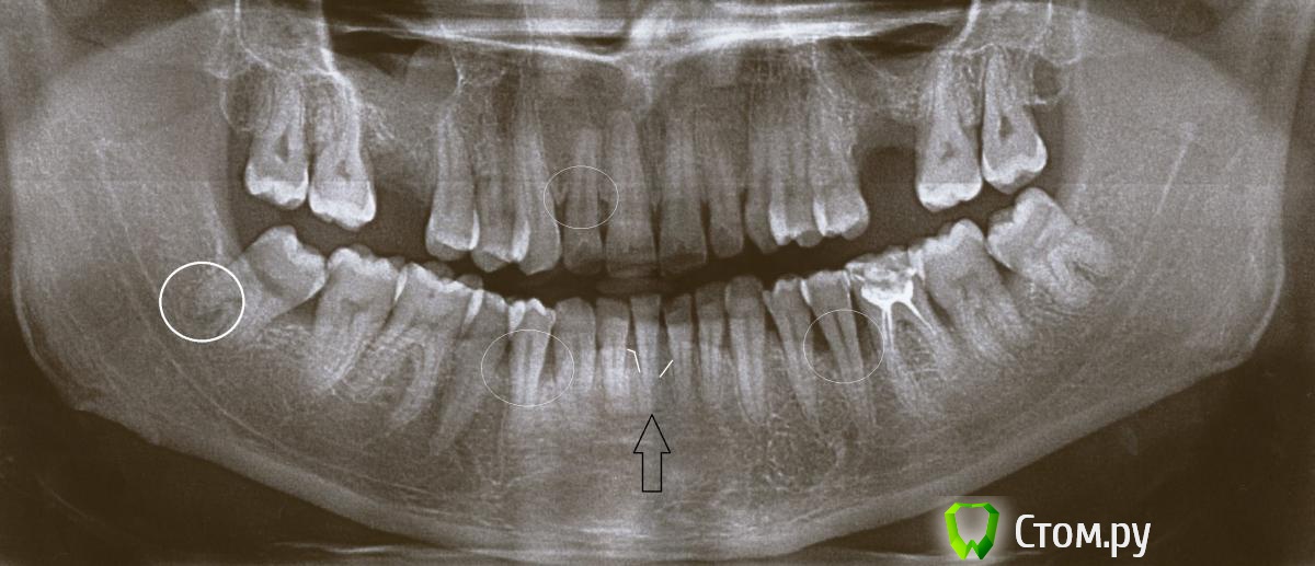
Алексей Александрович Опубликовано 11 апреля, 2014 Автор Поделиться Опубликовано 11 апреля, 2014 Вот мне ответил профессионал. Можете чо-нибудь добавить или наоборот раскритиковать?Добрый день.Характер резорбции костной ткани говорил о воспалительной причине, т.е. это пародонтИТ.И, кстати, нижний зуб слева на снимке - у него на верхушке корня есть небольшая киста, зуб требует депульпирования и лечения периодонтита.В прикрепленном файле ваш снимок с пометками:слева внизу указан зуб с периодонтитом (писал о нем выше). Остальные отметки показывают основные проблемные участки, где у зубов есть глубокие пародонтальные карманы. В области передних верхних зубов резорбция кости есть везде, но особенно в области 1 зуба. Внизу степень резорбции кости также неоднородна - преимущественно в области 4-5х зубов слева и справа.Самые большие изменения у зуба, о котором вы пишите (этот зуб отмечен черный стрелкой). Белые линии отмечают уровни до которых рассосалась кость.Нужен хороший пародонтолог. И тут нужно не только снимать качественно поддесневые зубные камни и проводить противовоспалительную терапию, но и нужно делать открытый кюретаж с подсадкой синтетической костной ткани особенно в области нижних зубов (не всех, а некоторых групп зубов). А также срочно депульпировать нижний резец и шинировать его к нескольким соседним зубам стекловолокном).По вашим назначениям я уже вижу полный непрофессионализм врача. Депульпирование пародонтитных зубов делается в случаях, если атрофия костной ткани больше 1/2 длины корня, у вас у нижнего резца резорбция (атрофия) значительно больше. Кроме того, лазер будет только способствовать увеличению скорости резорбции кости, т.к. при таком лечении вся причинная инфекция как была так и останется на своих местах, только немного станет по-меньше. Лечебные инъекции - это судя по всему уколы Линкомицина... А вот это уже серьезно. Серьезный вред может нанести.Уколы антибиотиков должны быть только внутримышечно либо в таблетках."повязка для нагноившегося кармана" - такой же бред.Лечение должно было быть примерно таким (основные моменты):1. Снятие наиболее массивных зубных отложений в 1ое посещение, промывание карманов, обработка десны гелем. Назначение 10ти дневного курса антибиотикотерапии, антисептических полосканий, и противовоспалительного геля для обработки десны.Депульпирование нижнего резца (в канале оставить лекарство, зуб сразу пломбировать нельзя).2ое посещение - продолжение снятия зубных отложений (в том числе поддесневых), промывание карманов, обучение правильной гигиене полости рта. Промывание корневого канала нижнего резца, смена лекарста.Далее - через несколько дней, когда десна успокоится, уменьшится ее отек - полировка поверхности корней в пародонтальных карманах и коронок всех зубов. Пломбирование корневого канала нижнего резца. Далее пациент сам продолжает делать все назначения.Далее - после полного стихания воспаления (через 10-12 дней) решается вопрос о необходимости чистки пародонтальных карманов от грануляций, т.е. о необходимости Открытого кюретажа. У вас это происходит особенно в области 4-5х зубов внизу и боковом резце вверху.Шинирование нижнего резца обязательно, или вы его очень быстро потеряете. Кости очень мало, зуб не держит нормально жевательную нагрузку - мигом расшатается и выпадет иначе. Ссылка на комментарий
Bier Опубликовано 11 апреля, 2014 Поделиться Опубликовано 11 апреля, 2014 Согласен, инъекции и примочки бесполезны и даже вредны. Только чистка и полировка корней. Ссылка на комментарий
Bier Опубликовано 11 апреля, 2014 Поделиться Опубликовано 11 апреля, 2014 Депульпировать никакие зубы не нужно, это бред. В остальном so-so верно, хотя много отсебятины конечно. Ссылка на комментарий
Алексей Александрович Опубликовано 11 апреля, 2014 Автор Поделиться Опубликовано 11 апреля, 2014 Кстати, о том зубе что он говорит, который предалагет депульпировать. Гнойное выделение идет, а это значит что есть восполительный процесс. Жаль не взял снимок именно этого зуба, рентген зуба этого есть отдельно. Только на нем никто не увидел кисту. И ещё... зубы у меня совершенно не болят и не беспокоят, даже десна не болят... тревожит только выход гноя и очень слабое пошатывание зуба, из-за которого обратился в стоматологический кабинет. А получил Пародонтит... и как говорят хронический, уже лет 5-ть развивающий... Кстати ещё линфоузлы подчелюстные воспалились слегка. Ссылка на комментарий
Рекомендуемые сообщения
Для публикации сообщений создайте учётную запись или авторизуйтесь
Вы должны быть пользователем, чтобы оставить комментарий
Создать аккаунт
Зарегистрируйте новый аккаунт в нашем сообществе. Это очень просто!
Регистрация нового пользователяВойти
Уже есть аккаунт? Войти в систему.
Войти