Wladislav Опубликовано 8 апреля, 2014 Поделиться Опубликовано 8 апреля, 2014 Добрый день, Очень прошу дать совет или рекомендацию, что можно сделать в этом случае...Имплантанты исключены (очень источена кость).Осложнения - проблемы височно-челюстного сустава (как следствие).Необходимо что-то делать, пока не поздно, но что именно вы посоветуете? Спасибо за внимание! Очень надеюсь на ответ! Ссылка на комментарий
diesel87 Опубликовано 8 апреля, 2014 Поделиться Опубликовано 8 апреля, 2014 (изменено) Санация полости рта, ортодонтия, костная пластика, имплантация. Изменено 8 апреля, 2014 пользователем diesel87 1 Ссылка на комментарий
IvanK Опубликовано 9 апреля, 2014 Поделиться Опубликовано 9 апреля, 2014 Санация полости рта, ортодонтия, костная пластика, имплантация.лаконично Ссылка на комментарий
Wladislav Опубликовано 9 апреля, 2014 Автор Поделиться Опубликовано 9 апреля, 2014 В данном случае лаконичность звучит страшнее(( Нет, имплантанты исключаются.Я бы хотел узнать подробнее о протезировании. Ссылка на комментарий
IvanK Опубликовано 9 апреля, 2014 Поделиться Опубликовано 9 апреля, 2014 http://s011.radikal.ru/i318/1404/07/b822a9f5f9fd.jpg Ссылка на комментарий
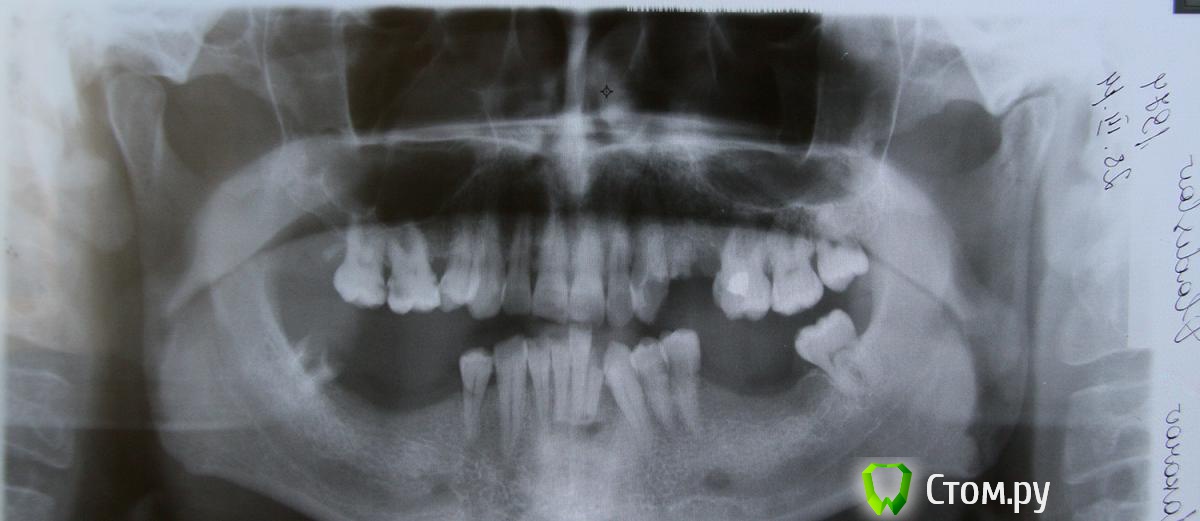
IvanK Опубликовано 9 апреля, 2014 Поделиться Опубликовано 9 апреля, 2014 удаление 18, 23?, 24,28, 48,32?проф гигиена + обучение,лечение у пародонтологасъемный протез/протезы кажется , что снимок перевернут.. Ссылка на комментарий
Военный Врач Опубликовано 9 апреля, 2014 Поделиться Опубликовано 9 апреля, 2014 удаление 18, 23?, 24,28, 48,32?проф гигиена + обучение,лечение у пародонтологасъемный протез/протезы кажется , что снимок перевернут..Можно добавить съемники акрил/акри-фри/нейлон/бюгель+мк Ссылка на комментарий
Wladislav Опубликовано 9 апреля, 2014 Автор Поделиться Опубликовано 9 апреля, 2014 Простите что такое бюгель+мк? Я хотел бы узнать, сколько зубов надо на нижней челюсти обтачивать чтобы поставить бюгельный протез на замках? Кажется это самый подходящий выход((( Будет ли он случить относительно долго или все бесполезно?Как увеличить срок службы протеза? Ставить коронки из специальных сплавов....? Извините, может быть, за глупые вопросы, но надо все взвесить и узнать до начала лечения. Здесь стоматология не так хорошо развита((( Ссылка на комментарий
Гарриевич Опубликовано 9 апреля, 2014 Поделиться Опубликовано 9 апреля, 2014 Бюгель + мк, имеется в виду бюгельный протез с опорой на зубы покрытые металлокерамическими коронками. Замковый я бы Вам не советовал, тем более если стоматология не сильно развитаСрок службы протеза увеличивается за счет перебазировок, то есть добавления пластмассы в основу протеза, его как бы утолщают. Такая процедура делается раз в полгода-годСрок сдужбы любого сьемного протеза около пяти лет приблизительно 1 Ссылка на комментарий
Wladislav Опубликовано 9 апреля, 2014 Автор Поделиться Опубликовано 9 апреля, 2014 Бюгель + мк, имеется в виду бюгельный протез с опорой на зубы покрытые металлокерамическими коронками. Замковый я бы Вам не советовал, тем более если стоматология не сильно развитаСрок службы протеза увеличивается за счет перебазировок, то есть добавления пластмассы в основу протеза, его как бы утолщают. Такая процедура делается раз в полгода-годСрок сдужбы любого сьемного протеза около пяти лет приблизительноЯ читал о них... Это так называемые телескопические??? Поясните пожалуйста их преимущества перед замковыми, очень прошу.И еще - сколько зубов придется обтачивать (депульпировать) в этом случае. Неужели все? Ссылка на комментарий
Wladislav Опубликовано 10 апреля, 2014 Автор Поделиться Опубликовано 10 апреля, 2014 Еще один вопрос, уважаемые специалисты. Если делать бюгельные протезы на замках, если ли способ продлить жизнь зуба, то есть использовать специальные, неокисляющиеся сплавы. Я так понял что для телескопиченского нужно все зубы обтачивать и ставить на них коронки. В моем случае может быть, лучше согласиться на замковый? Очень прошу посоветовать, важно ваше мнение! Ссылка на комментарий
Гарриевич Опубликовано 12 апреля, 2014 Поделиться Опубликовано 12 апреля, 2014 Если у Вас стоматологи не высокого уровня, делайте обычный бюгельный протез на кламерах, под коронки закрывают только опорные зубы Ссылка на комментарий
Wladislav Опубликовано 13 апреля, 2014 Автор Поделиться Опубликовано 13 апреля, 2014 Я просто хотел чтобы не было видно крючков( А замковый хорошо бы подошел для этого.Скажите пожалуйста, это очень сложная процедура по сравнению с кламмерным? И еще - для замкового также обтачиваются только несущие зубы? Напишите прошу вас, по снимку, сколько зубов на нижней челюсти придется депульпировать?Заранее благодарю за внимание и поддержку! Ссылка на комментарий
Гарриевич Опубликовано 13 апреля, 2014 Поделиться Опубликовано 13 апреля, 2014 По сравнению с кламерным - сложная и требует шикарного исполнения от врача и от техника. Для замкового покрываются коронками группы зубов, не только крайние от дефекта. Депульпировать под что? Что Вам ваш врач говорит лечащий? Ссылка на комментарий
red_butler Опубликовано 14 апреля, 2014 Поделиться Опубликовано 14 апреля, 2014 Хорошо исполненный бюгель с замковым креплением, как правило стоит не меньше протезирования на имплантах Ссылка на комментарий
Рекомендуемые сообщения
Для публикации сообщений создайте учётную запись или авторизуйтесь
Вы должны быть пользователем, чтобы оставить комментарий
Создать аккаунт
Зарегистрируйте новый аккаунт в нашем сообществе. Это очень просто!
Регистрация нового пользователяВойти
Уже есть аккаунт? Войти в систему.
Войти