Большой Зеленый Опубликовано 14 июля, 2016 Автор Поделиться Опубликовано 14 июля, 2016 монофил?Он самый. 4.0 не по феншую . Ссылка на комментарий
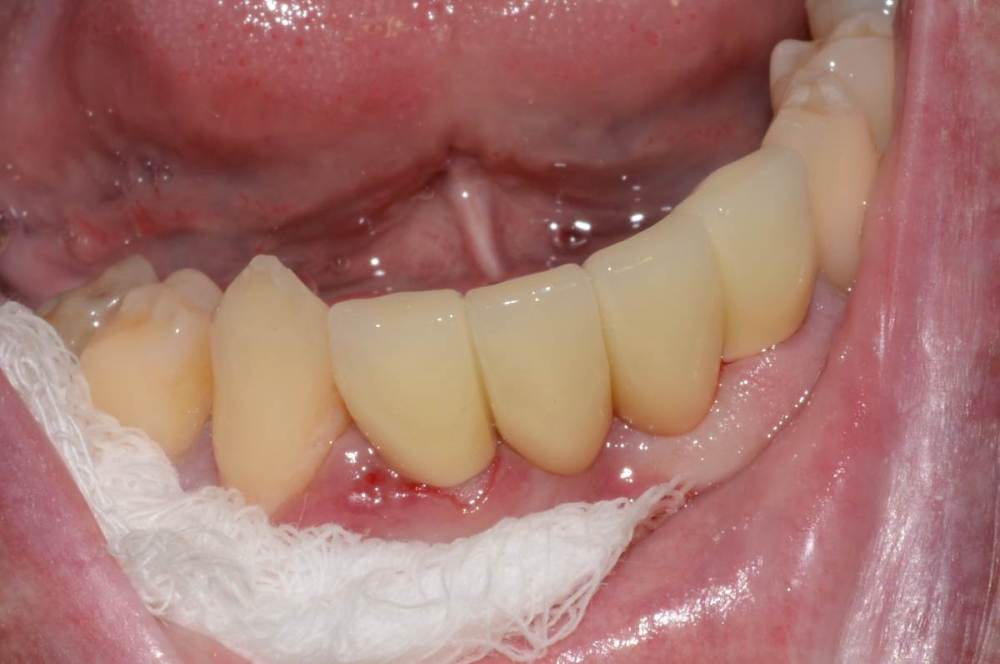
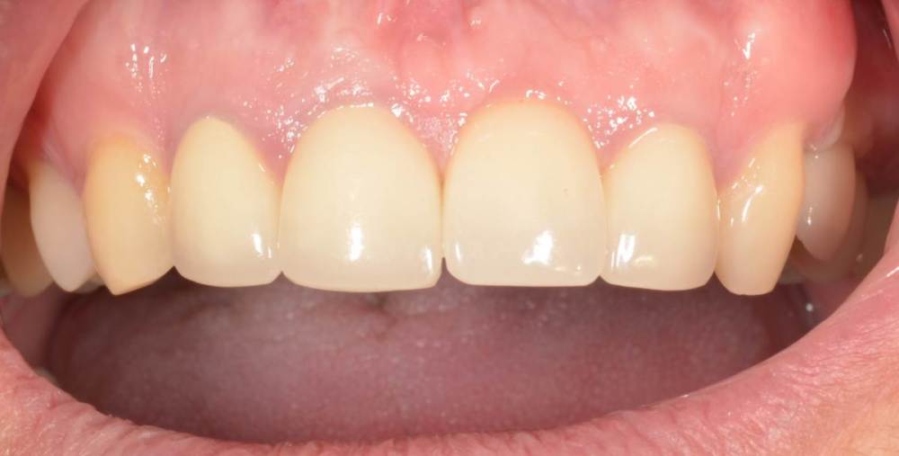
Большой Зеленый Опубликовано 24 ноября, 2021 Автор Поделиться Опубликовано 24 ноября, 2021 7,5 лет полет нормальный ..И это не может не радовать.) 6 1 1 Ссылка на комментарий
dentikl Опубликовано 24 ноября, 2021 Поделиться Опубликовано 24 ноября, 2021 а был снимок режущего?Вперед не двинулся 21? Ссылка на комментарий
Большой Зеленый Опубликовано 24 ноября, 2021 Автор Поделиться Опубликовано 24 ноября, 2021 Был такой изначально. Ссылка на комментарий
Большой Зеленый Опубликовано 24 ноября, 2021 Автор Поделиться Опубликовано 24 ноября, 2021 Ссылка на комментарий
Большой Зеленый Опубликовано 24 ноября, 2021 Автор Поделиться Опубликовано 24 ноября, 2021 Кажется что он ушел немного вперед. Просто угол раскрытия у 21 немного отличается от 11 Ссылка на комментарий
pit Опубликовано 25 ноября, 2021 Поделиться Опубликовано 25 ноября, 2021 24.11.2021 в 06:50, Большой Зеленый сказал: 7,5 лет полет нормальный ..И это не может не радовать.) Отличный результат! Обрати внимание коронка 21 зуба короче, чем 11. На старте были одинаковые). Рост челюсти, ничего не поделать Ссылка на комментарий
Большой Зеленый Опубликовано 27 ноября, 2021 Автор Поделиться Опубликовано 27 ноября, 2021 Ну наверное да, есть чуток. Но пациента совершенно ничего не беспокоит. Он доволен и счастлив. Ссылка на комментарий
Карен Аванесов Опубликовано 30 ноября, 2021 Поделиться Опубликовано 30 ноября, 2021 24.11.2021 в 06:50, Большой Зеленый сказал: 7,5 лет полет нормальный ..И это не может не радовать.) Ежели б ты Зеленый, клеил бы стекловолокно, радости года на 2-3 хватило бы, вкв - сила!! 1 Ссылка на комментарий
pit Опубликовано 30 ноября, 2021 Поделиться Опубликовано 30 ноября, 2021 4 часа назад, Карен Аванесов сказал: Ежели б ты Зеленый, клеил бы стекловолокно, радости года на 2-3 хватило бы, вкв - сила!! Насчет вкв- поддерживаю) Ссылка на комментарий
Большой Зеленый Опубликовано 1 декабря, 2021 Автор Поделиться Опубликовано 1 декабря, 2021 Согласен , проверено временем. Я уверен что они будут стоять еще долго. У меня есть пациент который с гигиеной не дружит вообще (от слова совсем) чистить зубы это для него лишнее. Так вот у него тоже стоит мост без проблем лет 7 или 8 . сейчас поищу фото Ссылка на комментарий
Большой Зеленый Опубликовано 1 декабря, 2021 Автор Поделиться Опубликовано 1 декабря, 2021 1 Ссылка на комментарий
Рекомендуемые сообщения
Для публикации сообщений создайте учётную запись или авторизуйтесь
Вы должны быть пользователем, чтобы оставить комментарий
Создать аккаунт
Зарегистрируйте новый аккаунт в нашем сообществе. Это очень просто!
Регистрация нового пользователяВойти
Уже есть аккаунт? Войти в систему.
Войти