ILGAMSA Опубликовано 30 января, 2015 Поделиться Опубликовано 30 января, 2015 Супер! Ссылка на комментарий
Большой Зеленый Опубликовано 30 января, 2015 Автор Поделиться Опубликовано 30 января, 2015 Отлично! прилично выросло. Это через скока?примерно 6 или 7 месяцев Ссылка на комментарий
carloss Опубликовано 30 января, 2015 Поделиться Опубликовано 30 января, 2015 Супер! +++ Ссылка на комментарий
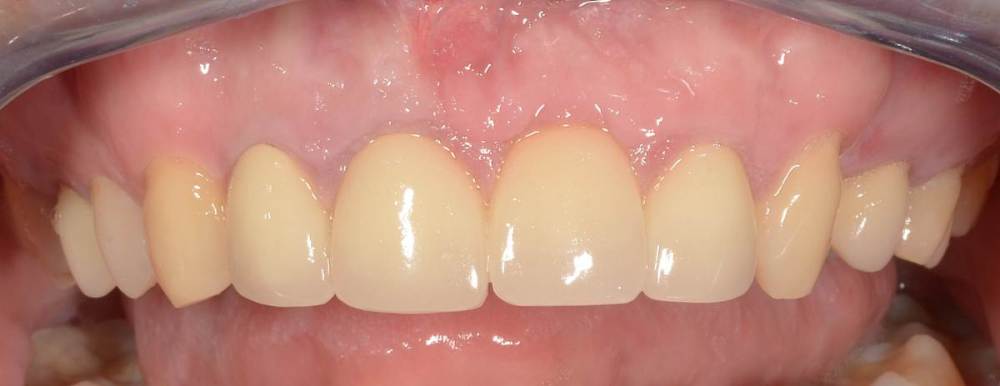
Владмир Опубликовано 30 января, 2015 Поделиться Опубликовано 30 января, 2015 (изменено) Мне кажется немного выросли и не поймешь где имплант) Изменено 30 января, 2015 пользователем Владмир 3 Ссылка на комментарий
MayTaraki Опубликовано 30 января, 2015 Поделиться Опубликовано 30 января, 2015 Очень достойно! Ссылка на комментарий
Большой Зеленый Опубликовано 31 января, 2015 Автор Поделиться Опубликовано 31 января, 2015 и не поймешь где имплант) Пациент очень рад. 1 Ссылка на комментарий
Чертков Александр Опубликовано 2 февраля, 2015 Поделиться Опубликовано 2 февраля, 2015 Пациент очень рад. Ещё бы! Ссылка на комментарий
Айнур Фаязович Опубликовано 28 ноября, 2015 Поделиться Опубликовано 28 ноября, 2015 Это беззольный копачок для индивидуального моделирования абатмента .Я наслаивал на него жидкотекучий филтек и формировал слизистую. из этого колпачка вы изготовили временную коронку на имплантате, так? Или просто смоделировали и отдали технику, а он уже доработал до полноценного абатмента? Ссылка на комментарий
Большой Зеленый Опубликовано 28 ноября, 2015 Автор Поделиться Опубликовано 28 ноября, 2015 из этого колпачка вы изготовили временную коронку на имплантате, так? Или просто смоделировали и отдали технику, а он уже доработал до полноценного абатмента?Этот колпачок использовался только для формирования контура прорезывания. Ссылка на комментарий
Айнур Фаязович Опубликовано 29 ноября, 2015 Поделиться Опубликовано 29 ноября, 2015 Этот колпачок использовался только для формирования контура прорезывания.. тоже хочу попробовать эту методику. Как в этом случае вы снимаете оттиск и используете ваш колпачок? Ссылка на комментарий
Большой Зеленый Опубликовано 30 ноября, 2015 Автор Поделиться Опубликовано 30 ноября, 2015 Все стандартно.Колпачок откручиваю ,прикручиваю трансфер и снимаю слепок.Колпачок на место.Все. Ссылка на комментарий
Айнур Фаязович Опубликовано 1 декабря, 2015 Поделиться Опубликовано 1 декабря, 2015 Все стандартно.Колпачок откручиваю ,прикручиваю трансфер и снимаю слепок.Колпачок на место.Все. спасибо, я так и думал, но решил уточнить) а работа ваша мне понравилась, и результат через полгода тоже. 1 Ссылка на комментарий
Dreamevil Опубликовано 2 декабря, 2015 Поделиться Опубликовано 2 декабря, 2015 Разрез лучше внутрибороздковый пошире .Вертикальные ,по возможности не делать совсем..А если все же необходимо сделать вертикалку, какой дизайн самый оптимальный в эстетически значимой зоне? Ссылка на комментарий
Большой Зеленый Опубликовано 2 декабря, 2015 Автор Поделиться Опубликовано 2 декабря, 2015 А если все же необходимо сделать вертикалку, какой дизайн самый оптимальный в эстетически значимой зоне? Трапецивидный по Скляру .Либо просто хорошо мобилизовать. 1 Ссылка на комментарий
Rumyanceff Опубликовано 2 декабря, 2015 Поделиться Опубликовано 2 декабря, 2015 (изменено) Скажите, пожалуйста, а как изготавливается колпачек, на чем и делаете ли Вы на него врем. коронку. Изменено 2 декабря, 2015 пользователем Rumyanceff Ссылка на комментарий
Большой Зеленый Опубликовано 2 декабря, 2015 Автор Поделиться Опубликовано 2 декабря, 2015 Скажите, пожалуйста, а как изготавливается колпачек, на чем и делаете ли Вы на него врем. коронку.Это кусочек беззольного абатмента .Я просто наслаиваю на него жидкотекучим .Раз в неделю примерно .Как ишемия проходит ,можно наслаивать дальше ...и так пока не сформируете нужный контур прорезывания. Ссылка на комментарий
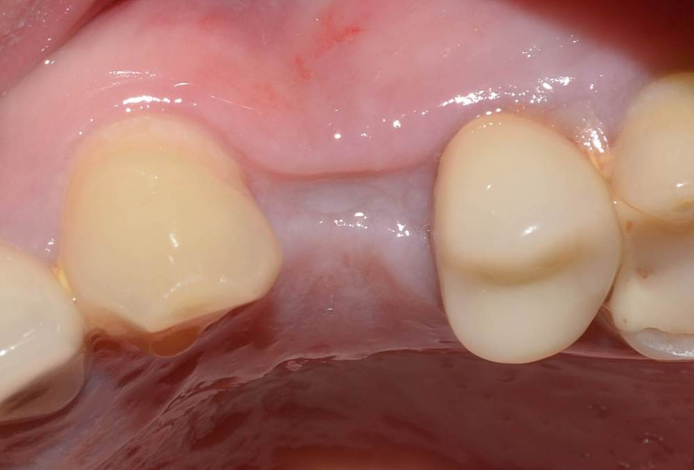
Большой Зеленый Опубликовано 11 июля, 2016 Автор Поделиться Опубликовано 11 июля, 2016 3 года. Полет нормальный мотивировался на продолжение )) 8 Ссылка на комментарий
kamranchick Опубликовано 11 июля, 2016 Поделиться Опубликовано 11 июля, 2016 Почему без фдм? 1 Ссылка на комментарий
Чертков Александр Опубликовано 11 июля, 2016 Поделиться Опубликовано 11 июля, 2016 Почему без фдм? Присоединяюсь к вопросу Ссылка на комментарий
Большой Зеленый Опубликовано 11 июля, 2016 Автор Поделиться Опубликовано 11 июля, 2016 Торк никакой) Ссылка на комментарий
Kev Опубликовано 12 июля, 2016 Поделиться Опубликовано 12 июля, 2016 А мясца сразу?=) Ссылка на комментарий
Большой Зеленый Опубликовано 12 июля, 2016 Автор Поделиться Опубликовано 12 июля, 2016 Да и так все будет хорошо..Покажу . Ссылка на комментарий
kamranchick Опубликовано 13 июля, 2016 Поделиться Опубликовано 13 июля, 2016 А мясца сразу?=)биотип толстый, зачем мясца. Надо делать тогда когда нужно, а не тогда когда можно, по-моему скромному мнению 2 Ссылка на комментарий
Большой Зеленый Опубликовано 13 июля, 2016 Автор Поделиться Опубликовано 13 июля, 2016 биотип толстый, зачем мясца. Надо делать тогда когда нужно, а не тогда когда можно, по-моему скромному мнениюАбсолютно согласен. Ссылка на комментарий
Военный Врач Опубликовано 14 июля, 2016 Поделиться Опубликовано 14 июля, 2016 Абсолютно согласен.монофил? Ссылка на комментарий
Рекомендуемые сообщения
Для публикации сообщений создайте учётную запись или авторизуйтесь
Вы должны быть пользователем, чтобы оставить комментарий
Создать аккаунт
Зарегистрируйте новый аккаунт в нашем сообществе. Это очень просто!
Регистрация нового пользователяВойти
Уже есть аккаунт? Войти в систему.
Войти