Популярный пост Большой Зеленый Опубликовано 1 апреля, 2014 Популярный пост Поделиться Опубликовано 1 апреля, 2014 22 Ссылка на комментарий
sydnik Опубликовано 1 апреля, 2014 Поделиться Опубликовано 1 апреля, 2014 Класс.Немного смущает медиально у импланта , или я чего-то не понимаю . Ссылка на комментарий
Большой Зеленый Опубликовано 1 апреля, 2014 Автор Поделиться Опубликовано 1 апреля, 2014 Класс.Немного смущает медиально у импланта , или я чего-то не понимаю .сосочек вырастет))) 1 Ссылка на комментарий
Чертков Александр Опубликовано 1 апреля, 2014 Поделиться Опубликовано 1 апреля, 2014 сосочек вырастет)))Обязательно. Класс !!! Ссылка на комментарий
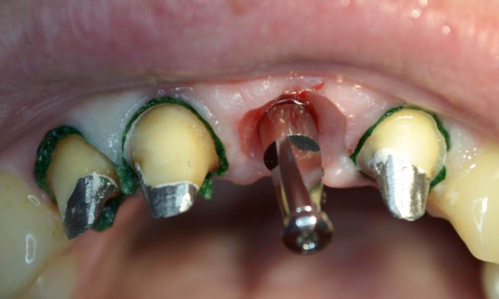
Ст@ся Опубликовано 1 апреля, 2014 Поделиться Опубликовано 1 апреля, 2014 Повезло пациенту - толстый биотип. В другом случае вертикальный разрез по зениту мог бы доставить немало проблем. 6 Ссылка на комментарий
Mane Опубликовано 1 апреля, 2014 Поделиться Опубликовано 1 апреля, 2014 Работа понравилась.Может зенит 22 повыше бы чуть чуть и саму керамику поинтереснее бы. а то опаковая на мой взгляд. про разрез - тоже согласен - сейчас так бы не сделал. может стоило проходить с времянкой на имплантате и дождаться пока сосочек вырастет? Ссылка на комментарий
Большой Зеленый Опубликовано 1 апреля, 2014 Автор Поделиться Опубликовано 1 апреля, 2014 Работа бюджетная . Ссылка на комментарий
Большой Зеленый Опубликовано 1 апреля, 2014 Автор Поделиться Опубликовано 1 апреля, 2014 Повезло пациенту - толстый биотип. В другом случае вертикальный разрез по зениту мог бы доставить немало проблем.Спасибо за критику .Давно так не делаю. Ссылка на комментарий
Гарриевич Опубликовано 1 апреля, 2014 Поделиться Опубликовано 1 апреля, 2014 Мне понравилось, а по зениту, не по зениту, победителей не судят же Ссылка на комментарий
Ст@ся Опубликовано 2 апреля, 2014 Поделиться Опубликовано 2 апреля, 2014 Мне понравилось, а по зениту, не по зениту, победителей не судят же Победителей чего? Это не осуждение - а конструктивное замечание. Многие врачи, особенно начинающие - используют опыт коллег как шаблон для своей работы - в том числе такие моменты, как дизайны разрезов. 14 Ссылка на комментарий
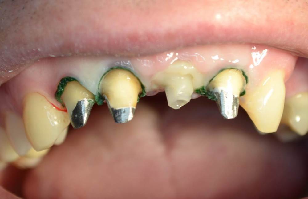
komar56 Опубликовано 2 апреля, 2014 Поделиться Опубликовано 2 апреля, 2014 Андрей а на 11 фото пластиковый абатмент или что? Не пойму... Ссылка на комментарий
M@estro Опубликовано 2 апреля, 2014 Поделиться Опубликовано 2 апреля, 2014 Многие врачи, особенно начинающие - используют опыт коллег как шаблон для своей работы - в том числе такие моменты, как дизайны разрезов. Это вообще ценное замечание ,которое надо озвучивать. Я даже внимания не обратил,когда фотки смотрел - фокус на ортопедию. Так что Стасе спасибо. А работа хорошая . Зелёный,всё сам ? Фото препа ? 3 Ссылка на комментарий
Большой Зеленый Опубликовано 2 апреля, 2014 Автор Поделиться Опубликовано 2 апреля, 2014 Андрей а на 11 фото пластиковый абатмент или что? Не пойму... Это беззольный копачок для индивидуального моделирования абатмента .Я наслаивал на него жидкотекучий филтек и формировал слизистую. Ссылка на комментарий
Большой Зеленый Опубликовано 2 апреля, 2014 Автор Поделиться Опубликовано 2 апреля, 2014 Это вообще ценное замечание ,которое надо озвучивать. Я даже внимания не обратил,когда фотки смотрел - фокус на ортопедию. Так что Стасе спасибо. А работа хорошая . Зелёный,всё сам ? Фото препа ? Все сам . Спасибо всем за ценную критику .Она только на пользу .Если без злого сарказма. Фото препа нет.(села батарея не вовремя) Ссылка на комментарий
Большой Зеленый Опубликовано 2 апреля, 2014 Автор Поделиться Опубликовано 2 апреля, 2014 Полного взаимопонимания с техником нет .Несколько раз переделывали. И все равно в итоге не то что я хотел. Картинки какие только я ему не рисовал.... Ссылка на комментарий
Konstantin88 Опубликовано 8 апреля, 2014 Поделиться Опубликовано 8 апреля, 2014 а какая система установлена? Ссылка на комментарий
Konstantin88 Опубликовано 8 апреля, 2014 Поделиться Опубликовано 8 апреля, 2014 имплантат позиционирован идеально!скажите пожалуйста,устанавливали с хирургическим шаблоном? Ссылка на комментарий
Большой Зеленый Опубликовано 9 апреля, 2014 Автор Поделиться Опубликовано 9 апреля, 2014 Нико. Без шаблона .Шаблон использую когда надо установить больше двух имплантов .. 1 Ссылка на комментарий
Magomed Опубликовано 9 апреля, 2014 Поделиться Опубликовано 9 апреля, 2014 Повезло пациенту - толстый биотип. В другом случае вертикальный разрез по зениту мог бы доставить немало проблем.подскажите пожал.а какой разрез лучше сделать. Спасибо. Ссылка на комментарий
rivezico Опубликовано 9 апреля, 2014 Поделиться Опубликовано 9 апреля, 2014 Большой Зеленый, отлично! Ссылка на комментарий
Большой Зеленый Опубликовано 9 апреля, 2014 Автор Поделиться Опубликовано 9 апреля, 2014 подскажите пожал.а какой разрез лучше сделать. Спасибо.Разрез лучше внутрибороздковый пошире .Вертикальные ,по возможности не делать совсем.. Ссылка на комментарий
Konstantin88 Опубликовано 9 апреля, 2014 Поделиться Опубликовано 9 апреля, 2014 Нико. Без шаблона .Шаблон использую когда надо установить больше двух имплантовполучается смысла нет изготавливать хирургический шаблон для установки одного импланта? Ссылка на комментарий
Большой Зеленый Опубликовано 9 апреля, 2014 Автор Поделиться Опубликовано 9 апреля, 2014 получается смысла нет изготавливать хирургический шаблон для установки одного импланта? Получается так. 2 Ссылка на комментарий
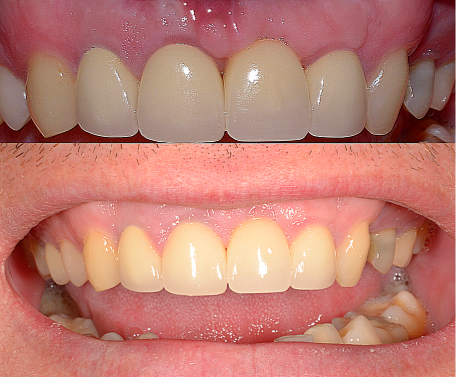
Популярный пост Большой Зеленый Опубликовано 30 января, 2015 Автор Популярный пост Поделиться Опубликовано 30 января, 2015 01.04.2014 в 18:14, Большой Зеленый сказал: сосочек вырастет))) Мне кажется немного выросли 46 Ссылка на комментарий
zzkz Опубликовано 30 января, 2015 Поделиться Опубликовано 30 января, 2015 Отлично! прилично выросло. Это через скока? Ссылка на комментарий
Рекомендуемые сообщения
Для публикации сообщений создайте учётную запись или авторизуйтесь
Вы должны быть пользователем, чтобы оставить комментарий
Создать аккаунт
Зарегистрируйте новый аккаунт в нашем сообществе. Это очень просто!
Регистрация нового пользователяВойти
Уже есть аккаунт? Войти в систему.
Войти