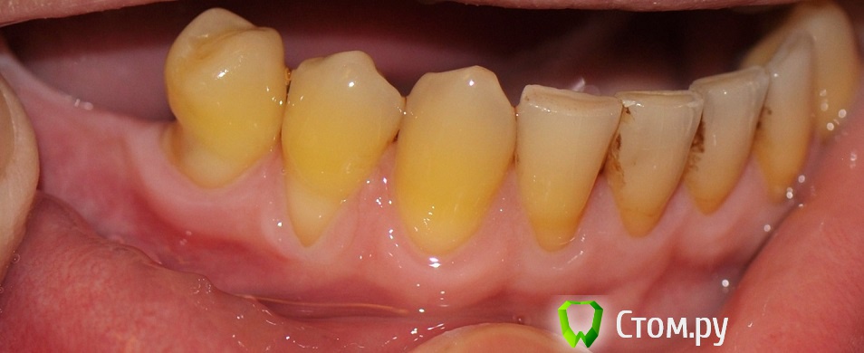
Рэм Опубликовано 17 марта, 2014 Поделиться Опубликовано 17 марта, 2014 Всем доброго времени суток. У меня уползают дёсны. Не пью, не курю, чищу зубы 2 раза в сутки. Пробовал гель метрогил, не помогло. На фотографиях, картина, которая есть сейчас. Иногда бывает, что отдельная десна воспаляется, опухает, появляется разрыв на десне. Тогда полощу отваром растения Окопник лекарственный. Это помогает убрать сильный распад дёсен, но они всё равно продолжают уползать. Хотел бы спросить у уважаемых врачей, что у меня с дёснами? можно ли, что то сделать, что бы остановить этот процесс? 1- верх справа. 2- верх слева. 3- низ справа. 4- низ слева. Ссылка на комментарий
Scrabble Опубликовано 17 марта, 2014 Поделиться Опубликовано 17 марта, 2014 Сколько Вам лет? И, конечно, нужен панорамный снимок. Ссылка на комментарий
Рэм Опубликовано 17 марта, 2014 Автор Поделиться Опубликовано 17 марта, 2014 Мне 35 лет. Панорамного снимка, к сожалению у меня нет, ни когда не делал его. У меня удалено всего три зуба, гнилых нет, зубы не болят. правда был один, сгнивший под коронкой, удалён 5 дней назад, рана заживает нормально. Scrabble, благодарю за отклик, если удастся сделать снимок, выложу. Ссылка на комментарий
Scrabble Опубликовано 17 марта, 2014 Поделиться Опубликовано 17 марта, 2014 (изменено) Выражена стираемость не по возрасту-обратите внимание, что левый верхний клык практически не имеет бугра, а правый вполне дееспособен. Нижние резцы имеют выраженные площадки дентина на режущих краях, что ещё рановато в Вашем возрасте. Видно, что Вы хорошо(но слишком усердно) чистите в боковых отделах, а во фронтальных не можете справиться с налётом.Просто мази и полоскания не помогут. Вам нужен ортодонт, скорее всего. И пародонтолог. Долгий процесс...Вы правша или левша? Изменено 17 марта, 2014 пользователем Scrabble Ссылка на комментарий
Рэм Опубликовано 17 марта, 2014 Автор Поделиться Опубликовано 17 марта, 2014 (изменено) Scrabble, левый верхний клык, примерно 10 лет назад, там была впадинка, в стоматологическом кабинете, мне его подрезали, что бы не загнил. Нижние резцы, возможно были сношены металлическим протезом, который был над ними в верхней челюсти. Он был удалён (на фото), простоял более 10 лет. Зубы у меня такие жёлтые, скорей всего из-за чая и кофе, сейчас в особенности, из за раны не удобно чистить. Я правша. Изменено 17 марта, 2014 пользователем Рэм Ссылка на комментарий
Гарриевич Опубликовано 17 марта, 2014 Поделиться Опубликовано 17 марта, 2014 Вам нужно обратиться к пародонтологу, не тяните с этим Ссылка на комментарий
red_butler Опубликовано 18 марта, 2014 Поделиться Опубликовано 18 марта, 2014 делайте панорамный снимок и выкладывайте на форум.Вам требуется комплексный план лечения, который должен включать: терапевтическое, пародонтологическое, ортопедическое и возможно ортодонтическое лечение 1 Ссылка на комментарий
Рэм Опубликовано 18 марта, 2014 Автор Поделиться Опубликовано 18 марта, 2014 Благодарю всех за советы. Постараюсь, как можно быстрее сделать снимок. Ссылка на комментарий
Рекомендуемые сообщения
Для публикации сообщений создайте учётную запись или авторизуйтесь
Вы должны быть пользователем, чтобы оставить комментарий
Создать аккаунт
Зарегистрируйте новый аккаунт в нашем сообществе. Это очень просто!
Регистрация нового пользователяВойти
Уже есть аккаунт? Войти в систему.
Войти