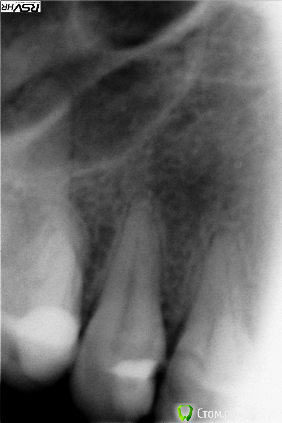
marygan Опубликовано 17 марта, 2014 Поделиться Опубликовано 17 марта, 2014 Добрый день. Первый раз столкнулась с такой проблемой с зубами, очень переживаю и прошу посоветовать. Год назад начал болеть запломбированный зуб (четверка сверху ). Немного шатался и была красная десна, крошилась пломба. Сделали снимок. Доктор в городской поликлиннике ничего объяснять не стала, смутно только сказала, что нужно класть лекарство, а потом пломбу (видимо, имелось в виду удаление нерва). Из-за переезда в другой город делать этого не стала.На этот Новый год пломба раскрошилась и выпала. Зуб перестал беспокоить совершенно. Я все равно обратилась в другую городскую поликлиннику по новому месту жительства. Подчистили кариес (теперь зуб просверлен у обоих корней), поставили временную пломбу.Врач сказала идти и ставить платно коронку в другом месте, так как городские поликлинники этого не делают. Если ставить пломбу - есть риск раскола.Ходила на две консультации. Называют разные цены и четко не говорят, что делать.Подскажите, пожалуйста, самый правильный вариант лечения. Есть шансы обойтись без протезирования?В средствах ограничена, но если что-то необходимо, готова на расходы. Больше всего пугает удаление нерва (зачем, если зуб не болит), сточка зуба (зачем уродовать внешне нормальный зуб) и выкинуть немалые для меня деньги на ветер.Снимок прилагаю, хотя мне кажется его сделали очень плохо и со второго раза. Лично я ничего на нем не вижу Ссылка на комментарий
Ст@ся Опубликовано 18 марта, 2014 Поделиться Опубликовано 18 марта, 2014 Нужно адекватное эндолечение (зечем? - там микробы в зубе - процесс бессимптомный, но дело может окончится удалением зуба) и покрытие оного коронкой (зачем? - чтобы не сломался под влиянием нагрузки) Но с таким отношением Больше всего пугает удаление нерва (зачем, если зуб не болит), сточка зуба (зачем уродовать внешне нормальный зуб) и выкинуть немалые для меня деньги на ветер.проще дождаться обострения и удаления по острой боли. Правда, потому нужно будет или ставить имплант или мостовидный протез. Тоже деньги. Ссылка на комментарий
marygan Опубликовано 18 марта, 2014 Автор Поделиться Опубликовано 18 марта, 2014 Но с таким отношением Вы, должно быть, неправильно меня поняли. По скольку я не стоматолог, мне трудно оценить адекватность предложенного лечения. С точки зрения обыкновенного человека - зуб выглядит прекрасно и не болит. По этому вопросу мне и нужна консультация. Как раз к адекватному и необходимому лечению я готова и всячески приветствую. Ссылка на комментарий
Гарриевич Опубликовано 19 марта, 2014 Поделиться Опубликовано 19 марта, 2014 С точки зрения обыкновенного человека - зуб выглядит прекрасно и не болит. По этому вопросу мне и нужна консультация. Как раз к адекватному и необходимому лечению я готова и всячески приветствую. Если зуб болел, а потом перестал, это значит, что нерв в нем находящийся либо почил, либо в процессе умирания. Такой зуб нужно вылечить изнутри (запломбировать корневые каналы) и желательно покрыть коронкой, потому, что зуб без нерва становится хрупким и может поломаться и его придется удалить. На счет лечения рекомендовал бы Вам обратится в не государственную стоматологию, к доктору с рекомендациями от "сарафанного радио". Ну и всегда можете обращаться к нам, врачам форума стом.ру Ссылка на комментарий
marygan Опубликовано 25 марта, 2014 Автор Поделиться Опубликовано 25 марта, 2014 Ну и всегда можете обращаться к нам, врачам форума стом.ру Благодарю за ответ Ссылка на комментарий
Рекомендуемые сообщения
Для публикации сообщений создайте учётную запись или авторизуйтесь
Вы должны быть пользователем, чтобы оставить комментарий
Создать аккаунт
Зарегистрируйте новый аккаунт в нашем сообществе. Это очень просто!
Регистрация нового пользователяВойти
Уже есть аккаунт? Войти в систему.
Войти