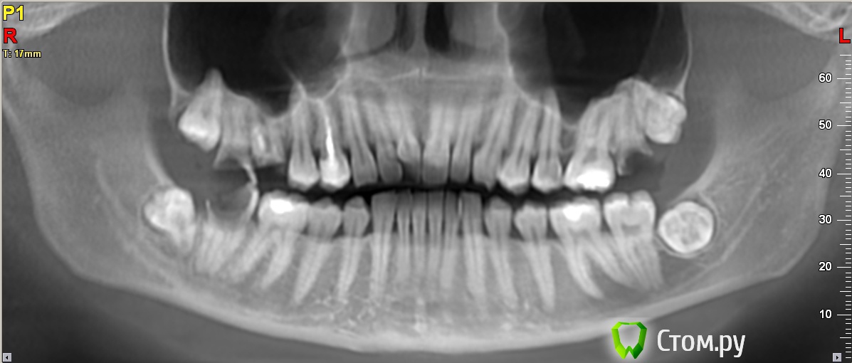
Flygirl Опубликовано 3 марта, 2014 Поделиться Опубликовано 3 марта, 2014 Добрый день!) Хотелось бы услышать ваше мнение относительно моей челюсти. Больше всего меня интересует 7-ка слева сверху - удалять или можно попробовать восстановить? Семёрку снизу (правая сторона) уже удалили - ждём заживления и имплант. Слева сверху 7-ка на стадии установки культеевой вкладки, а 6-ку приговорили на удаление. Что скажете, все-ли верно делаем?) И есть-ли еще какие-то проблемы?И еще вопросик - можно-ли при удалении 6-ки сверху справа использовать одномоментную установку импланта или ждать заживления?Спасибо заранее за ответы Ссылка на комментарий
Acidrocker Опубликовано 3 марта, 2014 Поделиться Опубликовано 3 марта, 2014 Здравствуйте. Семерки (не совсем понял, какая вас интересует на данный момент) можно попытаться восстановить, зависит от степени разрушения твердых тканей зуба. Перед имплантацией в области 6 могут потребоваться дополнительные мероприятия по наращиванию кости. Нижние зубы "мудрости" нужно удалять. Ссылка на комментарий
Flygirl Опубликовано 3 марта, 2014 Автор Поделиться Опубликовано 3 марта, 2014 Здравствуйте. Семерки (не совсем понял, какая вас интересует на данный момент) можно попытаться восстановить, зависит от степени разрушения твердых тканей зуба. Перед имплантацией в области 6 могут потребоваться дополнительные мероприятия по наращиванию кости. Нижние зубы "мудрости" нужно удалятьСпасибо большое за ответ) семёрка меня интересует на данный момент та, которая если смотреть на снимок - с правой стороны (там где один разрушенный зуб)Вот как чувствовала, что придётся наращивать кость и очень этого боялась то есть рассчитывать на удаление и сразу установку импланта точно не стоит?Про зубы мудрости догадывалась, но врач говорит, что они так лежат, что могут и вообще никогда не вылезти и не беспокоить...ну я об этом наверное буду думать после проведения всех работ с разрушенными зубами... Ссылка на комментарий
Рекомендуемые сообщения
Для публикации сообщений создайте учётную запись или авторизуйтесь
Вы должны быть пользователем, чтобы оставить комментарий
Создать аккаунт
Зарегистрируйте новый аккаунт в нашем сообществе. Это очень просто!
Регистрация нового пользователяВойти
Уже есть аккаунт? Войти в систему.
Войти