bobrdobr Опубликовано 3 февраля, 2014 Поделиться Опубликовано 3 февраля, 2014 (изменено) Живу в Ижевске. Требуется имплант на место нижней шестерки. Кости, судя по всему, достаточно. Цель: получить надежный вариант в среднем ценовом сегменте (50-70 тыр). Эстетика практически не важна. Посетил нескольких известных в городе хирургов. Хирург 1.Ставит: Nobel Replace. Что смущает: Не делает томографию, использует панорамный снимок для планирования имплантации.Репутация системы Nobel как обыкновенной, но при этом хорошо раскрученной. Хирург 2. Вызвал больше всего доверия на первичном приеме.Ставит: BEGO Semados. Что смущает:Малая распространенность системы Semados. Хирург 3.Ставит: Xive Ценник озвучивается примерно один, опыт с системами и количество имплантаций в месяц у хирургов сопоставимы. Альтернативы в городе есть (MIS, Alpha Bio, Astra), но они или не подходят по цене, либо хирурги не вызывают полного доверия. К кому податься? Какую дополнительную информацию необходимо получить для принятия решения? Общие вопросы по имплантации:Стоит ли искать импланты с внутренним конусом? Все вышеперечисленные, как я понимаю, с плоским соединением. В Ижевске из конусов среднего диапазона могут быть Antogyr или Ankylos. Должен ли ортопед присутствовать на операции или как-то согласовать с хирургом тонкости протезирования до этого? В какой момент становится понятным, подходит ли стандартный абатмент или потребуется индивидуальный? Как я понимаю, это может сильно повлиять на конечную стоимость. Настраиваюсь на титановый абатмент и металлокерамическую коронку. Стоит рассматривать альтернативные материалы? Если эти вопросы уже задавались, прошу извинить. Заранее спасибо! Изменено 3 февраля, 2014 пользователем bobrdobr Ссылка на комментарий
Ayrat_zub Опубликовано 3 февраля, 2014 Поделиться Опубликовано 3 февраля, 2014 Живу в Ижевске. Требуется имплант на место нижней шестерки. Кости, судя по всему, достаточно. Цель: получить надежный вариант в среднем ценовом сегменте (50-70 тыр). Эстетика практически не важна. Посетил нескольких известных в городе хирургов. Хирург 1.Ставит: Nobel Replace. Что смущает: Не делает томографию, использует панорамный снимок для планирования имплантации.Репутация системы Nobel как обыкновенной, но при этом хорошо раскрученной. Хирург 2. Вызвал больше всего доверия на первичном приеме.Ставит: BEGO Semados. Что смущает:Малая распространенность системы Semados. Хирург 3.Ставит: Xive Ценник озвучивается примерно один, опыт с системами и количество имплантаций в месяц у хирургов сопоставимы. Альтернативы в городе есть (MIS, Alpha Bio, Astra), но они или не подходят по цене, либо хирурги не вызывают полного доверия. К кому податься? Какую дополнительную информацию необходимо получить для принятия решения? Общие вопросы по имплантации:Стоит ли искать импланты с внутренним конусом? Все вышеперечисленные, как я понимаю, с плоским соединением. В Ижевске из конусов среднего диапазона могут быть Antogyr или Ankylos. Должен ли ортопед присутствовать на операции или как-то согласовать с хирургом тонкости протезирования до этого? В какой момент становится понятным, подходит ли стандартный абатмент или потребуется индивидуальный? Как я понимаю, это может сильно повлиять на конечную стоимость. Настраиваюсь на титановый абатмент и металлокерамическую коронку. Стоит рассматривать альтернативные материалы? Если эти вопросы уже задавались, прошу извинить. Заранее спасибо!что говорит ортопед котрый запротезирует эти импланты?) Ссылка на комментарий
Bier Опубликовано 3 февраля, 2014 Поделиться Опубликовано 3 февраля, 2014 Мы предпочитаем индивидуальные абатменты, они кстати могут быть дешевле, чем стандартные нобель.Если выбирать нобель, то я бы выбрал нобель с конусом (nobel conical connection). Часто нет смысла смотреть томограмму, на орто и во рту все видно. Семадос и Ксайв конструктивно идентичны. И там и там 6 гранное плоскостное соединение. Ссылка на комментарий
bobrdobr Опубликовано 4 февраля, 2014 Автор Поделиться Опубликовано 4 февраля, 2014 (изменено) Спасибо за ответы. что говорит ортопед котрый запротезирует эти импланты?) С ортопедом еще не общался. Имеете ввиду индивидуальный абатмент? Вообще, что спрашивать у ортопеда, кроме примеров работ? Все обычно терзают расспросами хирургов. Мы предпочитаем индивидуальные абатменты, они кстати могут быть дешевле, чем стандартные нобель.По какой причине, чтобы более герметичное соединение было? Они у вас фрезеруются из циркония? Прочитал статью http://www.kirillkostin.ru/myblog/170-dlja-chego-delat-individualny-abatment.html. Если выбирать нобель, то я бы выбрал нобель с конусом (nobel conical connection).По цене он сильно отличается от Nobel Replace Select, не вспомните? Изменено 4 февраля, 2014 пользователем bobrdobr Ссылка на комментарий
Ayrat_zub Опубликовано 4 февраля, 2014 Поделиться Опубликовано 4 февраля, 2014 Спасибо за ответы. я к тому спросил, что вы придете за зубами а не за имплантами) основной план лечения составляет ортопед, найдите нормального имплантолога, и доверьте ему выбор импланта.. вы сами между системами разницы не почувствуете) есть нюансы по поводу протезировнаия имплантов, но я в них не сильно разбираюсь) 1 Ссылка на комментарий
Ст@ся Опубликовано 5 февраля, 2014 Поделиться Опубликовано 5 февраля, 2014 Спасибо за ответы. С ортопедом еще не общался. Имеете ввиду индивидуальный абатмент? Вообще, что спрашивать у ортопеда, кроме примеров работ? Все обычно терзают расспросами хирургов. По какой причине, чтобы более герметичное соединение было? Они у вас фрезеруются из циркония? Прочитал статью http://www.kirillkostin.ru/myblog/170-dlja-chego-delat-individualny-abatment.html. По цене он сильно отличается от Nobel Replace Select, не вспомните? Коникал несколько дороже. Если отвечать на стартовый вопрос - идите ко второму хирургу.А еще лучше найдите ортопеда и идите к тому хирургу, которого он посоветует. Ссылка на комментарий
bobrdobr Опубликовано 5 февраля, 2014 Автор Поделиться Опубликовано 5 февраля, 2014 Огромное спасибо всем докторам, кто отписывается в теме. Сегодня история получила неожиданное продолжение. Побывал на очном приеме Хирурга 3. Cтавит Xive и Bicon. К моему удивлению, он однозначно предложил мне Bicon. Аргументы за Bicon такие (пишу по памяти, возможны неточности!):За время отсутствия зуба кость ушла на 1-2 мм. Винтовой имплант (в т.ч. Xive) в моей ситуации требует укрепления костной стенки остеопластическим материалом с мембраной. Без костной пластики поставить можно, но стенка будет тонкой и воспаление под десной - дело времениBicon позволяет обойтись без костной пластики в моем случаеУ Bicon коронка и абатмент соединяются цементом в руках, а не во рту, подтекание цемента исключеноУ Bicon герметичное внутреннее конусное соединениеУ Bicon абатмент имеет выраженную шейку и ее можно дофрезеровать, учитывая размеры основания коронки и особенности десны. У винтовых имплантов абатмент внутри, а на жевательном зубе винт всегда уже чем коронка, поэтому соединение коронка-имплант получается менее анатомичным.При необходимости можно вынимать абатмент с коронкой и ставить обратноБыли озвучены такие "минусы" BiconНе подходят для передних зубов и клыков, вываливаются из-за наличия "боковой" нагрузки. Но у меня 46, так что будто бы все в порядке.Дают небольшую усадку, поэтому коронка ставится выше на пару мм. Жевать в первое время может быть не очень удобноОтзывы о Bicon на форуме не радуют. К моему удивлению, ортопед, работающий в паре с Хирургом 3, положительно отнесся к Bicon. Говорит, что ему протезировать на Bicon даже удобнее, чем на Xive. Хирург 2 также имеет в арсенале Bicon, но мне на консультации предложил винтовой Semados. Посчитал ненужной пластику? Основная его претензия к Bicon: сложность точного позиционирования из-за установки "заколачиванием". Буду рад услышать ваши ценные указания . Прикладываю свежий панорамный снимок. А еще лучше найдите ортопеда и идите к тому хирургу, которого он посоветует. Хорошая идея, спасибо! Еще как минимум к одному хирургу хочу попасть, чтобы прояснить вопрос с костной пластикой. Ссылка на комментарий
IvanK Опубликовано 6 февраля, 2014 Поделиться Опубликовано 6 февраля, 2014 Похоже на рекламу. .. Ссылка на комментарий
bobrdobr Опубликовано 6 февраля, 2014 Автор Поделиться Опубликовано 6 февраля, 2014 (изменено) Похоже на рекламу. ..Что сделать, чтобы не похоже было? По байкону никакого решения не принято, меня этот вариант вводит в растерянность из-за своей экзотичности. Езжу по консультациям дальше. Аргументы изложил, чтобы услышать альтернативное мнение. Знаю, здесь оно есть. Пишу максимально подробно "для истории". Возможно, кому-то в будущем пригодится. Изменено 6 февраля, 2014 пользователем bobrdobr Ссылка на комментарий
Bier Опубликовано 6 февраля, 2014 Поделиться Опубликовано 6 февраля, 2014 я вам ответил в ортопедии про бекон. 1 Ссылка на комментарий
bobrdobr Опубликовано 6 февраля, 2014 Автор Поделиться Опубликовано 6 февраля, 2014 я вам ответил в ортопедии про бекон. Спасибо. Раз здесь предпочитают винтовые импланты, спрошу следующее: Влияет ли костная пластика в моем случае на прогноз установленного винтового импланта? Т.е. она нужна только по эстетическим соображениям (поднять десну с внешней стороны) или же по гигиеническим тоже? Костная пластика остеопластическим материалом на мембране - это рутинная манипуляция, не несущая существенных рисков для пациента? Т.е. я могу довериться хирургу, который ее предложил? Ссылка на комментарий
Bier Опубликовано 7 февраля, 2014 Поделиться Опубликовано 7 февраля, 2014 Спасибо. Раз здесь предпочитают винтовые импланты, спрошу следующее: Влияет ли костная пластика в моем случае на прогноз установленного винтового импланта? Т.е. она нужна только по эстетическим соображениям (поднять десну с внешней стороны) или же по гигиеническим тоже? Костная пластика остеопластическим материалом на мембране - это рутинная манипуляция, не несущая существенных рисков для пациента? Т.е. я могу довериться хирургу, который ее предложил? 1. я не знаю Вашей ситуации. Одного панорамного снимка недостаточно, нужны либо внутриротовые фотки либо срезы КТ.2. Существенных рисков нет, максимум неприятного- все развалится и придется начинать сначала. Ссылка на комментарий
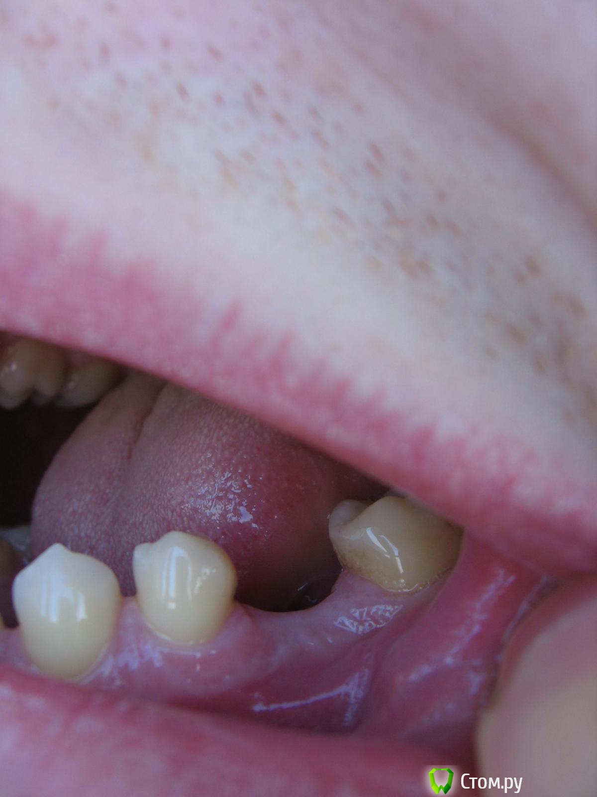
bobrdobr Опубликовано 7 февраля, 2014 Автор Поделиться Опубликовано 7 февраля, 2014 Про пластику понял. Фото - без проблем. Изловчился сделать такие. КТ могу сделать, если она необходима. Ссылка на комментарий
IvanK Опубликовано 7 февраля, 2014 Поделиться Опубликовано 7 февраля, 2014 фото не информативны. как минимум, увеличить объем десны придется. Ссылка на комментарий
bobrdobr Опубликовано 17 февраля, 2014 Автор Поделиться Опубликовано 17 февраля, 2014 Добрый всем день. Сделал КТ. Снимок выложил на Яндекс.Дискhttp://yadi.sk/d/-CHDNu-nJ45Wy Посмотрите пожалуйста. Вопрос прежний: нужна ли костная пластика в каком-то виде перед установкой винтового импланта? Ссылка на комментарий
IvanK Опубликовано 17 февраля, 2014 Поделиться Опубликовано 17 февраля, 2014 Выложите скриншоты, не все могут/хотят качать Ссылка на комментарий
bobrdobr Опубликовано 17 февраля, 2014 Автор Поделиться Опубликовано 17 февраля, 2014 Хорошо. Так подойдет? Ссылка на комментарий
IvanK Опубликовано 17 февраля, 2014 Поделиться Опубликовано 17 февраля, 2014 нет) Ссылка на комментарий
Bier Опубликовано 17 февраля, 2014 Поделиться Опубликовано 17 февраля, 2014 судя по фото, скорее всего нужна. От КТ нужен срез горизонтальной плоскости - вид сверху на костный гребень, на 1 мм ниже его вершины. Ссылка на комментарий
bobrdobr Опубликовано 18 февраля, 2014 Автор Поделиться Опубликовано 18 февраля, 2014 (изменено) Имплант был предложен Semados 4,1*11,5 без костной пластики. судя по фото, скорее всего нужна. От КТ нужен срез горизонтальной плоскости - вид сверху на костный гребень, на 1 мм ниже его вершины. Сейчас попробую. Прикладываю 4 снимка: на уровне гребня (как мне кажется) и на 1,2,3 и мм. ниже. Изменено 18 февраля, 2014 пользователем bobrdobr Ссылка на комментарий
Bier Опубликовано 18 февраля, 2014 Поделиться Опубликовано 18 февраля, 2014 Можно поставить, одновременно добавив немного кости и закрыть мембраной. Кость можно даже взять прямо из того места, куда будет ставиться имплантат, т.е. доп травмы не будет Ссылка на комментарий
bobrdobr Опубликовано 18 февраля, 2014 Автор Поделиться Опубликовано 18 февраля, 2014 Можно поставить, одновременно добавив немного кости и закрыть мембраной. Кость можно даже взять прямо из того места, куда будет ставиться имплантат, т.е. доп травмы не будетБольшое спасибо за мнение! Ровно такой вариант предлагал хирург 3 под винтовой имплант. Правда, он же предложил байкон Что будет, если кость не подсыпать и мембрану не ставить? Ссылка на комментарий
Bier Опубликовано 18 февраля, 2014 Поделиться Опубликовано 18 февраля, 2014 Может и ничего не будет, если широкий диаметр не выбирать и десну подсадить, а может десна немного отойдет вниз через годик-другой. Ссылка на комментарий
bobrdobr Опубликовано 18 февраля, 2014 Автор Поделиться Опубликовано 18 февраля, 2014 Все ясно, благодарю. Диаметр 4,1 мм предлагают (Semados). Нормально для жевательного зуба? Ссылка на комментарий
Bier Опубликовано 18 февраля, 2014 Поделиться Опубликовано 18 февраля, 2014 Тогда подсыпать однозначно нужно, 4,1- стандартная платформа. Лучше сюда ставить тонкую платформу. Неважно какой зуб, они держат нагрузку. Главное чтобы кость была вокруг имплантата. Ссылка на комментарий
Рекомендуемые сообщения
Для публикации сообщений создайте учётную запись или авторизуйтесь
Вы должны быть пользователем, чтобы оставить комментарий
Создать аккаунт
Зарегистрируйте новый аккаунт в нашем сообществе. Это очень просто!
Регистрация нового пользователяВойти
Уже есть аккаунт? Войти в систему.
Войти