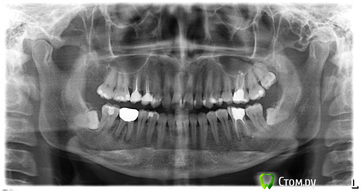
Yana5 Опубликовано 4 января, 2014 Поделиться Опубликовано 4 января, 2014 Здравствуйте! 2) Посоветуйте, пожалуйста, что можно сделать с нижними 6- ками в моем случае? Под коронкой на правой 6-ке началось воспаление, коронку сняли, врач почистил каналы, сейчас она выглядит так: Мне бы хотелось поставить туда коронку, как вы считаете, это возможно? Если да, то какую? 1) Прокомментируйте, пожалуйста, мой панорамный снимок. Ссылка на комментарий
IvanK Опубликовано 4 января, 2014 Поделиться Опубликовано 4 января, 2014 Здравствуйте. 6 ки перелечить, далее под коронки. 8 ки удалять 14. 15. 26 тоже перелечить и под коронки. 2 Ссылка на комментарий
Yana5 Опубликовано 4 января, 2014 Автор Поделиться Опубликовано 4 января, 2014 Большое спасибо за быстрый ответ! А 14. 15. 26 - перелечить, потому, что они запломбированы плохо? Ссылка на комментарий
IvanK Опубликовано 4 января, 2014 Поделиться Опубликовано 4 января, 2014 Не корректно. Ссылка на комментарий
Yana5 Опубликовано 4 января, 2014 Автор Поделиться Опубликовано 4 января, 2014 Вы имеете в виду, некорректно, потому, что сразу не были предложены коронки? На что мне обратить внимание врача? Или лучше обратится к другому доктору? Ссылка на комментарий
DmitrySH Опубликовано 5 января, 2014 Поделиться Опубликовано 5 января, 2014 На что мне обратить внимание врача?Или лучше обратится к другому доктору? Пусть на снимок обратит внимание. Если врачу проблем не видно, то лучше сразу к другому доктору.Как-то так. 1 Ссылка на комментарий
red_butler Опубликовано 5 января, 2014 Поделиться Опубликовано 5 января, 2014 Большое спасибо за быстрый ответ!А 14. 15. 26 - перелечить, потому, что они запломбированы плохо?Не выполнена полноценная механическая обработка и запломбированы не до конца, как следствие хронические воспалительные очаги. Ищите стоматолога - эндодонтиста, работающего с коффердамом и в идеале с оптикой 1 Ссылка на комментарий
Yana5 Опубликовано 5 января, 2014 Автор Поделиться Опубликовано 5 января, 2014 Большое спасибо за советы, уважаемые стоматологи! Я хотела еще спросить, если реально все это перелечить + коронки на протяжении недели, если на каждый день записаться к врачу? А нижние 8-ки вырвать через год, или вообще не трогать пока не беспокоят? Ссылка на комментарий
red_butler Опубликовано 5 января, 2014 Поделиться Опубликовано 5 января, 2014 возможно в неделю и уложитесь Ссылка на комментарий
IvanK Опубликовано 5 января, 2014 Поделиться Опубликовано 5 января, 2014 Бездействие с 8ками могут привести к проблемам на 7ках. 1 Ссылка на комментарий
M@estro Опубликовано 5 января, 2014 Поделиться Опубликовано 5 января, 2014 Я хотела еще спросить, если реально все это перелечить + коронки на протяжении недели, если на каждый день записаться к врачу? Скажите,а почему надо в неделю уложиться ? какие -то сложности ? Ссылка на комментарий
IvanK Опубликовано 5 января, 2014 Поделиться Опубликовано 5 января, 2014 Скажите,а почему надо в неделю уложиться ? какие -то сложности ? +1скорость может подпортить "картину".. Ссылка на комментарий
Yana5 Опубликовано 5 января, 2014 Автор Поделиться Опубликовано 5 января, 2014 Скажите,а почему надо в неделю уложиться ? какие -то сложности ? Хотелось бы в неделю уложиться, потому, что я собираюсь приехать специально для того, чтобы полечить зубы в Украину, или Россию. Надолго приехать в ближайшее время не получается. Большое спасибо всем ответившим! Ссылка на комментарий
DmitrySH Опубликовано 5 января, 2014 Поделиться Опубликовано 5 января, 2014 При условии что это Все за неделю. я бы отказался от этой работы. Спешка очень редко приводит к хорошему результату. Ссылка на комментарий
red_butler Опубликовано 6 января, 2014 Поделиться Опубликовано 6 января, 2014 Я не буду так категоричен, неделя вполне нормальный срок, НО... Вы должны понимать, что в любой более менее приличной клинике/у врача запись на одну, две недели вперед. А значит придется высвобождать время, переписывать пациентов, вся врачебная и лабораторная команда должна работать только с Вами, это сложно. И прайс мягко сказать будет "особый" плюс в любой работе могут быть накладки. Лучше выделить больше времени или делать работу по этапам. Ссылка на комментарий
M@estro Опубликовано 6 января, 2014 Поделиться Опубликовано 6 января, 2014 Думаю,пациентка не понимает главного ( я без малейшей иронии сейчас). Поймите,коронки и пломбы - это не зеркальце с пудренницей,не машина или микроволновка,это ручная работа. Её нельзя выбирать по принципу - дешего / дорого, близко / далеко. Так уж сложилось,что выбирают сначала врача,а уж потом план лечения. Если Вы хотите приехать на неделю в первую попавшуюся клинику - и сделать себе "голливуд" за три копейки - мне Вас искренне жаль. Есть лишь 0,01 % , что Вам сделают хорошо - и это не придется со временем переделывать в пять - шесть раз дороже. Удачи Вам ! 3 Ссылка на комментарий
Yana5 Опубликовано 6 января, 2014 Автор Поделиться Опубликовано 6 января, 2014 Я не буду так категоричен, неделя вполне нормальный срок, НО... Вы должны понимать, что в любой более менее приличной клинике/у врача запись на одну, две недели вперед. А значит придется высвобождать время, переписывать пациентов, вся врачебная и лабораторная команда должна работать только с Вами, это сложно. И прайс мягко сказать будет "особый" плюс в любой работе могут быть накладки. Лучше выделить больше времени или делать работу по этапам.Спасибо! Понимаю, а сколько времени, по Вашему мнению, нужно, чтобы сделать все качественно? Я, чесно говоря, не подозревала раньше, что 14. 15. 26. нужно будет перелечивать. Я собиралась сначала поехать и сделать коронки на нижние 6 ки.(здесь мне вообще предлагают их вырвать) Насколько критична ситуация с 14.15.26.? Может, можно тогда в первый этап сделать только нижние 6 ки? Ссылка на комментарий
Yana5 Опубликовано 6 января, 2014 Автор Поделиться Опубликовано 6 января, 2014 Думаю,пациентка не понимает главного ( я без малейшей иронии сейчас). Поймите,коронки и пломбы - это не зеркальце с пудренницей,не машина или микроволновка,это ручная работа. Её нельзя выбирать по принципу - дешего / дорого, близко / далеко. Так уж сложилось,что выбирают сначала врача,а уж потом план лечения. Если Вы хотите приехать на неделю в первую попавшуюся клинику - и сделать себе "голливуд" за три копейки - мне Вас искренне жаль. Есть лишь 0,01 % , что Вам сделают хорошо - и это не придется со временем переделывать в пять - шесть раз дороже. Удачи Вам !Спасибо. Я понимаю, что это очень кропотливая ручная работа и меньше всего мне бы хотелось попасть в первую попавшуюся клинику. Просто, у меня был врач, которому я доверяла, на форуме же выяснилось, что его работа зубы : 14. 15. 26. - выполнена некорректно. Поэтому, сейчас пока собираю отзывы знакомых и изучаю Ваш форум. P.S.: может ли быть такое, что 10 лет назад еще не было таких технологий, и эти зубы(14.15.26.) нельзя было сделать лучше? Ссылка на комментарий
M@estro Опубликовано 6 января, 2014 Поделиться Опубликовано 6 января, 2014 P.S.: может ли быть такое, что 10 лет назад еще не было таких технологий, и эти зубы(14.15.26.) нельзя было сделать лучше? Всё зависит от исходной клинической ситуации - это чтобы зазря Вашего врача не ругать. А по сути - и 10 ,и 15 лет назад были технологии. А в штатах уже лет 50 они есть. Ссылка на комментарий
Рекомендуемые сообщения
Для публикации сообщений создайте учётную запись или авторизуйтесь
Вы должны быть пользователем, чтобы оставить комментарий
Создать аккаунт
Зарегистрируйте новый аккаунт в нашем сообществе. Это очень просто!
Регистрация нового пользователяВойти
Уже есть аккаунт? Войти в систему.
Войти