minchia Опубликовано 27 декабря, 2013 Поделиться Опубликовано 27 декабря, 2013 Привет участникам форума!Сегодня поставили брекеты на нижнюю челюсть - стандартные металлические. Кроме того, из-за глубоко прикуса, поставили две временные пломбы на нижние шестерки. Вопрос - нормальная ли эта практика? Ужасно неудобно. Дискомфорт в десять раз хуже чем от самих брекетов, жевать ничего невозможно, пытаюсь разжевывать пищу передними зубами резцами. Насколько это необходимо? Обосновали тем, что иначе у меня будут без конца вылетать брекеты. Ссылка на комментарий
red_butler Опубликовано 27 декабря, 2013 Поделиться Опубликовано 27 декабря, 2013 Да, накусочные площадки могут применяться и да это очень неудобно. Почему бы не задать эти вопросы своему врачу.А так если уж создали новую тему...http://forum.stom.ru/topic/4655-patcientam/ Ссылка на комментарий
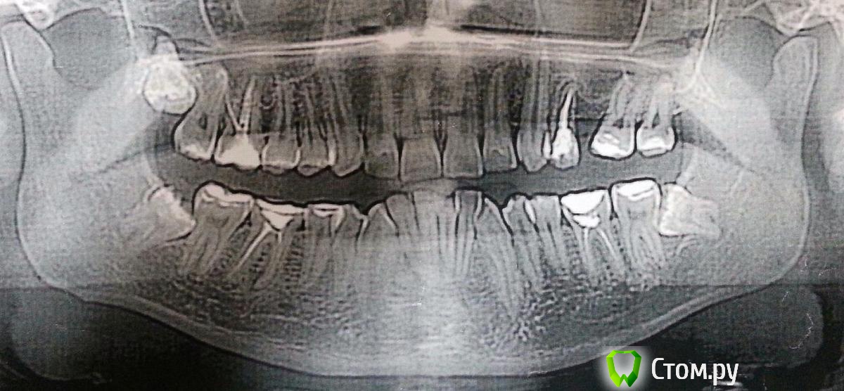
minchia Опубликовано 1 января, 2014 Автор Поделиться Опубликовано 1 января, 2014 Спасибо за ответ. Конечно я задавал данный вопрос ортодонту, она сказала что это общепринятая практика, и что я привыкну.Но я буду все же убирать эти накусочные площадки, так как невозможно жевать. Буду осторожно обращаться, чтобы не слетели брекеты. У меня к тому же массивные пломбы на этих шестерках, они депульпированы, наличие накусочных пломб может их окончательно убить.Панорамный снимок приложен. На данном снимке не отражены последние изменения - удалены три восьмерки - 18, 38 и 48. Ссылка на комментарий
minchia Опубликовано 19 января, 2014 Автор Поделиться Опубликовано 19 января, 2014 Накусочные пломбы отвалились сами по себе и стало гораздо удобнее. Две недели, полет нормальный, брекеты не оваливаются, пока... 1 Ссылка на комментарий
Рекомендуемые сообщения
Для публикации сообщений создайте учётную запись или авторизуйтесь
Вы должны быть пользователем, чтобы оставить комментарий
Создать аккаунт
Зарегистрируйте новый аккаунт в нашем сообществе. Это очень просто!
Регистрация нового пользователяВойти
Уже есть аккаунт? Войти в систему.
Войти