Ibulat_1986 Опубликовано 24 декабря, 2013 Поделиться Опубликовано 24 декабря, 2013 недавно купил зеркалку и начал потихоньку осваивать фотографию и копить клинические случаи, так что не кидайте тапками. Молодой человек, с вредными привычками, с плохой гигиеной (как не боролся ни в какую!), финансово не готовый на дорогую работу - еле убедили вместо косметического протеза поставить имплантат с коронкой.Немедленная нагрузка временной коронкой, 5 месяцев, постоянная конструкция (мк на винтовой фиксации)Лаба потоковая, достаточно известная в Питере, так что откровений не ждал ))жду комментарии. Заранее всем спасибо. 7 Ссылка на комментарий
Bobby Опубликовано 24 декабря, 2013 Поделиться Опубликовано 24 декабря, 2013 Врачебная часть более чем!!! Техничка немного подкачала. Но совсем немножко. Не делайте до премоляров металлокерамику вобще. Оставьте эту технологию только для моляров. Сейчас ценльнопрессованный имакс с винтовой ... мммм ....прям супер! 3 Ссылка на комментарий
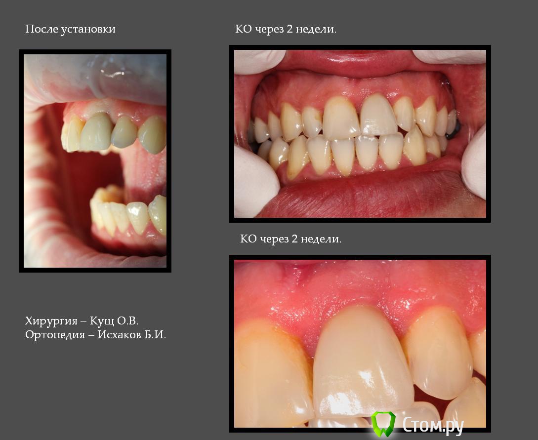
Чертков Александр Опубликовано 25 декабря, 2013 Поделиться Опубликовано 25 декабря, 2013 Классно. Чуть больше бы внимания контуру прорезывания на временной...и было бы ваще ваще супер! 1 1 Ссылка на комментарий
M@estro Опубликовано 25 декабря, 2013 Поделиться Опубликовано 25 декабря, 2013 На какой системе ? Ссылка на комментарий
scarifikator Опубликовано 25 декабря, 2013 Поделиться Опубликовано 25 декабря, 2013 Классно. Чуть больше бы внимания контуру прорезывания на временной...и было бы ваще ваще супер! +1 чуток посимметричней десневой контур и выглядело бы поинтересней Ссылка на комментарий
Igor3252 Опубликовано 25 декабря, 2013 Поделиться Опубликовано 25 декабря, 2013 Очень хорошо смотрится.. Есть rg до и после имплантации? Что послужило причиной удаления зуба? Ссылка на комментарий
Ibulat_1986 Опубликовано 25 декабря, 2013 Автор Поделиться Опубликовано 25 декабря, 2013 (изменено) спасибо всем за ответы.Врачебная часть более чем!!! Техничка немного подкачала. Но совсем немножко. Не делайте до премоляров металлокерамику вобще. Оставьте эту технологию только для моляров. Сейчас ценльнопрессованный имакс с винтовой ... мммм ....прям супер!спасибо на добром слове. работы рядовая, хирургу спасибо. я бы с удовольствием делал бы e-max и ДЦ всем подряд. прислушаюсь к вашему совету. Классно. Чуть больше бы внимания контуру прорезывания на временной...и было бы ваще ваще супер! Согласен, на времяхе вроде все было ок, на постоянной недоглядел. На какой системе ?adin Очень хорошо смотрится..Есть rg до и после имплантации? Что послужило причиной удаления зуба?Спасибо. Вроде до было орто, надо глянуть. снимок после в клинике - как заберу выложу.причина насколько я помню травма. Изменено 25 декабря, 2013 пользователем Ibulat_1986 Ссылка на комментарий
Ibulat_1986 Опубликовано 27 декабря, 2013 Автор Поделиться Опубликовано 27 декабря, 2013 забыл добавить хирург-geguli4 Ссылка на комментарий
Mane Опубликовано 28 декабря, 2013 Поделиться Опубликовано 28 декабря, 2013 Врачебная часть более чем!!! Техничка немного подкачала. Но совсем немножко. Не делайте до премоляров металлокерамику вобще. Оставьте эту технологию только для моляров. Сейчас ценльнопрессованный имакс с винтовой ... мммм ....прям супер!Саш а шахту тоже композитом? Ссылка на комментарий
Bobby Опубликовано 28 декабря, 2013 Поделиться Опубликовано 28 декабря, 2013 Саш а шахту тоже композитом? Можно композитом. Ссылка на комментарий
Рекомендуемые сообщения
Для публикации сообщений создайте учётную запись или авторизуйтесь
Вы должны быть пользователем, чтобы оставить комментарий
Создать аккаунт
Зарегистрируйте новый аккаунт в нашем сообществе. Это очень просто!
Регистрация нового пользователяВойти
Уже есть аккаунт? Войти в систему.
Войти