Перейти к содержанию
Стоматология для всех

планирование имплантологического лечения


Рекомендуемые сообщения

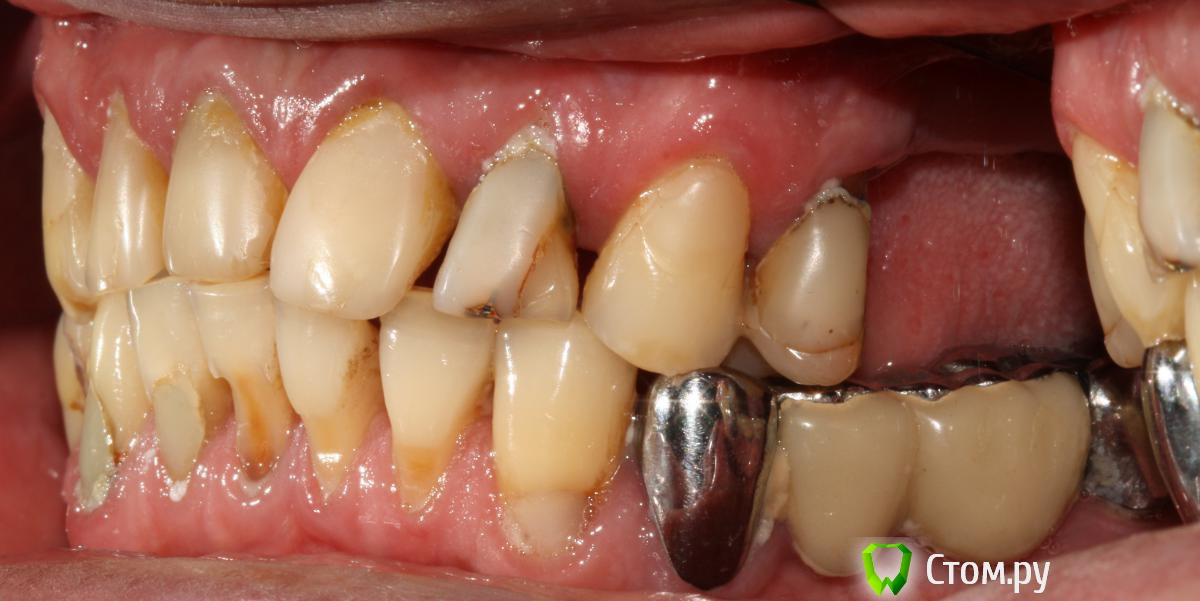
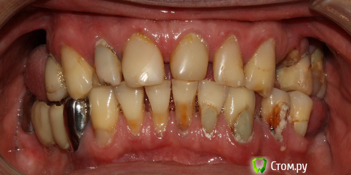
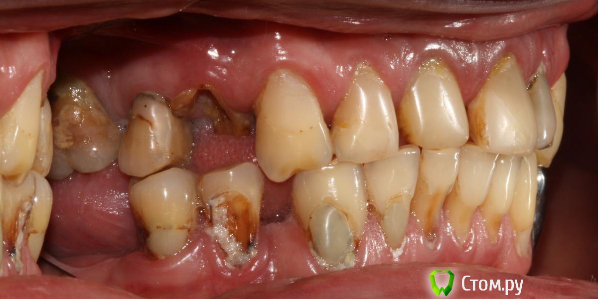
Привет всем! уважаемые Гуру помогите с планированием реабилитации данного пациента. Основная жалоба, не хочет носить съемный протез (пришел из другой клиники, где рекомендовали только съемное протезирование).

Провели обследование. Ортопед планирует оставить вверху 6 фронтальных зубов (возможно резцы пойдут на удаление), внизу только клыки. Далее последует удаление несостоятельных зубов + иммедиат протезы, продолжение реабилитации.

вопросы:

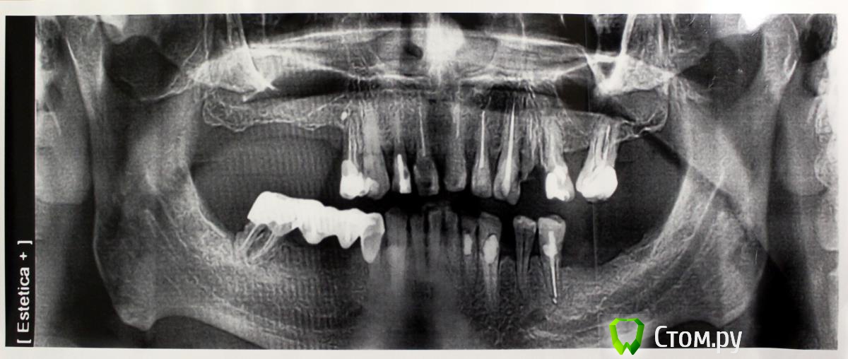
1. правильно ли я понимаю, что через 1,5 - 2 месяца после удаления 1.4 можно провести аугментацию (синус-лифтинг, латеральное окно, в первом сегменте, возможно с одномоментной установкой имплантатов)?

2. нужна ли в 1 сегменте дополнительная аугментация (по вертикали)?

3. в какие позиции должны быть поставлены имплантаты в 1 сегменте сбоку (1.7, 1.5)?

4. через 1,5 - 2 месяца после удаления 4.4 и 4.7 провести установку имплантатов в 4 сегменте?

5. в какие позиции должны быть поставлены имплантаты в 4 сегменте сбоку (4.5, 4.7?)?

6. через какой промежуток времени после удаления зубов 3.4, 3.5 проводить аугментацию в 3 сегменте? какая аугментация предпочтительнее? в какие позиции должны быть поставлены имплантаты (3.4, 3.6?)?

7. через 2-3 месяца после удаления 2.4, 2.5, 2.6 провести открытый синуслифтинг во втором сегменте возможно с одномоментной установкой имплантатов?

8. в какие позиции должны быть поставлены имплантаты во 2 сегменте (2.5, 2.6?)?

9. через 3 месяца после удаления 1.2, 1.1, 2.1, 2.2, 3.2, 3.1, 4.1, 4.2 зубов провести установку имплантатов во фронтальном отделе нижней, возможно верхней челюстей в позиции 1.2, 2.2 + 3.2, 4.2?

 

п.с. ДА, С ГИГИЕНОЙ ПОКА ЗАСАДА!!!)

post-32876-0-06959200-1386965196_thumb.jpg

post-32876-0-00896900-1386965221_thumb.jpg

post-32876-0-83167900-1386965228_thumb.jpg

post-32876-0-90102000-1386965232_thumb.jpg

post-32876-0-17079800-1386965237_thumb.jpg

post-32876-0-45270900-1386965245_thumb.jpg

post-32876-0-05461600-1386965250_thumb.jpg

post-32876-0-60419800-1386965253_thumb.jpg

post-32876-0-87783900-1386965257_thumb.jpg

post-32876-0-28919600-1386965261_thumb.jpg

post-32876-0-52701000-1386965268_thumb.jpg

post-32876-0-37819000-1386965272_thumb.jpg

post-32876-0-46932300-1386965275_thumb.jpg

post-32876-0-22547500-1386965705_thumb.jpg

post-32876-0-45909600-1386965751_thumb.jpg

post-32876-0-24083500-1386965762_thumb.jpg

Ссылка на комментарий

1. Не правильно понимаете. Покажите ЛОРу на предмет хронического гайморита и инородных тел в пазухе.

2. Не нужна. Наростить много не получится.

3,5,8. Решает ортопед.

6. Какими методиками аугментации владеете?

С такой гигиеной не стал бы брать.

Думаю Вы еще не готовы к такому пациенту.

  • Поддерживаю 5
Ссылка на комментарий

6. начинаю овладевать методами аугментации: расщепление, винирная и сэндвич техника, синуслифтинг

Изменено пользователем artem29
Ссылка на комментарий

Там подойдет любая каркасная техника. Расщеплять бы не стал, если отломиться и резорбируется будет совсем печально.

Ссылка на комментарий

Если гигиенические навыки не изменятся - не берите этого пациента. (абсолютно согласен с Антоном)

  • Поддерживаю 1
Ссылка на комментарий

Поддерживаю мнение, что этот случай не совсем подходит для овладевающего методиками!

Да и по уровню гигиены и состоянию зубных рядов можно судить о сознательности пациента, а она УХ как нужна при таких реконструктивных вмешательствах!

Ссылка на комментарий

всем спасибо за ответы

пациент уже проходит лечение у пародонтолога, планируется контроль гигиены на этапах протезирования (график посещений составляет пародонтолог)

есть ещё один вопрос.

Почему этому пациенту отказали в имплантации, предложив съемное протезирование?

В клинике, в которую он обращался, реабилитацию с помощью имплантатов проводят лет 8, может больше.

Изменено пользователем artem29
Ссылка на комментарий

Для публикации сообщений создайте учётную запись или авторизуйтесь

Вы должны быть пользователем, чтобы оставить комментарий

Создать аккаунт

Зарегистрируйте новый аккаунт в нашем сообществе. Это очень просто!

Регистрация нового пользователя

Войти

Уже есть аккаунт? Войти в систему.

Войти
×
×
  • Создать...
Вверх