artem29 Опубликовано 12 декабря, 2013 Поделиться Опубликовано 12 декабря, 2013 всем привет!!! Я хирург. В клинике планируется работа с микровинтами. Пациентка брекетсистему "носить" не планирует (остановились на локальном решении задач) Задача: Ортопеду необходимо освободить место для будущих искусственных зубов 1.6 и 3.6. Для этого пациентка (50 лет), отправляется на консультацию к ортодонту для решения вопроса у дистализации зубов 1.7 и 3.7. В данном клиническом случае по хирургическим показаниям зубы мудрости планировались на удаление, сейчас добавились и ортодонтические, как я понимаю для дистализации 1.7 и 3.7 надо удалить 1.8 и 3.8. Ортодонт на микровинтах не работала, но мотивация есть. С ортодонтом видемся редко, у нас в клинике только консультативны прием, обсудить что-то вместе крайне редко получается (тем более провести совместную консультацию), меня как хирурга ортопед попросил посмотреть снимки, определить свой (хирургический объем работы). Изучив информацию (литературу и форумы) я пришел к такому варианту действий,чтобы дистализировать 1.7 необходимо удалить 1.8 установить микровинт вестибулярно между корнями 1.4 и 1.3 (т.к. там больше места чем между 1.5 и 1.4) к 1.7 фиксировать брекет-замок, между ними установить пружину, зуб 1.7 дистализируется. для дистализации 3.7 необходимо удалить 3.8, оценить состояние костной ткани, возможно установить микровинт дистально одномоментно с удалением 3.8 если межокклюзионной высоты для головки микровинта будет достаточно. Вторым путем (при отсутствии состоятельной костной опоры в момент удаления 3.8 является установка микровинта между корнями зубов 3.4 и 3.5, брекет на зуба 3.7 + пружина. есть ещё один вариант. удалить 1.8 и 3.8, дождаться пока пройдет формирование костной ткани (сделать КТ через 3 месяца) установить микровинты в уже сформированную кость Вопросы: 1. кто определяет место установки микровинтов, ортодонт или хирург? 2. если изначально определяет место установки винтов хирург, то какие зоны необходимо в данной случае взять за костные опоры (куда ставить установить микровинты) к какие ортодонтические конструкции будут? 3. оптимально ли в данной ситуации дистализировать с помощью микровинтов, или возможны другие варианты Ссылка на комментарий
Toothfairy Опубликовано 12 декабря, 2013 Поделиться Опубликовано 12 декабря, 2013 Добрый вечер. Место установки минивинта определяет ортодонт. Хирург оценивает костную ткань в планируемом месте установки.Для дистализации зуба 1.7 лучше установить минивинт в область бугра верхней челюсти после удаления зуба 1.8 , а для дистализации 3.7- в ретромолярную область, предварительно удалив 3.8. После удаления восьмерок рекомендуют выждать 7-8 мес, я ставила через 6 , все было хорошо. Ссылка на комментарий
Bier Опубликовано 12 декабря, 2013 Поделиться Опубликовано 12 декабря, 2013 в области бугра миниимплантат стоять не будет. можно застабилизировать зуб миниимплантатом и от зуба толкнуть моляр. Ссылка на комментарий
M@estro Опубликовано 12 декабря, 2013 Поделиться Опубликовано 12 декабря, 2013 Интрузию 4.6 и 2.6 я просить бы не стал. (а 2.6 вообще под вопросом на выход). Думаю, дистализацию в первом квадранте можно выполнить "пружинкой" ,оттолкнувшись от премоляров,хотя утверждать не берусь. P.s. Гигиена - кошмар. Ссылка на комментарий
Ayrat_zub Опубликовано 12 декабря, 2013 Поделиться Опубликовано 12 декабря, 2013 (изменено) конкретно всем привет!!! Я хирург. В клинике планируется работа с микровинтами. Пациентка брекетсистему "носить" не планирует (остановились на локальном решении задач) Задача: Ортопеду необходимо освободить место для будущих искусственных зубов 1.6 и 3.6. Для этого пациентка (50 лет), отправляется на консультацию к ортодонту для решения вопроса у дистализации зубов 1.7 и 3.7. В данном клиническом случае по хирургическим показаниям зубы мудрости планировались на удаление, сейчас добавились и ортодонтические, как я понимаю для дистализации 1.7 и 3.7 надо удалить 1.8 и 3.8. Ортодонт на микровинтах не работала, но мотивация есть. С ортодонтом видемся редко, у нас в клинике только консультативны прием, обсудить что-то вместе крайне редко получается (тем более провести совместную консультацию), меня как хирурга ортопед попросил посмотреть снимки, определить свой (хирургический объем работы). Изучив информацию (литературу и форумы) я пришел к такому варианту действий,чтобы дистализировать 1.7 необходимо удалить 1.8 установить микровинт вестибулярно между корнями 1.4 и 1.3 (т.к. там больше места чем между 1.5 и 1.4) к 1.7 фиксировать брекет-замок, между ними установить пружину, зуб 1.7 дистализируется. для дистализации 3.7 необходимо удалить 3.8, оценить состояние костной ткани, возможно установить микровинт дистально одномоментно с удалением 3.8 если межокклюзионной высоты для головки микровинта будет достаточно. Вторым путем (при отсутствии состоятельной костной опоры в момент удаления 3.8 является установка микровинта между корнями зубов 3.4 и 3.5, брекет на зуба 3.7 + пружина. есть ещё один вариант. удалить 1.8 и 3.8, дождаться пока пройдет формирование костной ткани (сделать КТ через 3 месяца) установить микровинты в уже сформированную кость Вопросы: 1. кто определяет место установки микровинтов, ортодонт или хирург? 2. если изначально определяет место установки винтов хирург, то какие зоны необходимо в данной случае взять за костные опоры (куда ставить установить микровинты) к какие ортодонтические конструкции будут? 3. оптимально ли в данной ситуации дистализировать с помощью микровинтов, или возможны другие вариантыконкретно в этом случае можно обойтись без миниимплантов, имхо) с помощью кантилеверов(специальных пружинок)в первом квадрате- тоже мезиальный наклон моляров насколько вижу всего лишь, тоже провести апрайт, и освободится место) по моделям проще просчитать) положение минимплантов- компромисс между желанием ортодонта, и возможностями хирурга) Изменено 12 декабря, 2013 пользователем Ayrat_zub Ссылка на комментарий
artem29 Опубликовано 13 декабря, 2013 Автор Поделиться Опубликовано 13 декабря, 2013 (изменено) значит, если идти по пути микроимплантов, то схематически будет выглядеть так? Изменено 13 декабря, 2013 пользователем artem29 Ссылка на комментарий
Ayrat_zub Опубликовано 13 декабря, 2013 Поделиться Опубликовано 13 декабря, 2013 значит, если идти по пути микроимплантов, то схематически будет выглядеть так?грубо говоря, да) только дизайн немного громоздкий) можно тогда у напрмую к импланту сделать вспомогательную дугу) Ссылка на комментарий
Ibulat_1986 Опубликовано 16 декабря, 2013 Поделиться Опубликовано 16 декабря, 2013 я не ортодонт, но недавно наткнулся на следующее.допускается ли такая конструкция для дистализации моляров? Ссылка на комментарий
Ibulat_1986 Опубликовано 16 декабря, 2013 Поделиться Опубликовано 16 декабря, 2013 погуглил - больше похоже на винт Бертони для пластинок. Ссылка на комментарий
Ayrat_zub Опубликовано 16 декабря, 2013 Поделиться Опубликовано 16 декабря, 2013 я не ортодонт, но недавно наткнулся на следующее.допускается ли такая конструкция для дистализации моляров?Жесть)) никогда такого не встречал) но оптыта не так много) похожие аппраты есть(более эргономичные), но эта версия удивила)) если опора контролируется, то наверное допускается))) 1 Ссылка на комментарий
Ibulat_1986 Опубликовано 16 декабря, 2013 Поделиться Опубликовано 16 декабря, 2013 Жесть)) никогда такого не встречал) но оптыта не так много) похожие аппраты есть(более эргономичные), но эта версия удивила)) если опора контролируется, то наверное допускается))) этот пациент все равно будет в клинике появляться. посмотрим. по возможности буду фотографировать Ссылка на комментарий
Ibulat_1986 Опубликовано 16 декабря, 2013 Поделиться Опубликовано 16 декабря, 2013 грубо говоря, да) только дизайн немного громоздкий) можно тогда у напрмую к импланту сделать вспомогательную дугу)и толкать пружиной? Ссылка на комментарий
Ayrat_zub Опубликовано 16 декабря, 2013 Поделиться Опубликовано 16 декабря, 2013 и толкать пружиной?можно и пружиной) Ссылка на комментарий
LeFor Опубликовано 18 декабря, 2013 Поделиться Опубликовано 18 декабря, 2013 я не ортодонт, но недавно наткнулся на следующее.допускается ли такая конструкция для дистализации моляров?вот это полный писец! походу пластиночный ортодонт решил подзаработать))) Ссылка на комментарий
LeFor Опубликовано 18 декабря, 2013 Поделиться Опубликовано 18 декабря, 2013 насчет громоздких конструкций- смотря какой пациент... как то делал вот так...на втором снимке вверху опора на дентальный имплант- эксперимент))) 5 Ссылка на комментарий
Ibulat_1986 Опубликовано 20 декабря, 2013 Поделиться Опубликовано 20 декабря, 2013 насчет громоздких конструкций- смотря какой пациент... как то делал вот так...на втором снимке вверху опора на дентальный имплант- эксперимент)))нормально! особенно порадовал первый снимок! класс Ссылка на комментарий
Skip Опубликовано 20 декабря, 2013 Поделиться Опубликовано 20 декабря, 2013 Коллеги, вы хернёй занимаетесь, когда "экспериментируя" с наклонами зубов то в нёбную, то в щёчную сторону допускаете, что творите чудеса. Ссылка на комментарий
annda Опубликовано 21 декабря, 2013 Поделиться Опубликовано 21 декабря, 2013 Почему в нёбную и щёчную?Я так поняла,речь идёт о мезиальном наклоне(о выпрямлении зубов,движении дистально) и о движении по оси зуба,об интрузии. Ссылка на комментарий
Skip Опубликовано 22 декабря, 2013 Поделиться Опубликовано 22 декабря, 2013 Аня, всё Вы правильно понимаете, ну, во всяком случае, почти правильно В ортодонтии есть такой важный раздел, который называется - "Основы механики". Не изучив должным образом этот раздел, крайне сложно заниматься ортодонтией, да и опасно, т.к. всё будет превращаться вот в такие "эксперименты" Так вот, интрузия верхнего моляра, с точки зрения тех самых основ механики, вещь весьма проблематичная, если вести речь об истинной интрузии. Об этом и в литературе много пишут, но каждый раз кто-то, в очередной раз, пытается изобрести велосипед. С тех же позиций основ механики, можно объяснить, почему у доктора, со звучным ником LeFor, верхний моляр ротировался нёбно. Всё же довольно элементарно, если знать и помнить о таких понятиях, как центр сопротивления и момент силы. Планировать такие перемещения нужно не исходя от того, где хирургу удобно вкрутить шуруп, а именно из этих понятий - центр сопротивления и момент силы. Для справки. Результирующая сила, действующая на зуб при интрузии, должна совпадать с центром сопротивления. Это двольно сложно расчитать, но приблизительно можно. Используйте дополнительно окклюзионную нагрузку при интрузии моляров. 1 Ссылка на комментарий
Ibulat_1986 Опубликовано 23 декабря, 2013 Поделиться Опубликовано 23 декабря, 2013 (изменено) Аня, всё Вы правильно понимаете, ну, во всяком случае, почти правильно В ортодонтии есть такой важный раздел, который называется - "Основы механики". Не изучив должным образом этот раздел, крайне сложно заниматься ортодонтией, да и опасно, т.к. всё будет превращаться вот в такие "эксперименты" Так вот, интрузия верхнего моляра, с точки зрения тех самых основ механики, вещь весьма проблематичная, если вести речь об истинной интрузии. Об этом и в литературе много пишут, но каждый раз кто-то, в очередной раз, пытается изобрести велосипед. С тех же позиций основ механики, можно объяснить, почему у доктора, со звучным ником LeFor, верхний моляр ротировался нёбно. Всё же довольно элементарно, если знать и помнить о таких понятиях, как центр сопротивления и момент силы. Планировать такие перемещения нужно не исходя от того, где хирургу удобно вкрутить шуруп, а именно из этих понятий - центр сопротивления и момент силы. Для справки. Результирующая сила, действующая на зуб при интрузии, должна совпадать с центром сопротивления. Это двольно сложно расчитать, но приблизительно можно. Используйте дополнительно окклюзионную нагрузку при интрузии моляров.я хоть и не ортодонт, но согласен на 100%. исходя из этого, правильно установленные мини имплантаты дают наиболее прогнозируемый результат? все верно? Изменено 23 декабря, 2013 пользователем Ibulat_1986 Ссылка на комментарий
Skip Опубликовано 24 декабря, 2013 Поделиться Опубликовано 24 декабря, 2013 я хоть и не ортодонт, но согласен на 100%. исходя из этого, правильно установленные мини имплантаты дают наиболее прогнозируемый результат? все верно? Разумеется это важный аспект, но не определяющий успех. Построение системы действующих сил, вот что предопределяет прогноз. Именно системы сил, так мы, проводя интрузию, должны ещё одновременно контролировать нежелательный наклон зуба в нёбную или щёчную сторону. И это особенно важно, когда интрузию (речь сейчас идёт о верхних молярах) проводят изолированно и в плане подготовки к протезированию. Вы же не хотите, как ортопед, чтобы вместе с полученным пространством для супраконструкции, ломать потом голову, как приспособить этот зуб в окклюзии с антагонистом. Эта резиночка с двумя шурупами по обе стороны зуба, прокатывает в тех случаях, когда планируется полное ортодонтическое лечение и положение этого зуба можно потом скорректировать, включив его в аппарат (бректы с дугой). Ссылка на комментарий
M@estro Опубликовано 24 декабря, 2013 Поделиться Опубликовано 24 декабря, 2013 Вы же не хотите, как ортопед, чтобы вместе с полученным пространством для супраконструкции, ломать потом голову, как приспособить этот зуб в окклюзии с антагонистом Иначе придется в прямой прикус ставить...или в обратный Ссылка на комментарий
Ibulat_1986 Опубликовано 24 декабря, 2013 Поделиться Опубликовано 24 декабря, 2013 все ясно. спасибо за то что просветили) Ссылка на комментарий
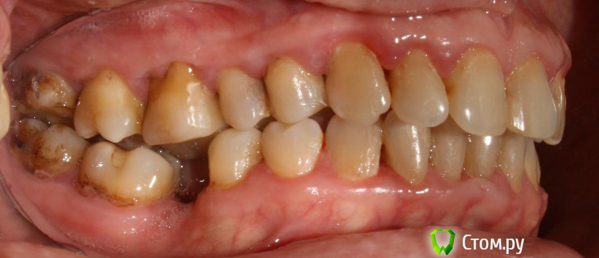
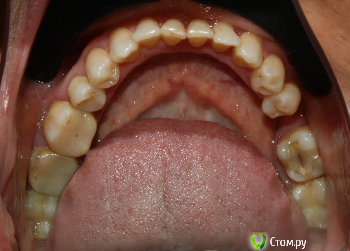
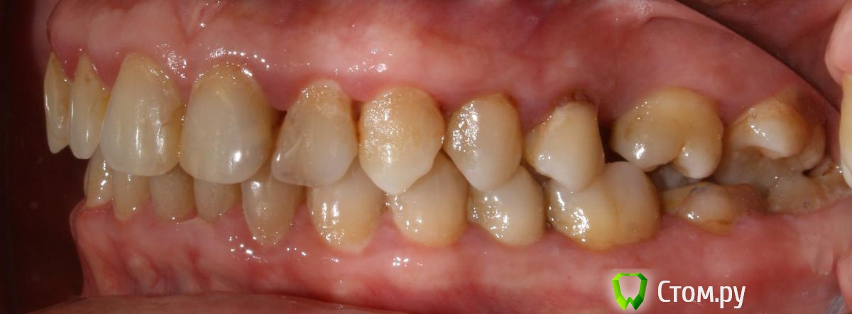
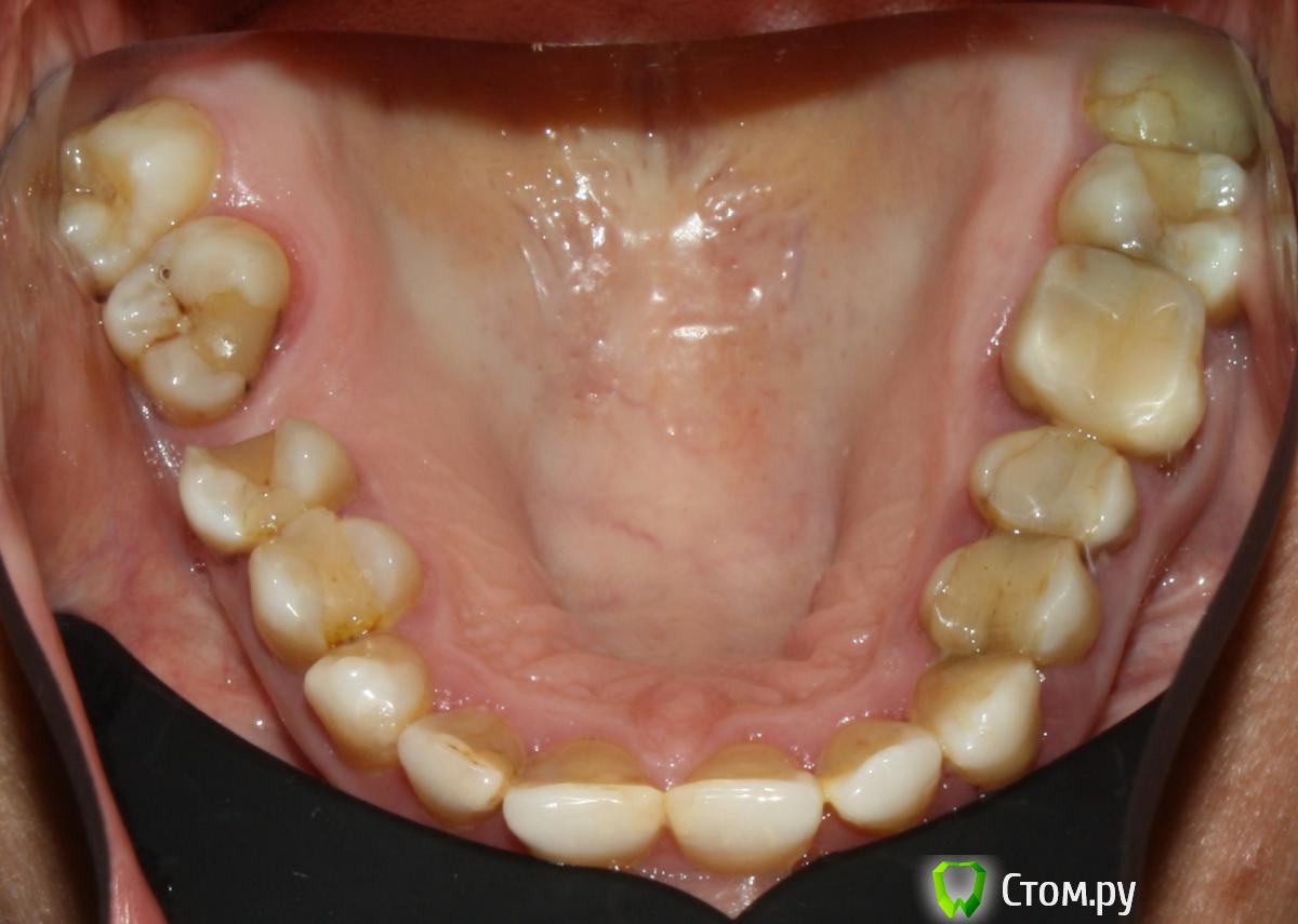
LeFor Опубликовано 28 декабря, 2013 Поделиться Опубликовано 28 декабря, 2013 (изменено) Аня, всё Вы правильно понимаете, ну, во всяком случае, почти правильно В ортодонтии есть такой важный раздел, который называется - "Основы механики". Не изучив должным образом этот раздел, крайне сложно заниматься ортодонтией, да и опасно, т.к. всё будет превращаться вот в такие "эксперименты" Так вот, интрузия верхнего моляра, с точки зрения тех самых основ механики, вещь весьма проблематичная, если вести речь об истинной интрузии. Об этом и в литературе много пишут, но каждый раз кто-то, в очередной раз, пытается изобрести велосипед. С тех же позиций основ механики, можно объяснить, почему у доктора, со звучным ником LeFor, верхний моляр ротировался нёбно. Всё же довольно элементарно, если знать и помнить о таких понятиях, как центр сопротивления и момент силы. Планировать такие перемещения нужно не исходя от того, где хирургу удобно вкрутить шуруп, а именно из этих понятий - центр сопротивления и момент силы. Для справки. Результирующая сила, действующая на зуб при интрузии, должна совпадать с центром сопротивления. Это двольно сложно расчитать, но приблизительно можно. Используйте дополнительно окклюзионную нагрузку при интрузии моляров.Эх.... сейчас, какашки вытру с головы и все расскажу... история такая... пациент 56 лет, работает "на северах" с непредсказуемым сроком вахты(и непредсказуемым отношением к гигиене- это видно на снимке), необходимость в "изобретении велосипеда" возникла после троекратной потери винта с вестибулярной стороны(гайморова пазуха занимает максимум объема вч, и скулового отростка вч в том числе + возможно гигиеническое состояние помогало), при этом небный винт был установлен достаточно успешно. Так вот, данный "велосипед" был стабилизирован именно небным винтом, до того момента пока пациент не порвал эластик с небной стороны... в таком состоянии он благополучно просидел в тайге 2 месяца, от чего и получился такой "предварительный" результат...... на котором я сознательно не стал заострять внимание, и упреждающе назвал "экспериментом"... НО "созвучный" доктор Skip так ослеп от своего теоретичесого эго, что забыл об элементарных проблемах житейской практики, и в очередной раз сорвался с цепи завидев лишь тень намека на такую возможность... и глазом не моргнул, и не стал "опускаться" до уровня элементарных "деонтологических" вопросов, типа: док, а что там за хрень на верхнем зубе? его кажись повело? ответ: да там такой вот косяк вышел, исправим... но нет! созвучный Скип- ясновидящий! сразу узрел корень зла в некомпетентности врача! Изменено 28 декабря, 2013 пользователем LeFor 1 Ссылка на комментарий
Skip Опубликовано 28 декабря, 2013 Поделиться Опубликовано 28 декабря, 2013 Не обижайтесь. То, что выкладываете свои кейсы, это уже заслуживает уважения... 2 Ссылка на комментарий
Рекомендуемые сообщения
Для публикации сообщений создайте учётную запись или авторизуйтесь
Вы должны быть пользователем, чтобы оставить комментарий
Создать аккаунт
Зарегистрируйте новый аккаунт в нашем сообществе. Это очень просто!
Регистрация нового пользователяВойти
Уже есть аккаунт? Войти в систему.
Войти