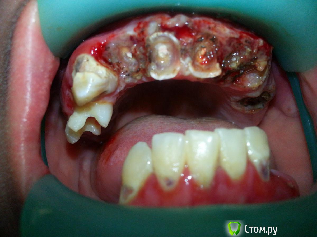
piezo Опубликовано 10 декабря, 2013 Поделиться Опубликовано 10 декабря, 2013 Здравствуйте!!! Уважаемые коллеги попалась вот такая вот работа хотелось бы знать что подскажите какие будут советы Ссылка на комментарий
Чертков Александр Опубликовано 10 декабря, 2013 Поделиться Опубликовано 10 декабря, 2013 Что в анамнезе? ИМХО - всё закончится полными съемными. Ссылка на комментарий
piezo Опубликовано 10 декабря, 2013 Автор Поделиться Опубликовано 10 декабря, 2013 Раньше стояли штамповки на штифтах Ссылка на комментарий
piezo Опубликовано 10 декабря, 2013 Автор Поделиться Опубликовано 10 декабря, 2013 Планирую корневые вкладки после заживления десен Ссылка на комментарий
DShu Опубликовано 10 декабря, 2013 Поделиться Опубликовано 10 декабря, 2013 Планирую корневые вкладки после заживления десенА зачем Вам совет, если Вы все уже спланировали?)я не ортопед, но по моему там не во что вкладки ставить 1 Ссылка на комментарий
Чертков Александр Опубликовано 10 декабря, 2013 Поделиться Опубликовано 10 декабря, 2013 Планирую корневые вкладки после заживления десенОПТГ покажите пожалуйста. 1 Ссылка на комментарий
piezo Опубликовано 10 декабря, 2013 Автор Поделиться Опубликовано 10 декабря, 2013 Да вы правы но пациентка не хочет полные съемные десну укорачивал коагулятором ((( электро скальпеля нет получилось бы лучше я тоже в ортопедии совсем новичок и много еще нужно узнать потому и спрашиваю совета Ссылка на комментарий
Чертков Александр Опубликовано 10 декабря, 2013 Поделиться Опубликовано 10 декабря, 2013 Да вы правы но пациентка не хочет полные съемные десну укорачивал коагулятором ((( электро скальпеля нет получилось бы лучше я тоже в ортопедии совсем новичок и много еще нужно узнать потому и спрашиваю совета Укорачивание десны с какой целью? Если создать хоть какой то феррул, то кость укорачивать надо. Покажите снимок. Порешаем... 1 Ссылка на комментарий
Ibulat_1986 Опубликовано 10 декабря, 2013 Поделиться Опубликовано 10 декабря, 2013 мда. надо снимок. Ссылка на комментарий
piezo Опубликовано 10 декабря, 2013 Автор Поделиться Опубликовано 10 декабря, 2013 На сколько я знаю про вкладки в таких случаях корень удлиняют хирургическим методом что бы создать ферул хотелось бы узнать об этом по подробнее Ссылка на комментарий
piezo Опубликовано 10 декабря, 2013 Автор Поделиться Опубликовано 10 декабря, 2013 на ОПТГ еще не отправил пациентку после лечения кариозных полостей направлю Ссылка на комментарий
Чертков Александр Опубликовано 10 декабря, 2013 Поделиться Опубликовано 10 декабря, 2013 На сколько я знаю про вкладки в таких случаях корень удлиняют хирургическим методом что бы создать ферул хотелось бы узнать об этом по подробнее...воспользуйтесь поиском...обсуждалось неоднократно. Ссылка на комментарий
Большой Зеленый Опубликовано 10 декабря, 2013 Поделиться Опубликовано 10 декабря, 2013 На сколько я знаю про вкладки в таких случаях корень удлиняют хирургическим методом что бы создать ферул хотелось бы узнать об этом по подробнееhttp://www.youtube.com/watch?v=jQyZwlTVLv8 Ссылка на комментарий
art700 Опубликовано 10 декабря, 2013 Поделиться Опубликовано 10 декабря, 2013 Да вы правы но пациентка не хочет полные съемные десну укорачивал коагулятором ((( электро скальпеля нет получилось бы лучше я тоже в ортопедии совсем новичок и много еще нужно узнать потому и спрашиваю совета Если "совсем новичок" мне кажется работу надо отдать врачу поопытнее. Мое мнение. Ссылка на комментарий
IvanK Опубликовано 10 декабря, 2013 Поделиться Опубликовано 10 декабря, 2013 на ОПТГ еще не отправил пациентку после лечения кариозных полостей направлюС ОПТГ нужно было начать.. 2 Ссылка на комментарий
Sir Edward'S Опубликовано 10 декабря, 2013 Поделиться Опубликовано 10 декабря, 2013 Да вы правы но пациентка не хочет полные съемные десну укорачивал коагулятором ((( электро скальпеля нет получилось бы лучше я тоже в ортопедии совсем новичок и много еще нужно узнать потому и спрашиваю совета ну мало ли что хочет или не хочет пациентка, для всего есть свои показания не хочет съемник , есть альтернатива импланты 2 Ссылка на комментарий
IvanK Опубликовано 10 декабря, 2013 Поделиться Опубликовано 10 декабря, 2013 ну мало ли что хочет или не хочет пациентка, для всего есть свои показания не хочет съемник , есть альтернатива импланты +100 Ссылка на комментарий
Sir Edward'S Опубликовано 10 декабря, 2013 Поделиться Опубликовано 10 декабря, 2013 (изменено) Если "совсем новичок" мне кажется работу надо отдать врачу поопытнее. Мое мнение.пусть учитсянужно начинать Изменено 10 декабря, 2013 пользователем Sir Edward'S 1 Ссылка на комментарий
Fake personage Опубликовано 10 декабря, 2013 Поделиться Опубликовано 10 декабря, 2013 (изменено) Эрозия/некроз эмали,налет на языке серо-черного цвета,слизистая бордовая.Это то что видно на не очень удачном фото.Поговорите серьезно с пациенткой на предмет системных заболеваний/вредных привычек.Часто молчат -приходится вытягивать.Анализ крови будет кстати.Обезопасьте себя в первую очередь.Здается мне ,что про имплантацию в данном случае нужно забыть.Да и восстаналивать уже нечего судя по фото.П/с и ч/с,чтоб хоть как-то помочь Изменено 10 декабря, 2013 пользователем Fake personage Ссылка на комментарий
Чертков Александр Опубликовано 11 декабря, 2013 Поделиться Опубликовано 11 декабря, 2013 вредных привычек По своему опыту могу сказать что такая картина соответствует приему запрещенных препаратов. 2 Ссылка на комментарий
Mane Опубликовано 14 декабря, 2013 Поделиться Опубликовано 14 декабря, 2013 жесть Ссылка на комментарий
Рекомендуемые сообщения
Для публикации сообщений создайте учётную запись или авторизуйтесь
Вы должны быть пользователем, чтобы оставить комментарий
Создать аккаунт
Зарегистрируйте новый аккаунт в нашем сообществе. Это очень просто!
Регистрация нового пользователяВойти
Уже есть аккаунт? Войти в систему.
Войти