SatoSan Опубликовано 15 декабря, 2013 Поделиться Опубликовано 15 декабря, 2013 К вам такие не ходят что-ли? О! А ко мне постоянно, летом прямо с грядки, в пакете огурцы с кабачками, в зубах укроп или лук-порей какой-нибудь. Палец указательный согнут и угол рта оттягивают, как заправский лучник тетиву. Того и гляди на ухо накинут, никакого опртагейта не надо будет.А самое фееричное когда это происходит на улице или в магазине... 1 Ссылка на комментарий
M@estro Опубликовано 15 декабря, 2013 Поделиться Опубликовано 15 декабря, 2013 А самое фееричное когда это происходит на улице или в магазине... У меня знакомый стоматолог говорит в таких случаях пациентам в магазине - " а если бы я был гинекологом ?" 2 Ссылка на комментарий
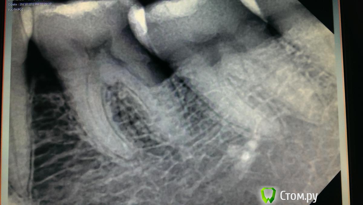
art700 Опубликовано 16 января, 2014 Поделиться Опубликовано 16 января, 2014 Вобщем спрошу здесь, дабы не создавать новой темы. Пациентка - ассистенка клиники, попала ко мне уже после одного доктора терапевта, решил посмотреть ее, ибо боли как говорят. Зуб 36 мучает, изначально беспокоила боль при чистки, запах ну и т.д. Как я понял для начала решили убрать плотный контакт с зубом 3.7, стало легче, но через пару дней появилась сильная боль на холодное, только на холодное причем. Думаю депульпировать уж или есть варианты какие? Снимок практически двухнедельной давности, сейчас по ее словам должно быть тоже самое, т.к практически ничего не делали, но фиг его знает. Вобщем болит. Ссылка на комментарий
Kolchanov Опубликовано 16 января, 2014 Поделиться Опубликовано 16 января, 2014 Попробуйте после сбора информации и тестов на витальность, полечить кариес нормально. Сейчас лень искать, но я мог бы вам привести пример из книжки 1910г, где подобная процедура (проведенная вашими добросердечными коллегами) рекомендовалась как профилактическая. Т.е. здоровые зубы пилили, чтобы прочищать легче было.Ваши коллеги походу все еще в 1910г. С чем их и поздравляю. Ссылка на комментарий
Kolchanov Опубликовано 16 января, 2014 Поделиться Опубликовано 16 января, 2014 Вот, дайте им почитать. Ссылка на комментарий
art700 Опубликовано 16 января, 2014 Поделиться Опубликовано 16 января, 2014 Дам почитать, я так правильно понимаю, что вы про кариес на контакте грубо говоря?Во рту не смотрел ещё даже. Ссылка на комментарий
Kolchanov Опубликовано 16 января, 2014 Поделиться Опубликовано 16 января, 2014 Правильно. Просто полость. В чем был смысл проделанной операции? Я не понимаю. Может все правильно было сделано ассистентке? Может плохо ассистирует? Ссылка на комментарий
Л Ю С Я Опубликовано 17 января, 2014 Поделиться Опубликовано 17 января, 2014 Вобщем спрошу здесь, дабы не создавать новой темы. Пациентка - ассистенка клиники, попала ко мне уже после одного доктора терапевта, решил посмотреть ее, ибо боли как говорят. Зуб 36 мучает, изначально беспокоила боль при чистки, запах ну и т.д. Как я понял для начала решили убрать плотный контакт с зубом 3.7, стало легче, но через пару дней появилась сильная боль на холодное, только на холодное причем. Думаю депульпировать уж или есть варианты какие? Снимок практически двухнедельной давности, сейчас по ее словам должно быть тоже самое, т.к практически ничего не делали, но фиг его знает. Вобщем болит.В чем причина деформации зубного ряда? Есть ОПТГ? Ну депульпируете, но резорбция то будет прогрессировать если не убрать причину. Антагониста у 6 наверное нет? Смотрите какой карман сформировался. Как там с гигиеной? Вобщем, смотрите в полость рта. Ссылка на комментарий
art700 Опубликовано 17 января, 2014 Поделиться Опубликовано 17 января, 2014 Пока ничего не делали, даже не смотрел, некогда было, но боли уже пошли самопроизвольные, пульсирующие, сегодня уколол, чтобы работать полегче было нй. Завтра буду смотреть, по словам ее болит именно карман, а не зуб. Ссылка на комментарий
Kolchanov Опубликовано 17 января, 2014 Поделиться Опубликовано 17 января, 2014 Пульпитец там, похоже. Ссылка на комментарий
ромашечка Опубликовано 17 января, 2014 Поделиться Опубликовано 17 января, 2014 даже не смотрел, Любите сотрудников . Ссылка на комментарий
Nadina Опубликовано 17 января, 2014 Поделиться Опубликовано 17 января, 2014 оффтоп небольшой. Наши теперь просят не только пульпировать интактные, но и совать в канал СВШ. А я не хочу совать в канал СВШ, их потом поди попробуй достань оттуда. На просьбу аргументировать начинают читать мантру про укрепление, какие-то векторы, коэффициенты упругости и т.п. Как бороться?Да-да,все тоже самое, люди добрые,подскажите,как ортопедам -то объяснить. Как их потом в госучреждении потом выпиливать,не имея ничего,кроме рук и доброго слова? Д: (24) стук-стук-стук - Первый! (25) стук-стук-стук -Второй! Какой! У: - Второй! Д: - Снова сравниваем. (25) стук-стук-стук - Первый! (26) стук-стук-стук - Второй! Целое руководство по пропедевтике,спасибо,настроение подняли))Про грязный палец -читаю и представляю. Проведешь кюретаж,а он (пациент),не успевая с кресла встать,уже палец в рот засунет грязный (бахилы одевал,все в поликлинике потрогал перед этим) и уже что-то там трогает и гладит со словами -"тут что-то прилипло",намекая мне на повязку,про которую я полчаса рассказывала до этого. Ссылка на комментарий
АнтонТЛТ Опубликовано 17 января, 2014 Поделиться Опубликовано 17 января, 2014 А для чего повязка? Ссылка на комментарий
Nadina Опубликовано 17 января, 2014 Поделиться Опубликовано 17 января, 2014 да диплен обычный или ДАП)) не ватно-марлевая,конечно))) Ссылка на комментарий
Nadina Опубликовано 17 января, 2014 Поделиться Опубликовано 17 января, 2014 А для чего повязка? да диплен обычный или ДАП)) не ватно-марлевая,конечно))) Ссылка на комментарий
АнтонТЛТ Опубликовано 17 января, 2014 Поделиться Опубликовано 17 января, 2014 Зачем? Ссылка на комментарий
ромашечка Опубликовано 17 января, 2014 Поделиться Опубликовано 17 января, 2014 Куда-то там оно съездило на какие-то курсы и чего-то там нового узнало Подруга учиться в Америке (вернее доучивается после нашего диплома ) на стоматолога. В их университете СВШ используют. Основной аргумент модуль упругости , соответствующий депул. дентину. Может что-то ещё, что я не запомнила. Противопоказаны при отсутствиии феррула, как и вкладки; после депульпирования должно пройти не болеее2-х недель - иначе дентин терят структуру, и невозможно образование гибридной зоны с лютинг -цементом ( .т. е все периодонтиты ранеее леченные и перелеченнные отпадают и пульпиты более, чем через 2 недели), и ещё несоответствие формы штифта и канала-. т.е наример щелевидный канал. По-мойму обосновано? Если отнять противопоказания- то под показания не так много зубов попадёт. Ссылка на комментарий
Nadina Опубликовано 17 января, 2014 Поделиться Опубликовано 17 января, 2014 после депульпирования должно пройти не болеее2-х недель не знала,буду знать,спасибо)) Ссылка на комментарий
Nadina Опубликовано 17 января, 2014 Поделиться Опубликовано 17 января, 2014 (изменено) Зачем? это опять мне?)) чтоб было,что в прайс включить на опцию "пародонтальная повязка")) А то кюретаж сам по себе вообще копейки в нащей госке выходит,а времени много требует)На самом деле,я прижимаю,без фанатизма,десну к зубу дипленом или ДАп,чтобы гиалуронка,заботливо мной туда введенная,не вылезла обратно совсем быстро) Изменено 17 января, 2014 пользователем Nadina Ссылка на комментарий
АнтонТЛТ Опубликовано 17 января, 2014 Поделиться Опубликовано 17 января, 2014 Гиалуронка тоже только для прайса? Ссылка на комментарий
Nadina Опубликовано 17 января, 2014 Поделиться Опубликовано 17 января, 2014 Гиалуронка тоже только для прайса? Гиалуронка-отличный носитель ЛП,использую доксициклин на ней, результаты хорошие. нет,есть конечно атридоксы и иже с ними,но стоят,как пожарная машина. Ссылка на комментарий
АнтонТЛТ Опубликовано 17 января, 2014 Поделиться Опубликовано 17 января, 2014 А можно вообще ничего не колоть и не мазать 1 Ссылка на комментарий
Nadina Опубликовано 17 января, 2014 Поделиться Опубликовано 17 января, 2014 (изменено) А можно вообще ничего не колоть и не мазать это вопрос или утверждение?можно вообще пародонтит не лечить. но я ничего не колю ,кроме анестезии) и противопарадонтопатогенное (ну и слово получилось )) )действие чем усиливать тогда,как не АБ (системные не в счет).В общем,не буду дальше отклоняться от темы,которую доктор начал,будут вопросы еще -лучше наверное в личку,. А то я ,вас,доктор,понять не могу,толи вам смешно ,толи интересно. Если я вас своими (не-не,я не придумывала и не патентовала))) ), методами повеселила,что ж поделаешь.,хоть настроение,может,подняла.Пишите,если что))) Изменено 17 января, 2014 пользователем Nadina Ссылка на комментарий
АнтонТЛТ Опубликовано 17 января, 2014 Поделиться Опубликовано 17 января, 2014 (изменено) Достаточно просто механической обработки Так это же форум, тема сто раз может поменяться)))) Изменено 17 января, 2014 пользователем АнтонТЛТ Ссылка на комментарий
Nadina Опубликовано 17 января, 2014 Поделиться Опубликовано 17 января, 2014 Достаточно просто механической обработки Я вас поняла,спасибо,что поделились своим мнением,обязательно учту)) видимо поэтому столько "зачем" было) Ссылка на комментарий
Рекомендуемые сообщения
Для публикации сообщений создайте учётную запись или авторизуйтесь
Вы должны быть пользователем, чтобы оставить комментарий
Создать аккаунт
Зарегистрируйте новый аккаунт в нашем сообществе. Это очень просто!
Регистрация нового пользователяВойти
Уже есть аккаунт? Войти в систему.
Войти