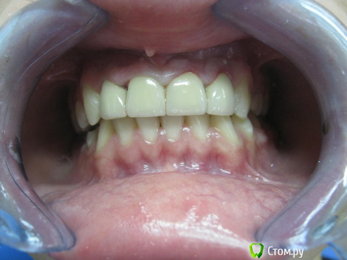
Abdul9848 Опубликовано 24 ноября, 2013 Поделиться Опубликовано 24 ноября, 2013 Выставляю на суд, фото препарированных культей скину позже.на зубах 11 21 культевые вкладки. 1 Ссылка на комментарий
Abdul9848 Опубликовано 24 ноября, 2013 Автор Поделиться Опубликовано 24 ноября, 2013 . 1 Ссылка на комментарий
syrovovec Опубликовано 24 ноября, 2013 Поделиться Опубликовано 24 ноября, 2013 .То что вы показываете,это работа техника....покажите фото в работе 1 Ссылка на комментарий
Sir Edward'S Опубликовано 24 ноября, 2013 Поделиться Опубликовано 24 ноября, 2013 Вам самому нравиться ? Ссылка на комментарий
M@estro Опубликовано 24 ноября, 2013 Поделиться Опубликовано 24 ноября, 2013 Пациент в шапке ? 3 Ссылка на комментарий
Sir Edward'S Опубликовано 24 ноября, 2013 Поделиться Опубликовано 24 ноября, 2013 как и положено Ссылка на комментарий
Stom87 Опубликовано 24 ноября, 2013 Поделиться Опубликовано 24 ноября, 2013 Правило асептики: каждому пациенту - шапку Ссылка на комментарий
АнтонТЛТ Опубликовано 24 ноября, 2013 Поделиться Опубликовано 24 ноября, 2013 Абдул, покажите фото препа и оттисков Ссылка на комментарий
pawa Опубликовано 25 ноября, 2013 Поделиться Опубликовано 25 ноября, 2013 .Хорошая работа, учитывая, что вы на старте!Думаю, пациент остался доволен. А это самое главное. 1 Ссылка на комментарий
Heatshock Опубликовано 25 ноября, 2013 Поделиться Опубликовано 25 ноября, 2013 (изменено) для первого раза не плохой результат. Но нету фото с улыбкой,т.е. сложно определить попали ли Вы в эстетику.Мне лично куда интереснее чего там под коронками и чего с ферулом. пс: важно чтобы пациент был доволен, но ставить этот момент, как самый важный не правильно. Вот конкретно в данный момент он может и доволен, а через год может уже и не будет. Многие врачи идут на поводу у пациентов и лечат те зубы которые просит сам пациент. Довон ли пациент? Конечно. А правильно ли это? Безусловно нет. Изменено 25 ноября, 2013 пользователем Heatshock Ссылка на комментарий
Yoda Опубликовано 25 ноября, 2013 Поделиться Опубликовано 25 ноября, 2013 Пациент в шапке ? А что такого? Пациенты после химиотерапии часто ходят в шапках и платках, например.Я спокойно к этому отношусь. Ссылка на комментарий
Abdul9848 Опубликовано 25 ноября, 2013 Автор Поделиться Опубликовано 25 ноября, 2013 Абдул, покажите фото препа и оттисков фото препа отправлю сегодня вечером, фото оттисков нету, оттиски уже выкинул, теперь буду знать что фотографировать. 1 Ссылка на комментарий
Heatshock Опубликовано 25 ноября, 2013 Поделиться Опубликовано 25 ноября, 2013 А что такого? Пациенты после химиотерапии часто ходят в шапках и платках, например.Я спокойно к этому отношусь. но судя по всему этот пациент одел шапку, т.к так более мооодно=)Ну или в кабинете холодновато Ссылка на комментарий
ю.юрий Опубликовано 25 ноября, 2013 Поделиться Опубликовано 25 ноября, 2013 Пациент в шапке ? https://www.youtube.com/watch?v=skUcdPkhawE Ссылка на комментарий
ю.юрий Опубликовано 25 ноября, 2013 Поделиться Опубликовано 25 ноября, 2013 Выставляю на суд Нормально , для первого раза ,так даже хорошо , небольшой дисбаланс есть в пропорциях 1-х и 2-х зубов , но это к технику вопрос ... Ссылка на комментарий
Abdul9848 Опубликовано 25 ноября, 2013 Автор Поделиться Опубликовано 25 ноября, 2013 для первого раза не плохой результат. Но нету фото с улыбкой,т.е. сложно определить попали ли Вы в эстетику.Мне лично куда интереснее чего там под коронками и чего с ферулом. пс: важно чтобы пациент был доволен, но ставить этот момент, как самый важный не правильно. Вот конкретно в данный момент он может и доволен, а через год может уже и не будет. Многие врачи идут на поводу у пациентов и лечат те зубы которые просит сам пациент. Довон ли пациент? Конечно. А правильно ли это? Безусловно нет.там феррула нет совсем. по причине отсутствия феррула не сделал одиночные 1 Ссылка на комментарий
Heatshock Опубликовано 25 ноября, 2013 Поделиться Опубликовано 25 ноября, 2013 там феррула нет совсем. по причине отсутствия феррула не сделал одиночныет.е. чтобы сразу обе коронки выпали, а не по отдельности? а почему не сделали удлинение корня? Ссылка на комментарий
Abdul9848 Опубликовано 25 ноября, 2013 Автор Поделиться Опубликовано 25 ноября, 2013 т.е. чтобы сразу обе коронки выпали, а не по отдельности?а почему не сделали удлинение корня?нет, чтоб нагрузка распределилась на 4 зуба, удлинение корня вы имеете ввиду хирургически ? 1 Ссылка на комментарий
Heatshock Опубликовано 25 ноября, 2013 Поделиться Опубликовано 25 ноября, 2013 нет, чтоб нагрузка распределилась на 4 зуба, удлинение корня вы имеете ввиду хирургически ?да Ссылка на комментарий
Abdul9848 Опубликовано 25 ноября, 2013 Автор Поделиться Опубликовано 25 ноября, 2013 даКонечно можно было сделать, если бы тут где я прохожу интернатуру были условия и делал бы кто ни будь такие операции, плюс к этому, пациент финансово не тянул больше расходов, одним словом ограничения со всех сторон. к тому же я интерн. 1 Ссылка на комментарий
Джабраил Опубликовано 25 ноября, 2013 Поделиться Опубликовано 25 ноября, 2013 Нормально , для первого раза ,так даже хорошо , небольшой дисбаланс есть в пропорциях 1-х и 2-х зубов , но это к технику вопрос ... спрашивай) поясни....... Ссылка на комментарий
4ebstom Опубликовано 25 ноября, 2013 Поделиться Опубликовано 25 ноября, 2013 На будущее-старайтесь подходить к лечению комплексно,восстанавливая и боковые сегменты. Ссылка на комментарий
Art 7 Опубликовано 25 ноября, 2013 Поделиться Опубликовано 25 ноября, 2013 Судя по форме зуба 1.2 до этапа протезирования можно говорить о том что форма имеющихся зубов не учитывалась при протезировании, так же можно было бы поработать с формой зуба 2.2 Ссылка на комментарий
ю.юрий Опубликовано 25 ноября, 2013 Поделиться Опубликовано 25 ноября, 2013 спрашивай) поясни.......Я так понимаю - техник ? Да в общем двойки слишком широкие широкие по отношению к первым . Пропорционально они должны укладываться в правила золотого сечения , более подробно загляни в личку , там есть книжка , на 202 странице есть рисунок и сама пропорция фронтальной группы . 1 Ссылка на комментарий
Джабраил Опубликовано 25 ноября, 2013 Поделиться Опубликовано 25 ноября, 2013 Я так понимаю - техник ? Да в общем двойки слишком широкие широкие по отношению к первым . Пропорционально они должны укладываться в правила золотого сечения , более подробно загляни в личку , там есть книжка , на 202 странице есть рисунок и сама пропорция фронтальной группы .да это техник.если так то форма 1.1 и 2.1 могла бы быть шире. вот почему я смоделировал 1.2 и 2.2 чуть шире.Как вы думаете на сколько рублей тянет эта работа(просто интересно) как вы думаете сколько стоит единица керамики для техника. И сколько врачу было бы не жалко дать за одну единицу в этой работе технику? Ссылка на комментарий
Рекомендуемые сообщения
Для публикации сообщений создайте учётную запись или авторизуйтесь
Вы должны быть пользователем, чтобы оставить комментарий
Создать аккаунт
Зарегистрируйте новый аккаунт в нашем сообществе. Это очень просто!
Регистрация нового пользователяВойти
Уже есть аккаунт? Войти в систему.
Войти