Большой Зеленый Опубликовано 23 ноября, 2013 Поделиться Опубликовано 23 ноября, 2013 За качество фоток не пинайте пожалуйста .Сделаны прежним фотоаппартатом все кроме первой .Купил зеркалку ,но пока не нашел где у нее кнопка "шедевр" )) Спасибо Павлу(Маэстро) просвещает меня серого в фотографировании.http://s017.radikal.ru/i401/1504/8c/4dd330654c7e.jpg http://s019.radikal.ru/i628/1504/94/71a6763fde50.jpg http://s019.radikal.ru/i629/1504/10/e162ee52831f.jpg http://s008.radikal.ru/i304/1504/70/fa915322dffa.jpg http://s017.radikal.ru/i437/1504/26/d17c6ca28d0a.jpg http://s018.radikal.ru/i500/1504/1a/a9571c622d4a.jpg http://s020.radikal.ru/i701/1504/04/36cc8cca1670.jpg http://s003.radikal.ru/i202/1504/69/49ae5a8aa44d.jpg 6 Ссылка на комментарий
red_butler Опубликовано 23 ноября, 2013 Поделиться Опубликовано 23 ноября, 2013 (изменено) А почему в пациентском? Это астра? Изменено 23 ноября, 2013 пользователем red_butler 1 1 Ссылка на комментарий
Большой Зеленый Опубликовано 23 ноября, 2013 Автор Поделиться Опубликовано 23 ноября, 2013 А почему в пациентском? Это астра?Перенес. Нет Это Нико Ссылка на комментарий
red_butler Опубликовано 23 ноября, 2013 Поделиться Опубликовано 23 ноября, 2013 Большой Зеленый, а почему так выбраны позиции? Ссылка на комментарий
Большой Зеленый Опубликовано 23 ноября, 2013 Автор Поделиться Опубликовано 23 ноября, 2013 Большой Зеленый, а почему так выбраны позиции? Был печальный опыт установки импланта с упором в верхушку 33 . (здесь на форуме тоже было пара случаев) Теперь такая философия. Ссылка на комментарий
pit Опубликовано 23 ноября, 2013 Поделиться Опубликовано 23 ноября, 2013 Перенес. Нет Это НикоЕще надо макровспышку с зеркалами прикупить, и кнопка " шедевр" начнет находиться.)))) Ссылка на комментарий
Большой Зеленый Опубликовано 23 ноября, 2013 Автор Поделиться Опубликовано 23 ноября, 2013 Еще надо макровспышку с зеркалами прикупить, и кнопка " шедевр" начнет находиться. ))))Уже выписал . Они ко мне идут))) Ссылка на комментарий
komar56 Опубликовано 23 ноября, 2013 Поделиться Опубликовано 23 ноября, 2013 Прям ровненько стоят! Ссылка на комментарий
pit Опубликовано 23 ноября, 2013 Поделиться Опубликовано 23 ноября, 2013 Был печальный опыт установки импланта с упором в верхушку 33 . (здесь на форуме тоже было пара случаев) Теперь такая философия.В области 35, 45 зубов приключений больше. У тебя дистальный наклон имплантов в 4 секторе. Надо себя контролировать и упоров не будет. У меня периодически такие проблемы тоже бывают, причем на ровном месте (((( Ссылка на комментарий
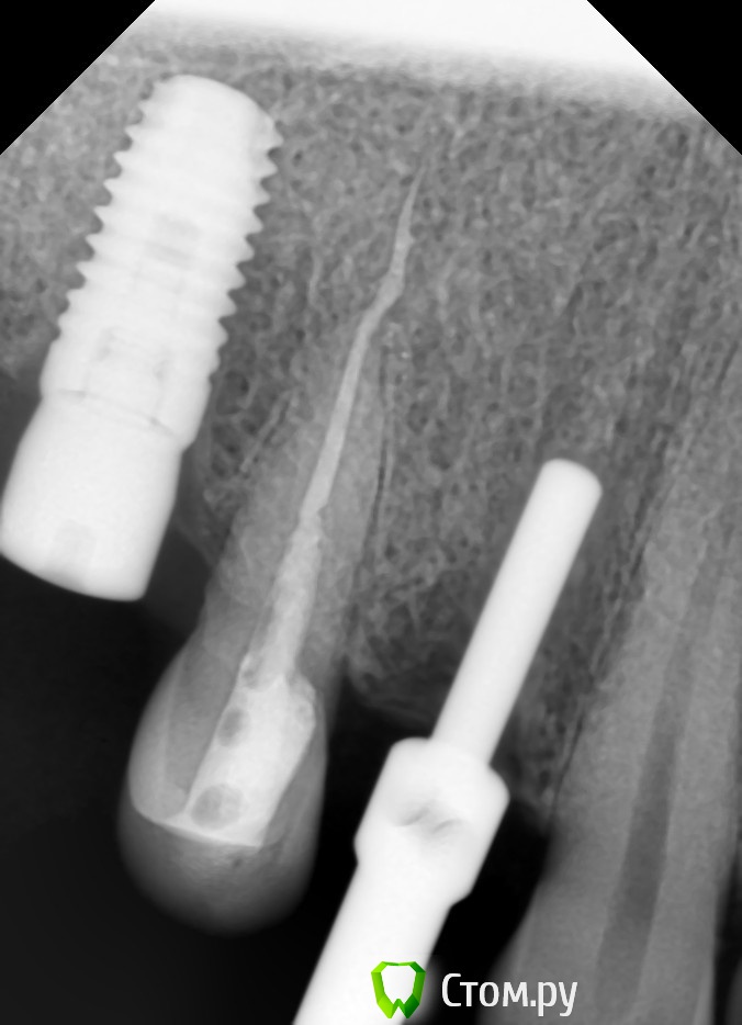
red_butler Опубликовано 23 ноября, 2013 Поделиться Опубликовано 23 ноября, 2013 У нас обязательной частью протокола являются снимки с пинами параллельности, не раз выручали Ссылка на комментарий
pit Опубликовано 23 ноября, 2013 Поделиться Опубликовано 23 ноября, 2013 У нас обязательной частью протокола являются снимки с пинами параллельности, не раз выручалиОПГ или прицельные? Ссылка на комментарий
red_butler Опубликовано 23 ноября, 2013 Поделиться Опубликовано 23 ноября, 2013 ОПГ или прицельные?Чаще прицельные, с пинами ОПГ плохо получается - рот сильно открыт. Выручают нобелевские пины Ссылка на комментарий
Большой Зеленый Опубликовано 23 ноября, 2013 Автор Поделиться Опубликовано 23 ноября, 2013 http://i016.radikal.ru/1504/ae/1eb7db3d9bc5.jpg вроде не критично ) Ссылка на комментарий
pit Опубликовано 23 ноября, 2013 Поделиться Опубликовано 23 ноября, 2013 вроде не критично )Да вообще норм. Но в 3-м секторе дистальный наклон имеется. Ссылка на комментарий
pit Опубликовано 23 ноября, 2013 Поделиться Опубликовано 23 ноября, 2013 Чаще прицельные, с пинами ОПГ плохо получается - рот сильно открыт. Выручают нобелевские пиныИмхо мало полезно. В основном в области включеных одиночных дефектов и дефицита мезио-дистального расстояния. Ссылка на комментарий
pawa Опубликовано 23 ноября, 2013 Поделиться Опубликовано 23 ноября, 2013 46,47 шейки имплантатов не в кости? Ссылка на комментарий
Большой Зеленый Опубликовано 23 ноября, 2013 Автор Поделиться Опубликовано 23 ноября, 2013 46,47 шейки имплантатов не в кости?В кости. Ссылка на комментарий
Sahan Опубликовано 23 ноября, 2013 Поделиться Опубликовано 23 ноября, 2013 В области 35, 45 зубов приключений больше. У тебя дистальный наклон имплантов в 4 секторе. Надо себя контролировать и упоров не будет. У меня периодически такие проблемы тоже бывают, причем на ровном месте ((((Пороблено))) На самом деле причина простая. Пациент открывает рот и поверхность гребень наклонена относительно горизонта. А внутренний гироскоп доктора старается позиционировать импл вертикально, только не относительно гребня а относительно мирового горизонта. Ссылка на комментарий
red_butler Опубликовано 23 ноября, 2013 Поделиться Опубликовано 23 ноября, 2013 Имхо мало полезно. В основном в области включеных одиночных дефектов и дефицита мезио-дистального расстояния.Мне помогают 1 Ссылка на комментарий
Большой Зеленый Опубликовано 23 ноября, 2013 Автор Поделиться Опубликовано 23 ноября, 2013 Мне помогаютНу вот сделали снимок и видите что немного не туда .Как поменять направление если пилотом уже прошли? Зенковочной фрезой ? Ссылка на комментарий
red_butler Опубликовано 23 ноября, 2013 Поделиться Опубликовано 23 ноября, 2013 Ну вот сделали снимок и видите что немного не туда .Как поменять направление если пилотом уже прошли? Зенковочной фрезой ?На этапе пилота менять направление очень просто, можно изменить угол, или чуть в сторону уйти. Особенно удобно корейскими пилотами. Но это конечно от безысходности. Ссылка на комментарий
pit Опубликовано 23 ноября, 2013 Поделиться Опубликовано 23 ноября, 2013 (изменено) Пороблено))) На самом деле причина простая. Пациент открывает рот и поверхность гребень наклонена относительно горизонта. А внутренний гироскоп доктора старается позиционировать импл вертикально, только не относительно гребня а относительно мирового горизонта.Думаешь я этого не знаю Изменено 23 ноября, 2013 пользователем pit Ссылка на комментарий
pit Опубликовано 23 ноября, 2013 Поделиться Опубликовано 23 ноября, 2013 На этапе пилота менять направление очень просто, можно изменить угол, или чуть в сторону уйти. Особенно удобно корейскими пилотами. Но это конечно от безысходности.Еще лучше трехгранной фрезой 3 Ссылка на комментарий
red_butler Опубликовано 23 ноября, 2013 Поделиться Опубликовано 23 ноября, 2013 Думаешь я этого не знаю просто ответил Ссылка на комментарий
Большой Зеленый Опубликовано 23 ноября, 2013 Автор Поделиться Опубликовано 23 ноября, 2013 У нас обязательной частью протокола являются снимки с пинами параллельности, не раз выручалиУ вас рентген здесь же в кабинете, портативный ? Или пациент куда то идет? Ссылка на комментарий
Рекомендуемые сообщения
Для публикации сообщений создайте учётную запись или авторизуйтесь
Вы должны быть пользователем, чтобы оставить комментарий
Создать аккаунт
Зарегистрируйте новый аккаунт в нашем сообществе. Это очень просто!
Регистрация нового пользователяВойти
Уже есть аккаунт? Войти в систему.
Войти