Перейти к содержанию
Стоматология для всех

Консультация по лечению


englishlady

Рекомендуемые сообщения

Уважаемые врачи, здравствуйте.

Я размещаю тему в терапии, но есть вопросы  и по протезированию и по имплантации.

У меня стали ныть зубы вверху и внизу слева. Я получила консультацию по панорамному снимку.

Мне сказали, что:

1) на 27 зубе периодонтит и эндодонтическое лечение неудачно.

2) на 47 зубе плохо прилегает коронка

3) на 43 зубе не совсем удачно вылечен канал

4)  и самое главное, что иу импланта 36 нет остеоинтеграции.Коронки на имплантах стоят на полупостоянном цементе.

Вы согласны со всем вышеизложенным, видите ли Вы какие-либо еще проблемы. Какие у меня есть варианты решения проблем? Заранее спасибо всем кто откликнется.

post-36178-0-19317700-1383656537_thumb.jpg

Ссылка на комментарий
  • 2 недели спустя...

27 зуб вылечен конечно не очень, но пока рано судить жилец он или нет!!!!!вот 43 конечно надо перелечивать!!!!имплант 36 зуба, как то в самом деле в не очень хорошей ситуации!!!! А вот как прилегает коронка 47 и на что фиксированны коронки на имплантах по снимку к сожелению не определить!!!!

Ссылка на комментарий
  • 2 недели спустя...

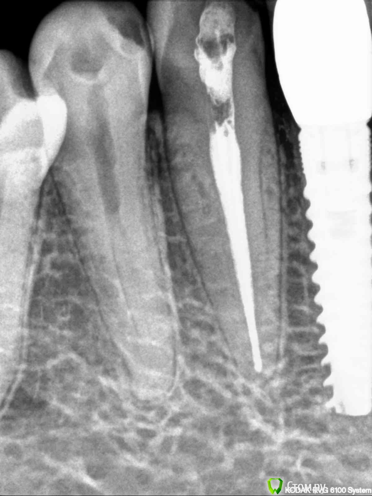
Уважаемые врачи, я сделала прицельные снимки 27 и 43 зубов. Если несложно, оцените пломбировку каналов. Не знаю какие снимки боллее удачные, поэтому разместила по 2 снимка каждого зуба. На 43 зуб надо ставить пломбу или коронки? Мнения в разных клиниках разошлись. Заранее спасибо за ответ.

post-36178-0-32966600-1385561030_thumb.jpg

post-36178-0-95622200-1385561042_thumb.jpg

post-36178-0-56636700-1385561054_thumb.jpg

post-36178-0-84859900-1385561065_thumb.jpg

Ссылка на комментарий

Для публикации сообщений создайте учётную запись или авторизуйтесь

Вы должны быть пользователем, чтобы оставить комментарий

Создать аккаунт

Зарегистрируйте новый аккаунт в нашем сообществе. Это очень просто!

Регистрация нового пользователя

Войти

Уже есть аккаунт? Войти в систему.

Войти
×
×
  • Создать...
Вверх