ввассилюй Опубликовано 31 октября, 2013 Поделиться Опубликовано 31 октября, 2013 Посоветуйте хватит ли пару тройку мембран иметь в запасе Ссылка на комментарий
Bier Опубликовано 31 октября, 2013 Поделиться Опубликовано 31 октября, 2013 смотря какого размера. Где-то, как в кейсе, что я выкладывал, у меня ушло 4 упаковки био-осса, 1 ламина 35*35 и 2 мембраны эволюшен овале (35*25) Ссылка на комментарий
ввассилюй Опубликовано 31 октября, 2013 Поделиться Опубликовано 31 октября, 2013 Спасибо. буду иметь Ссылка на комментарий
Dc.Petrov Опубликовано 1 ноября, 2013 Автор Поделиться Опубликовано 1 ноября, 2013 смотря какого размера. Где-то, как в кейсе, что я выкладывал, у меня ушло 4 упаковки био-осса, 1 ламина 35*35 и 2 мембраны эволюшен овале (35*25)разориться можно Ссылка на комментарий
Bier Опубликовано 2 ноября, 2013 Поделиться Опубликовано 2 ноября, 2013 разориться можноПациенту? да 1 Ссылка на комментарий
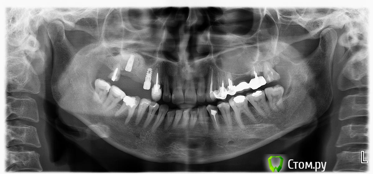
Dc.Petrov Опубликовано 16 апреля, 2014 Автор Поделиться Опубликовано 16 апреля, 2014 спустя полгода все получилось.И все таки зря я не пошел крестально изначально...Сейчас с 2х сторон отслаивался, небную стенку отслоил через гребень Ссылка на комментарий
Рекомендуемые сообщения
Для публикации сообщений создайте учётную запись или авторизуйтесь
Вы должны быть пользователем, чтобы оставить комментарий
Создать аккаунт
Зарегистрируйте новый аккаунт в нашем сообществе. Это очень просто!
Регистрация нового пользователяВойти
Уже есть аккаунт? Войти в систему.
Войти