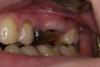
fmn Опубликовано 8 октября, 2013 Поделиться Опубликовано 8 октября, 2013 Здравствуйте, уважаемые коллеги. Перебирая архив, наткнулся на небольшой кейс 2009 года. Надеюсь, он покажется интересным и, возможно, для кого-то полезным.Исходная ситуация Пластика - туннель с ССТ 3 месяца 2 Ссылка на комментарий
doca Опубликовано 8 октября, 2013 Поделиться Опубликовано 8 октября, 2013 вам тут удлинять уже надо,а не рецессии закрывать,ну а тому,кто под ноль зуб спилил-по рукам 1 Ссылка на комментарий
fmn Опубликовано 8 октября, 2013 Автор Поделиться Опубликовано 8 октября, 2013 вам тут удлинять уже надо,а не рецессии закрывать,ну а тому,кто под ноль зуб спилил-по рукамСогласен, мезиально БШ маловато. Ссылка на комментарий
Art 7 Опубликовано 8 октября, 2013 Поделиться Опубликовано 8 октября, 2013 если можно вопросв Вашем кейсе уже стояла коронка по моему, если я правильно вижу, и уступ уже сформирован, теперь уступ глубоко под десной и надо формировать новую границу препарирования, а вестибулярная стенка уже истончена и так, как поступать? и кстати этот вопрос меня так же интересует в ситуациях когда клиновидные дефекты закрываются так же. может у кого есть случаи показать буду благодарен 1 Ссылка на комментарий
fmn Опубликовано 8 октября, 2013 Автор Поделиться Опубликовано 8 октября, 2013 если можно вопросв Вашем кейсе уже стояла коронка по моему, если я правильно вижу, и уступ уже сформирован, теперь уступ глубоко под десной и надо формировать новую границу препарирования, а вестибулярная стенка уже истончена и так, как поступать? и кстати этот вопрос меня так же интересует в ситуациях когда клиновидные дефекты закрываются так же. может у кого есть случаи показать буду благодаренНасколько я помню (т.к. кейс старый и у пациентки я делал реферативно только хирургию) вестибулярно оставалось достаточно, хотя, может быть на фото это и не очень хорошо видно. Плюс, преп был до уровня десны. Ссылка на комментарий
pit Опубликовано 8 октября, 2013 Поделиться Опубликовано 8 октября, 2013 если можно вопрос в Вашем кейсе уже стояла коронка по моему, если я правильно вижу, и уступ уже сформирован, теперь уступ глубоко под десной и надо формировать новую границу препарирования, а вестибулярная стенка уже истончена и так, как поступать? удалять зуб, в большинстве случаев. Если толщина стенок позволяет и есть необходимость, то сшлифовать уступ+ ССТ, формирование нового уступа корональнее. Побробнее у Д. Мелкера. и кстати этот вопрос меня так же интересует в ситуациях когда клиновидные дефекты закрываются так же. может у кого есть случаи показать буду благодарен ССТ+ корональное смещение лоскута( в т.ч. туннельные техники) Ссылка на комментарий
pit Опубликовано 8 октября, 2013 Поделиться Опубликовано 8 октября, 2013 Здравствуйте, уважаемые коллеги. Перебирая архив, наткнулся на небольшой кейс 2009 года. Надеюсь, он покажется интересным и, возможно, для кого-то полезным.Исходная ситуация Пластика - туннель с ССТ 3 месяца Я бы удалил Ссылка на комментарий
Art 7 Опубликовано 8 октября, 2013 Поделиться Опубликовано 8 октября, 2013 удалять зуб, в большинстве случаев. Если толщина стенок позволяет и есть необходимость, то сшлифовать уступ+ ССТ, формирование нового уступа корональнее. Побробнее у Д. Мелкера. ССТ+ корональное смещение лоскута( в т.ч. туннельные техники) речь про контурирование ? если есть ссылки где об этом подробно написано буду благодарен. Ссылка на комментарий
doca Опубликовано 8 октября, 2013 Поделиться Опубликовано 8 октября, 2013 Я бы удалилэто типа ответ на мой пост : тут не удлинять, а удалять надо было Ссылка на комментарий
fmn Опубликовано 8 октября, 2013 Автор Поделиться Опубликовано 8 октября, 2013 Я бы удалилТогда уже и 4й до кучи удалить. Гулять так гулять Ссылка на комментарий
pit Опубликовано 8 октября, 2013 Поделиться Опубликовано 8 октября, 2013 Тогда уже и 4й до кучи удалить. Гулять так гулять Тогда и в 5-ку зря поставили)))) Ссылка на комментарий
Рекомендуемые сообщения
Для публикации сообщений создайте учётную запись или авторизуйтесь
Вы должны быть пользователем, чтобы оставить комментарий
Создать аккаунт
Зарегистрируйте новый аккаунт в нашем сообществе. Это очень просто!
Регистрация нового пользователяВойти
Уже есть аккаунт? Войти в систему.
Войти