IvanK Опубликовано 14 сентября, 2013 Поделиться Опубликовано 14 сентября, 2013 по сравнению с астра(если работали) как вам анкилос ? насколько у них цена разная? Астрой не работал.Нужно помнить, что имплантат ставится для коронки, поэтому выбирает ортопед Ссылка на комментарий
rivezico Опубликовано 14 сентября, 2013 Поделиться Опубликовано 14 сентября, 2013 Астрой не работал.Нужно помнить, что имплантат ставится для коронки, поэтому выбирает ортопед да, но важен и хирургический момент, согласитесь Ссылка на комментарий
Alexey Doc Опубликовано 14 сентября, 2013 Поделиться Опубликовано 14 сентября, 2013 Это из того,кто первый появился курица или яйцо.Как мне известно нет не одной точной диагности,каждая дополняет другуюПоддерживаю!Панорамная рентгенография проводится на первом диагностическом этапе ( касаемо отнюдь не только имплантации ) из за своей доступности и в то же время достаточной информативности! Ну а уже интересующие моменты которые не может передать или передаёт с неточностью панорамный снимок мы уточняем с помощью прицельной ренгенографии ( чаще в терапии, ортопедии ) и КТ ( применимо ко всем областям нашей профессии)!Владимир мне кажется не совсем корректно говорить что панорамный снимок бесполезный, в нем как раз нуждается почти каждый пациент для того чтобы увидеть общую картину происходящего , а вот КТ на мой взгляд поголовно всем делать не нужно! ИМХО 1 Ссылка на комментарий
IvanK Опубликовано 14 сентября, 2013 Поделиться Опубликовано 14 сентября, 2013 да, но важен и хирургический момент, согласитесь Согласен! Ссылка на комментарий
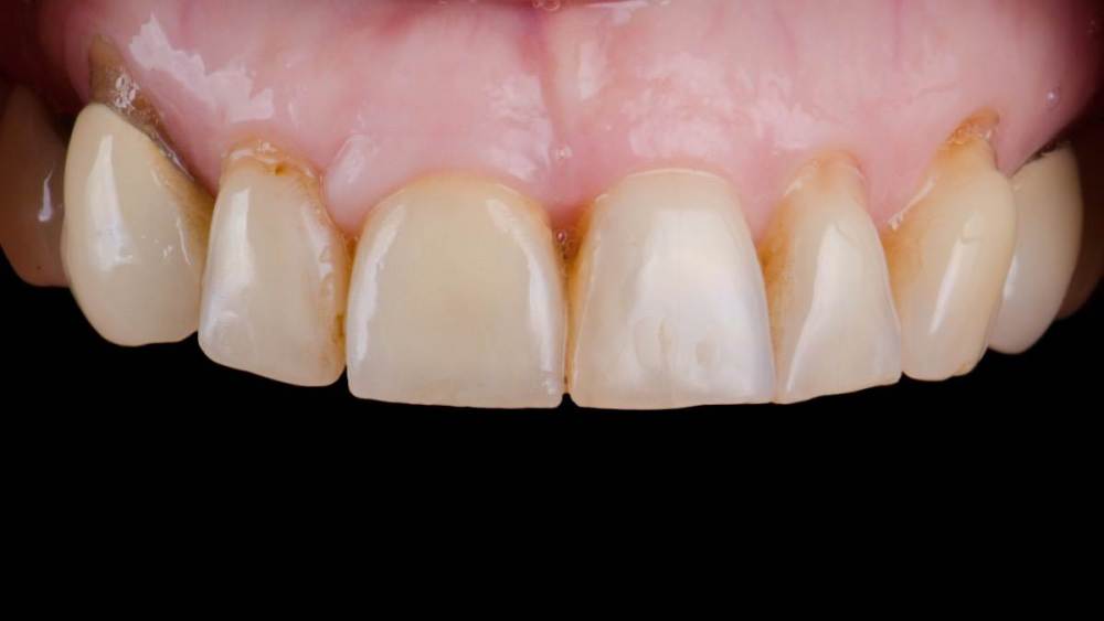
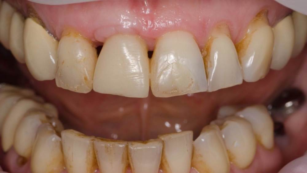
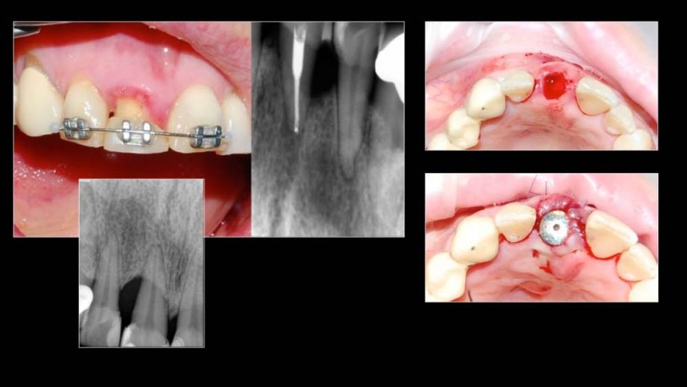
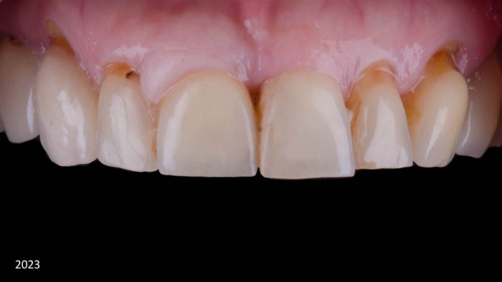
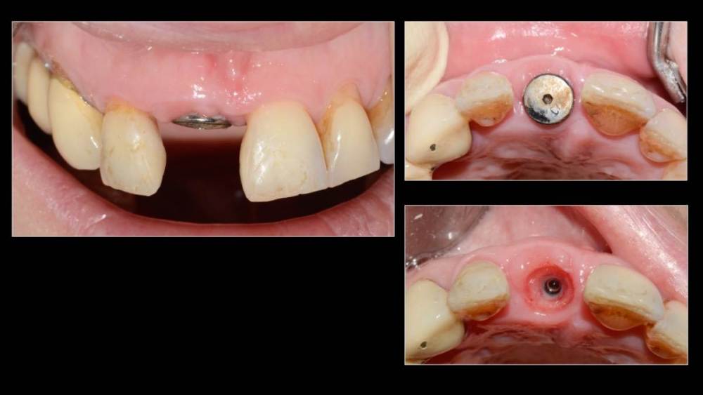
Владмир Опубликовано 20 марта, 2023 Автор Поделиться Опубликовано 20 марта, 2023 Здравствуйте коллеги. Работе 10 лет. Фото начальных этапов добавил 7 1 2 Ссылка на комментарий
Рекомендуемые сообщения
Для публикации сообщений создайте учётную запись или авторизуйтесь
Вы должны быть пользователем, чтобы оставить комментарий
Создать аккаунт
Зарегистрируйте новый аккаунт в нашем сообществе. Это очень просто!
Регистрация нового пользователяВойти
Уже есть аккаунт? Войти в систему.
Войти