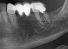
bilal Опубликовано 16 июля, 2013 Поделиться Опубликовано 16 июля, 2013 Пациентка, около 50 лет. Хочет поставить импланты в 3 квадрате. Думаю поставить 2 импланта: в области 3.4 и 3.6, и между ними поставить мост. Снимок до удаления 3.6 и моста. 3.3 - под коронкой сейчас. КТ пока не готов.В области 3.6 объем кости позволяет поставить имплант 5*11,но в зоне 3.4 рассасалась кость по горизонтали, по вертикали - достаточно кости.Срок лечения ограничен в связи с переездом пациента.Помогите пож-та, с выбором сроков проведения аугментации в области 3.4:1- сначала провести аугментацию графтом под мембраной и отсроченно поставить имплант;2- поставить имплант и в ходе операции положить графт под мембрану.Приложил фото со схемой лечения на фото альвеолярного отростка пациента. Ссылка на комментарий
АнтонТЛТ Опубликовано 16 июля, 2013 Поделиться Опубликовано 16 июля, 2013 Простая резорбируемая мембрана с графтом тут не поможет. Либо сеткой, либо ламинаты, либо расщепление, либо метод полужестких каркасов. 3 Ссылка на комментарий
IvanK Опубликовано 16 июля, 2013 Поделиться Опубликовано 16 июля, 2013 Расщепился бы Ссылка на комментарий
Plombir Опубликовано 16 июля, 2013 Поделиться Опубликовано 16 июля, 2013 Отправлено Сегодня, 19:30Расщепился бы Нравится"Дело не в том, выигрываешь ты или проигрываешь..дело в том КАК ты играешь.."ОтветитьЦитатаЖалоба+1. Как давно удалили 3.6? Ссылка на комментарий
bilal Опубликовано 16 июля, 2013 Автор Поделиться Опубликовано 16 июля, 2013 +1. Как давно удалили 3.6?20 дней назад Ссылка на комментарий
Bier Опубликовано 17 июля, 2013 Поделиться Опубликовано 17 июля, 2013 Я бы поставил туда тонкий имплантат (3,5) и мембрану с графтом. Ссылка на комментарий
bullbull Опубликовано 17 июля, 2013 Поделиться Опубликовано 17 июля, 2013 Я бы поставил туда тонкий имплантат (3,5) и мембрану с графтом.3,5 с расщеплением? Ссылка на комментарий
Bier Опубликовано 17 июля, 2013 Поделиться Опубликовано 17 июля, 2013 3,5 с расщеплением?без. Ссылка на комментарий
johniola Опубликовано 17 июля, 2013 Поделиться Опубликовано 17 июля, 2013 Я бы поставил туда тонкий имплантат (3,5) и мембрану с графтом.+1 и без наворотов. Ссылка на комментарий
bilal Опубликовано 17 июля, 2013 Автор Поделиться Опубликовано 17 июля, 2013 Я бы поставил туда тонкий имплантат (3,5) и мембрану с графтом.Подскажите, пожалуйста, начинающему врачу, если поставить имплант 3.5*10 с графтом в области 3.4 и имплант 5*10 в области 3.6 и между ними мост, не будет ли там большая нагрузка на импланты или все-таки лучше диаметр 4 мм в области 3.4? Ссылка на комментарий
johniola Опубликовано 17 июля, 2013 Поделиться Опубликовано 17 июля, 2013 Подскажите, пожалуйста, начинающему врачу, если поставить имплант 3.5*10 с графтом в области 3.4 и имплант 5*10 в области 3.6 и между ними мост, не будет ли там большая нагрузка на импланты или все-таки лучше диаметр 4 мм в области 3.4?Нет не будет.А что вам сдался этот 5.0 ?, когда откроетесь то на месте определитесь с размером,или сделайте кт. 1 Ссылка на комментарий
Bier Опубликовано 17 июля, 2013 Поделиться Опубликовано 17 июля, 2013 Даже мост на двух 3,5 будет стоять. Не гоняйтесь за размерами. 2 Ссылка на комментарий
Dr.Sapronov Опубликовано 17 июля, 2013 Поделиться Опубликовано 17 июля, 2013 Согласен. Либо ращепление.Я бы поставил туда тонкий имплантат (3,5) и мембрану с графтом. +1 и без наворотов. Ссылка на комментарий
Phony_slob Опубликовано 17 июля, 2013 Поделиться Опубликовано 17 июля, 2013 А почему не блок? Ссылка на комментарий
Pavel Y. Опубликовано 17 июля, 2013 Поделиться Опубликовано 17 июля, 2013 (изменено) Я бы поставил туда тонкий имплантат (3,5) и мембрану с графтом.Согласен с Олегом. Только не 10 мм, опасная длина для 3.5. Стремитесь к 13 мм. 3.6 - 4.3 х 13 мм будет совсем хорошо. Изменено 17 июля, 2013 пользователем Pavel Y. Ссылка на комментарий
Pavel Y. Опубликовано 17 июля, 2013 Поделиться Опубликовано 17 июля, 2013 А почему не блок?Вопрос в том, какой методикой владеет автор. Я много подобных операций с мембранной проделал , до того как начал осваивать блоки. Ссылка на комментарий
Bier Опубликовано 18 июля, 2013 Поделиться Опубликовано 18 июля, 2013 Согласен с Олегом. Только не 10 мм, опасная длина для 3.5. Стремитесь к 13 мм. 3.6 - 4.3 х 13 мм будет совсем хорошо. а чем 10 мм плохо? я бы и 3,5*8 поставил, если бы другой не входил, а 13 мм я практически не ставлю на нижнюю челюсть. (только при одномоментных имплантациях) 2 Ссылка на комментарий
Bier Опубликовано 18 июля, 2013 Поделиться Опубликовано 18 июля, 2013 А почему не блок?а зачем там вообще блок? Это будет овертритмент... 2 Ссылка на комментарий
Pavel Y. Опубликовано 18 июля, 2013 Поделиться Опубликовано 18 июля, 2013 а чем 10 мм плохо? я бы и 3,5*8 поставил, если бы другой не входил, а 13 мм я практически не ставлю на нижнюю челюсть. (только при одномоментных имплантациях)Нобель? Ссылка на комментарий
IvanK Опубликовано 18 июля, 2013 Поделиться Опубликовано 18 июля, 2013 Нобель?Переходи с него Ссылка на комментарий
Bier Опубликовано 18 июля, 2013 Поделиться Опубликовано 18 июля, 2013 Нобель?нобель коникал Ссылка на комментарий
Pavel Y. Опубликовано 18 июля, 2013 Поделиться Опубликовано 18 июля, 2013 нобель коникалАх, да! До таких размеров СС я еще точно не дошел , а мой опыт с Селектом менее 13 мм при диаметре 3.5 - не самый лучший мой опыт. За рекомендации с работой СС - спасибо! Ссылка на комментарий
bilal Опубликовано 21 июля, 2013 Автор Поделиться Опубликовано 21 июля, 2013 Если использовать графт с мембраной, через какое время можно нагрузить импланты? Ссылка на комментарий
IvanK Опубликовано 21 июля, 2013 Поделиться Опубликовано 21 июля, 2013 Если использовать графт с мембраной, через какое время можно нагрузить импланты?я жду минимум 4 мес Ссылка на комментарий
Yoda Опубликовано 21 июля, 2013 Поделиться Опубликовано 21 июля, 2013 Я бы поставил туда тонкий имплантат (3,5) и мембрану с графтом.Олег, с каким графтом Вы бы работали?3.5 - это нормальный диаметр импланта. Я считаю за тонкий - около 3.0 Ссылка на комментарий
Рекомендуемые сообщения
Для публикации сообщений создайте учётную запись или авторизуйтесь
Вы должны быть пользователем, чтобы оставить комментарий
Создать аккаунт
Зарегистрируйте новый аккаунт в нашем сообществе. Это очень просто!
Регистрация нового пользователяВойти
Уже есть аккаунт? Войти в систему.
Войти