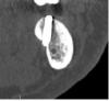
sergio Опубликовано 13 июня, 2013 Поделиться Опубликовано 13 июня, 2013 Вот такое язычное поднутрение в позиции 36, 37 КТ было сделано в прикусе.Высота до антагонистов мала для цементной фиксации, поэтому провел остеопластику фрезой.При засверливании на середине пути пальцем с язычной стороны стал чувствовать фрезу. Сверлил на 10 мм глубиной. Один имплант Альфа Био поставил длиной 8 мм, второго не было, пришлось ставить 10 мм. Вот и думаю теперь, может надо было с язычной отслоить слизистую побольше и мембрану подсунуть или ничего страшного. Язычнее импланты не было возможности заваливать, чтобы ортопед потом не матерился Ссылка на комментарий
sergio Опубликовано 13 июня, 2013 Автор Поделиться Опубликовано 13 июня, 2013 Судя по имеющемуся антагонисту, в этой "впадине" может проходить язычный нерв.А как вы это предположили по антагонисту? Ссылка на комментарий
Sahan Опубликовано 13 июня, 2013 Поделиться Опубликовано 13 июня, 2013 Имплантаты нужно было ставить по шаблону, тогда ничего не перфорировали. Оси имплантатов выходят на функциональные бугры антагонистов и совпадают с осью альвеолярного гребня. Ссылка на комментарий
sergio Опубликовано 13 июня, 2013 Автор Поделиться Опубликовано 13 июня, 2013 Имплантаты нужно было ставить по шаблону, тогда ничего не перфорировали. Оси имплантатов выходят на функциональные бугры антагонистов и совпадают с осью альвеолярного гребня.да сам уже пожалел, но увы... так каков прогноз? Ссылка на комментарий
Sahan Опубликовано 13 июня, 2013 Поделиться Опубликовано 13 июня, 2013 да сам уже пожалел, но увы... так каков прогноз?А что паца беспокоит? Если ничего, то прогноз благоприятный. Ссылка на комментарий
sergio Опубликовано 13 июня, 2013 Автор Поделиться Опубликовано 13 июня, 2013 А что паца беспокоит? Если ничего, то прогноз благоприятный.меня беспокоит!)))операция была утром сегодня, пока пациент не звонил ))) Ссылка на комментарий
carloss Опубликовано 13 июня, 2013 Поделиться Опубликовано 13 июня, 2013 Можно и не по шаблону, если не бояться ортопеда.. это к разговору про универсалов)) По кейсу - думаю всё будет ок Ссылка на комментарий
sergio Опубликовано 13 июня, 2013 Автор Поделиться Опубликовано 13 июня, 2013 Можно и не по шаблону, если не бояться ортопеда.. это к разговору про универсалов)) По кейсу - думаю всё будет окСпасибо, тоже так думаю. просто возникли мысли по тактике в таких случаях Ссылка на комментарий
art.podzhigant Опубликовано 13 июня, 2013 Поделиться Опубликовано 13 июня, 2013 5P RULE ПРАВИЛО 5П proper правильное planning планированиеprevents я это перевел ,получилось... препятствует poor плохимperformance показателям(последствиям) не дословно...но.... 2 Ссылка на комментарий
sergio Опубликовано 13 июня, 2013 Автор Поделиться Опубликовано 13 июня, 2013 5P RULE ПРАВИЛО 5П proper правильное planning планированиеprevents я это перевел ,получилось... препятствует poor плохимperformance показателям(последствиям) не дословно...но.... ship-planning-1web.jpgна снимке закрытый синус?))) 4 Ссылка на комментарий
art.podzhigant Опубликовано 13 июня, 2013 Поделиться Опубликовано 13 июня, 2013 на снимке закрытый синус?)))браво ! )) кораблик вколачивает в синус 1 Ссылка на комментарий
Bier Опубликовано 14 июня, 2013 Поделиться Опубликовано 14 июня, 2013 Вот такое язычное поднутрение в позиции 36, 37 КТ было сделано в прикусе.Высота до антагонистов мала для цементной фиксации, поэтому провел остеопластику фрезой.При засверливании на середине пути пальцем с язычной стороны стал чувствовать фрезу. Сверлил на 10 мм глубиной. Один имплант Альфа Био поставил длиной 8 мм, второго не было, пришлось ставить 10 мм. Вот и думаю теперь, может надо было с язычной отслоить слизистую побольше и мембрану подсунуть или ничего страшного. Язычнее импланты не было возможности заваливать, чтобы ортопед потом не материлсяу меня есть один подобный кейс с перфорацией. Там имплантат как-то очень близко стоит к язычному нерву (уже года 4 или 5 все ок), но когда пациент как-то сильно открывает рот, говорит что-то стреляет в язык Но в целом ничего не мешает Заниматься аугментацией в этой зоне - нигде в литературе не встречал и сам бы не рискнул. 3 Ссылка на комментарий
Dio Опубликовано 23 июня, 2013 Поделиться Опубликовано 23 июня, 2013 (изменено) Создатель топика, как себя чувствует пациент?Что нибудь чувствует при сильном открывании рта )) .... ? с точки зрения логики, проблем не должно быть с самой интеграцией, т.к. по идее в зоне перфорации костной ткани целая надкостница, которая в данном случае является барьером, главное что бы имплантат не был так называемым "экзостозом" для пациента, тогда прогноз менее благоприятный... Изменено 23 июня, 2013 пользователем Dio Ссылка на комментарий
sergio Опубликовано 23 июня, 2013 Автор Поделиться Опубликовано 23 июня, 2013 Все нормально у нее,ничего не беспокоит при снятии швов через неделю. Ссылка на комментарий
Dio Опубликовано 23 июня, 2013 Поделиться Опубликовано 23 июня, 2013 в зоне перфорации косной ткани состояние слизистой оболочки (гиперемия)?Биотип десны по вашему мнению в области перфорации? Ссылка на комментарий
Брат 2 Опубликовано 23 июня, 2013 Поделиться Опубликовано 23 июня, 2013 (изменено) Был идентичный случай в практике при отсутствии 3.6 и 3.7. Во время операции в области 3.7 перфонул кортикалку, там в большинстве случаев поднутрение сильнее выражено. Никаких особенностей течения процесса заживления не заметил. Конструкция работает 1.5 года. Единственным осложнением может быть, как отмечалось ранее, повреждение смежных образовании при слишком глубокой перфорации. Изменено 23 июня, 2013 пользователем Брат 2 Ссылка на комментарий
doktorenok Опубликовано 23 июня, 2013 Поделиться Опубликовано 23 июня, 2013 Вот такое язычное поднутрение в позиции 36, 37 5лет как отпротезировано-полет нормальный Ссылка на комментарий
IvanK Опубликовано 23 июня, 2013 Поделиться Опубликовано 23 июня, 2013 5лет как отпротезировано-полет нормальныйПерфо.JPGТам такая картикалка, что не заметить при сверлении не возможно было.. или это нарочно?Какова длина имплантата? Ссылка на комментарий
doktorenok Опубликовано 23 июня, 2013 Поделиться Опубликовано 23 июня, 2013 Там такая картикалка, что не заметить при сверлении не возможно было.. или это нарочно?Какова длина имплантата? Самая первая работа, длину не помню. Ссылка на комментарий
Рекомендуемые сообщения
Для публикации сообщений создайте учётную запись или авторизуйтесь
Вы должны быть пользователем, чтобы оставить комментарий
Создать аккаунт
Зарегистрируйте новый аккаунт в нашем сообществе. Это очень просто!
Регистрация нового пользователяВойти
Уже есть аккаунт? Войти в систему.
Войти