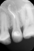
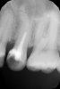
Marina_A Опубликовано 6 июня, 2013 Поделиться Опубликовано 6 июня, 2013 Пациентка пришла с целью санации).Я посмотрела на снимок очередного зуба и ахнула Но все оказалось не так плохо, нам удалось пройти каналы. ну и конечно же, как без паффа? зато какой четкий знак вопроса! 8 Ссылка на комментарий
Kivilgar Опубликовано 6 июня, 2013 Поделиться Опубликовано 6 июня, 2013 Пациентка пришла с целью санации).Я посмотрела на снимок очередного зуба и ахнула 1.PNG Но все оказалось не так плохо, нам удалось пройти каналы.2.PNG ну и конечно же, как без паффа? зато какой четкий знак вопроса! 3.PNGЗдорово получилось. Какими файлами? Ссылка на комментарий
Kolchanov Опубликовано 6 июня, 2013 Поделиться Опубликовано 6 июня, 2013 Круто!Я бы сделал хорошую ступень неодолимую в начале второго поворота. А может и первого Думаю, что спасло этот зуб только то, что первый врач только пульпэкстрактором и каналонаполнителем залезал Ссылка на комментарий
Marina_A Опубликовано 6 июня, 2013 Автор Поделиться Опубликовано 6 июня, 2013 Здорово получилось. Какими файлами?ручными, а затем профайлами и протейперами) Ссылка на комментарий
Kivilgar Опубликовано 6 июня, 2013 Поделиться Опубликовано 6 июня, 2013 ручными, а затем профайлами и протейперами)ручной железный или нити? Ссылка на комментарий
Мартовский Опубликовано 6 июня, 2013 Поделиться Опубликовано 6 июня, 2013 Браво! Ссылка на комментарий
Денис481 Опубликовано 7 июня, 2013 Поделиться Опубликовано 7 июня, 2013 У меня протейперы почему то режут ступени,я как то моляр выкладывал на форуме,тоже кривой,так вот м2 хорошо в такие каналы лезут,правда треск как будто все треснуло и сломалось,и у 15 очень кончики хорошо загибаются,но зато ступеней нет Ссылка на комментарий
Marina_A Опубликовано 7 июня, 2013 Автор Поделиться Опубликовано 7 июня, 2013 ручной железный или нити?Железный) Ссылка на комментарий
Kivilgar Опубликовано 7 июня, 2013 Поделиться Опубликовано 7 июня, 2013 Железный)Удивляюсь как он там не остался. Ссылка на комментарий
Magdalena Опубликовано 7 июня, 2013 Поделиться Опубликовано 7 июня, 2013 Удивляюсь как он там не остался.И не нарезал ступеней)Супер работа. Ссылка на комментарий
Ico Опубликовано 7 июня, 2013 Поделиться Опубликовано 7 июня, 2013 http://www.pixic.ru/i/v0S0L10734L3S876.jpg Тоже был похожий случаи,но мне просто повезло.Паста не слишком твердая,инструмент не слишком заклинин,позитивныи пациент.Немного с проекциеи не угадал. 1 Ссылка на комментарий
Рекомендуемые сообщения
Для публикации сообщений создайте учётную запись или авторизуйтесь
Вы должны быть пользователем, чтобы оставить комментарий
Создать аккаунт
Зарегистрируйте новый аккаунт в нашем сообществе. Это очень просто!
Регистрация нового пользователяВойти
Уже есть аккаунт? Войти в систему.
Войти