johniola Опубликовано 13 июня, 2013 Поделиться Опубликовано 13 июня, 2013 Доктор, спасибо за информацию. Только я своих работ не представлял. У них другой автор (NB) Лично я мало видел работ с локаторами, поэтому и интерес!На какой системе практикуете?пробовал разные,сейчас на mis Ссылка на комментарий
IvanK Опубликовано 13 июня, 2013 Поделиться Опубликовано 13 июня, 2013 johniola У Вас есть фотографии кейсов с локаторами? Поделитесь, если не сложно Ссылка на комментарий
johniola Опубликовано 13 июня, 2013 Поделиться Опубликовано 13 июня, 2013 johniola У Вас есть фотографии кейсов с локаторами? Поделитесь, если не сложно я обязательно посмотрю,где то были. Ссылка на комментарий
IvanK Опубликовано 13 июня, 2013 Поделиться Опубликовано 13 июня, 2013 я обязательно посмотрю,где то были.спасибо Ссылка на комментарий
Heatshock Опубликовано 13 июня, 2013 Поделиться Опубликовано 13 июня, 2013 johniolaПо всем пунктам согласен, но при протезировании на локаторах, тоже важна параллельность имплантов. Стираться локаторы будут медленнее.В принципе, стараюсь делать на балке, так как фиксация надежнее все таки. Хотя я не приверженец конкретно какого-то одного метода. Пока набираюсь опыта=) Ссылка на комментарий
IvanK Опубликовано 13 июня, 2013 Поделиться Опубликовано 13 июня, 2013 johniolaПо всем пунктам согласен, но при протезировании на локаторах, тоже важна параллельность имплантов. Стираться локаторы будут медленнее.В принципе, стараюсь делать на балке, так как фиксация надежнее все таки. Хотя я не приверженец конкретно какого-то одного метода. Пока набираюсь опыта=) по поводу фиксации - синконы на Ankylos(е), вообще не снять)) 2 Ссылка на комментарий
art.podzhigant Опубликовано 13 июня, 2013 Поделиться Опубликовано 13 июня, 2013 по поводу фиксации - синконы на Ankylos(е), вообще не снять ))конус рулез 1 Ссылка на комментарий
IvanK Опубликовано 13 июня, 2013 Поделиться Опубликовано 13 июня, 2013 конус рулез +100500 Ссылка на комментарий
Брат 2 Опубликовано 23 июня, 2013 Поделиться Опубликовано 23 июня, 2013 По моему мнению, в случае если достаточно места, лучше использовать балку на 4 опорах с хорошими промывными. 1 Ссылка на комментарий
SergeyAL Опубликовано 23 июня, 2013 Поделиться Опубликовано 23 июня, 2013 так не проще?это локаторы,не балка. На балке фиксация протеза лучше, и перебазировки приходится делать реже Ссылка на комментарий
SergeyAL Опубликовано 23 июня, 2013 Поделиться Опубликовано 23 июня, 2013 ясно что чем больше опор тем лучше, я про другое.зачем балка при наличии 4 опор?гигиена на порядок лучше на балке, на балке получаем полный комплект зубов, а при все на 4 часто зубной ряд заканчивается премолярами или неполноценными по размеру молярами. по технологии все на 4 работеам с 2010 г (по оригинальной методике). Так же при планировании работы все на 4 надо обращать внимание на массу факторов таких как: возраст пациента, какие антагонисты, есть ли парафункциии т.д., у балок гораздо меньше оговорок. 1 Ссылка на комментарий
Wasja Опубликовано 27 июня, 2013 Поделиться Опубликовано 27 июня, 2013 гигиена на порядок лучше на балке, на балке получаем полный комплект зубов, а при все на 4 часто зубной ряд заканчивается премолярами или неполноценными по размеру молярами. по технологии все на 4 работеам с 2010 г (по оригинальной методике). Так же при планировании работы все на 4 надо обращать внимание на массу факторов таких как: возраст пациента, какие антагонисты, есть ли парафункциии т.д., у балок гораздо меньше оговорок.И еще балки обьединяют имплантаты и перераспределяют нагрузки. Правильно изготовленная телескопическая балка дает очень хорошую стабилизацию протеза. Ссылка на комментарий
johniola Опубликовано 27 июня, 2013 Поделиться Опубликовано 27 июня, 2013 И еще балки обьединяют имплантаты и перераспределяют нагрузки. Правильно изготовленная телескопическая балка дает очень хорошую стабилизацию протеза.да! и ещё грязи собирает много. Ссылка на комментарий
Wasja Опубликовано 28 июня, 2013 Поделиться Опубликовано 28 июня, 2013 да! и ещё грязи собирает много.Тут уже нужно общаться с пациентом. Я при плохой гигиене снимаю работу с гарантии... Ссылка на комментарий
sergio Опубликовано 28 июня, 2013 Поделиться Опубликовано 28 июня, 2013 И как же вы ее снимаете,как пациенту объясняете?согласитесь,что с хорошей гигиеной пациентов гораздо меньше.у вас скандалов не бывает?они же мамой клянуться,что спят с ирригатором,а во рту все в г... Не у всех,конечно,но таких не мало. 3 Ссылка на комментарий
Troy Опубликовано 6 декабря, 2013 Поделиться Опубликовано 6 декабря, 2013 Коллеги подскажите как быть. У пациента в области 13, 12, 22, 23 установлены импланты и фиксированы локаторы системы Iterum. Локаторы изолированны во рту силиконовыми прокладками. При одномоментной вклейке матриц в полости рта на Ufi gel hard (Voco) в съемный протез ВЧ получилась проблемма - протез не снимается уже. Локаторы в области 12, 22 относительно параллельны. конвергенция с локаторами 13, 23 достигает 15 град. Что делать-то? Ссылка на комментарий
kriokov Опубликовано 6 декабря, 2013 Поделиться Опубликовано 6 декабря, 2013 очень давно была такая проблема, но на боллах. Было связано с затеканием плассмассы под изолирующее колльцо. Тупо выпилили и сняли протез. Может, кто чего получше посоветует 2 Ссылка на комментарий
johniola Опубликовано 6 декабря, 2013 Поделиться Опубликовано 6 декабря, 2013 (изменено) Коллеги подскажите как быть. У пациента в области 13, 12, 22, 23 установлены импланты и фиксированы локаторы системы Iterum. Локаторы изолированны во рту силиконовыми прокладками. При одномоментной вклейке матриц в полости рта на Ufi gel hard (Voco) в съемный протез ВЧ получилась проблемма - протез не снимается уже. Локаторы в области 12, 22 относительно параллельны. конвергенция с локаторами 13, 23 достигает 15 град. Что делать-то?скорее всего плохо изолировали,придется выпиливать замки(те что в протезе),после сделайте следущее1- прокладки силикона не ставьте,а вместо них вырежте из целофана но не кольца а формы круга размером с монетку.2- приложите этот целофановый круг к абатменту и защёлкните его замком. так на все четыре3- уложите протез на протезное ложе,придерживая рукой,а другой рукой загоняйте материал в дырки которые высверлили.как заполнятся дырки, дайте больному закрыть рот в прикусе и подождите пока заполимеризуется.4- после этого протез снимется хорошо, и можете полировать. Изменено 6 декабря, 2013 пользователем johniola 3 Ссылка на комментарий
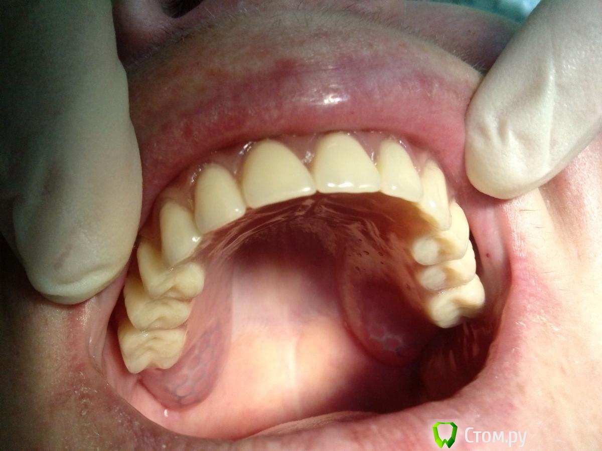
Troy Опубликовано 10 декабря, 2013 Поделиться Опубликовано 10 декабря, 2013 скорее всего плохо изолировали,придется выпиливать замки(те что в протезе),после сделайте следущее1- прокладки силикона не ставьте,а вместо них вырежте из целофана но не кольца а формы круга размером с монетку.2- приложите этот целофановый круг к абатменту и защёлкните его замком. так на все четыре3- уложите протез на протезное ложе,придерживая рукой,а другой рукой загоняйте материал в дырки которые высверлили.как заполнятся дырки, дайте больному закрыть рот в прикусе и подождите пока заполимеризуется.4- после этого протез снимется хорошо, и можете полировать.Спасибо большое. Пока думали что делать пациентка сутки носила протез. На следующий день он без проблем снялся. Вот кейс. Мои импланты и ортопедия. Один на верхней не выжил. Что скажете? Ссылка на комментарий
Sir Edward'S Опубликовано 10 декабря, 2013 Поделиться Опубликовано 10 декабря, 2013 (изменено) можно было изменить место расположение имплантов и сделать подкову смысл теряется в имплантации если все равно съёмный протез на нижней челюсти во фронтальном отделе достаточно 2 имплантов Изменено 10 декабря, 2013 пользователем Sir Edward'S 1 Ссылка на комментарий
IvanK Опубликовано 10 декабря, 2013 Поделиться Опубликовано 10 декабря, 2013 На снимке 5 винтов, а на фото 4е?.. Ссылка на комментарий
Sir Edward'S Опубликовано 10 декабря, 2013 Поделиться Опубликовано 10 декабря, 2013 На снимке 5 винтов, а на фото 4е?..написано 1 не выжил Ссылка на комментарий
IvanK Опубликовано 10 декабря, 2013 Поделиться Опубликовано 10 декабря, 2013 написано 1 не выжилпрошу прощения... видимо спать Ссылка на комментарий
Troy Опубликовано 10 декабря, 2013 Поделиться Опубликовано 10 декабря, 2013 можно было изменить место расположение имплантов и сделать подкову смысл теряется в имплантации если все равно съёмный протез на нижней челюсти во фронтальном отделе достаточно 2 имплантовЗачем жетогда локаторы, балки и кнопки придуманны? Ссылка на комментарий
Sir Edward'S Опубликовано 11 декабря, 2013 Поделиться Опубликовано 11 декабря, 2013 Зачем жетогда локаторы, балки и кнопки придуманны? а какой смысл пациенту при 12 имплантах носить съёмник? 1 Ссылка на комментарий
Рекомендуемые сообщения
Для публикации сообщений создайте учётную запись или авторизуйтесь
Вы должны быть пользователем, чтобы оставить комментарий
Создать аккаунт
Зарегистрируйте новый аккаунт в нашем сообществе. Это очень просто!
Регистрация нового пользователяВойти
Уже есть аккаунт? Войти в систему.
Войти