M@estro Опубликовано 13 мая, 2014 Поделиться Опубликовано 13 мая, 2014 Специально для iБолит http://s018.radikal.ru/i513/1405/93/0f4c0ac8a647.jpg 6 Ссылка на комментарий
MaxDok Опубликовано 13 мая, 2014 Поделиться Опубликовано 13 мая, 2014 Очень красиво ! Паш , задам совсем делетанский вопрос , какими борами тебе удобней обрабатывать под такие "коронколэи" ))? Ссылка на комментарий
M@estro Опубликовано 13 мая, 2014 Поделиться Опубликовано 13 мая, 2014 (изменено) Очень красиво !Паш , задам совсем делетанский вопрос , какими борами тебе удобней обрабатывать под такие "коронколэи" ))? Конус со сферическим концом + усечённый конус,жёлтый . + полировка. Сначал обрабатывал под оверлэй, но просто добавил уступ,уж слишком культя низкая http://i031.radikal.ru/1405/43/43d4ca9e1e39.jpg Только тут рабочая часть 10, у меня 6 и 8 Изменено 13 мая, 2014 пользователем M@estro Ссылка на комментарий
komar56 Опубликовано 13 мая, 2014 Поделиться Опубликовано 13 мая, 2014 Паш. Ну молодцы! Интересный коронколэй И исполнение класс! Ссылка на комментарий
iБолит Опубликовано 13 мая, 2014 Поделиться Опубликовано 13 мая, 2014 Павел если руки дойдут отдайте матрицу на чистку. А то потом как меня будут этим гнобить) Ссылка на комментарий
DmitrySH Опубликовано 13 мая, 2014 Поделиться Опубликовано 13 мая, 2014 Паша, шикарно! Только один вопрос возник. При фиксации ты коффером изолировал только этот зуб. Если контакты плотные с соседями, то можно получить небольшой недосад. Стараюсь так не рисковать, либо расклиниваю. хотя вижу что у тебя все ок. Платок самый тонкий? Ссылка на комментарий
M@estro Опубликовано 13 мая, 2014 Поделиться Опубликовано 13 мая, 2014 Паша, шикарно! Только один вопрос возник. При фиксации ты коффером изолировал только этот зуб. Если контакты плотные с соседями, то можно получить небольшой недосад. Стараюсь так не рисковать, либо расклиниваю. хотя вижу что у тебя все ок. Платок самый тонкий? Спасибо,Дима ; )Да,самый тонкий,в этом смысл. Ну и я прикинул перед посадкой на место,там видно,что сел,даже фотка есть,фит чекер так сказать ) Ссылка на комментарий
Heatshock Опубликовано 14 мая, 2014 Поделиться Опубликовано 14 мая, 2014 Павел если руки дойдут отдайте матрицу на чистку. А то потом как меня будут этим гнобить)даже могу адрес подсказать в Спб, где качественно чистят=) Ссылка на комментарий
Heatshock Опубликовано 14 мая, 2014 Поделиться Опубликовано 14 мая, 2014 Классная работа. Ты нашел нормального техника? =) Ссылка на комментарий
iБолит Опубликовано 14 мая, 2014 Поделиться Опубликовано 14 мая, 2014 Классная работа. Ты нашел нормального техника? =)Кто то кого то увести хочет)) 1 Ссылка на комментарий
Heatshock Опубликовано 14 мая, 2014 Поделиться Опубликовано 14 мая, 2014 Кто то кого то увести хочет))шутку оценил 1 Ссылка на комментарий
M@estro Опубликовано 14 мая, 2014 Поделиться Опубликовано 14 мая, 2014 Классная работа. Спасибо ; ) Ты нашел нормального техника? =) Было непросто Но скоро,думаю,всё окончательно наладится Ссылка на комментарий
Evikrol Опубликовано 14 мая, 2014 Поделиться Опубликовано 14 мая, 2014 Только хотел про масло и пыль на матрице написать... А самому матрицу тоже ведь не сложно почистить. Делал уже не раз, тем более инструментов в кабинете полно. Ссылка на комментарий
Rash163 Опубликовано 15 мая, 2014 Поделиться Опубликовано 15 мая, 2014 Паш, великолепно)) 1 Ссылка на комментарий
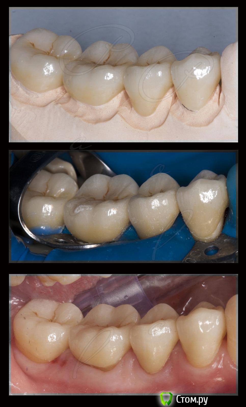
M@estro Опубликовано 17 июня, 2014 Поделиться Опубликовано 17 июня, 2014 (изменено) http://i017.radikal.ru/1406/ba/4b4d32624cce.jpg http://s020.radikal.ru/i715/1406/2c/13037b79cbc1.jpg http://s019.radikal.ru/i608/1406/42/9531a2f4ac7a.jpg http://s018.radikal.ru/i520/1406/1f/9a76c0d6d933.jpg Описать - то забыл Зуб 1.7 ,жалобы на скол. Изменено 17 июня, 2014 пользователем M@estro 12 Ссылка на комментарий
iБолит Опубликовано 17 июня, 2014 Поделиться Опубликовано 17 июня, 2014 Очень симпатично) 1 Ссылка на комментарий
sydnik Опубликовано 17 июня, 2014 Поделиться Опубликовано 17 июня, 2014 шикарно! 1 Ссылка на комментарий
M@estro Опубликовано 17 июня, 2014 Поделиться Опубликовано 17 июня, 2014 Техничка звонит и говорит -"доктор,будет ступенька в области уступа,т.к. нельзя делать имакс тоньше 1 мм " (с) Пришлось вину на себя брать ; ) Специально фоту с эмалью выложил, как думаете,хрупнет? Ваши ставки,господа Ссылка на комментарий
IvanK Опубликовано 17 июня, 2014 Поделиться Опубликовано 17 июня, 2014 Пашка, молодец, спас от имплантата!))) Ссылка на комментарий
M@estro Опубликовано 17 июня, 2014 Поделиться Опубликовано 17 июня, 2014 Пашка, молодец, спас от имплантата!))) Тролль Ссылка на комментарий
Чертков Александр Опубликовано 18 июня, 2014 Поделиться Опубликовано 18 июня, 2014 как думаете,хрупнет? Неа, не хрупнет Ссылка на комментарий
komar56 Опубликовано 18 июня, 2014 Поделиться Опубликовано 18 июня, 2014 Да молодец! Понравилось. Ссылка на комментарий
DmitrySH Опубликовано 18 июня, 2014 Поделиться Опубликовано 18 июня, 2014 Техничка звонит и говорит -"доктор,будет ступенька в области уступа,т.к. нельзя делать имакс тоньше 1 мм " (с) Пришлось вину на себя брать ; ) Тоже периодически звонят на такие темы Это они про оральный или вестибулярный уступ? По жевательной какая толщина? Ссылка на комментарий
M@estro Опубликовано 18 июня, 2014 Поделиться Опубликовано 18 июня, 2014 Тоже периодически звонят на такие темы Это они про оральный или вестибулярный уступ? По жевательной какая толщина? ПО жеватке там 1 - 1.5 . Про вестибулярный уступ Я их не виню, хорошо что позвонили хоть, а не "на готово" сделали . Их понять - то можно, народ что только не делает - и на временный фиксируют имакс, и на фуджик, что при такой толщине критично, конечно. Неа, не хрупнет Можно сказать,что это был риторический вопрос 1 Ссылка на комментарий
M@estro Опубликовано 14 сентября, 2014 Поделиться Опубликовано 14 сентября, 2014 (изменено) Эндо - ортопедический кейс. До вмешательства : http://s020.radikal.ru/i715/1409/ab/12f0b8206958.jpg 44 : http://s019.radikal.ru/i606/1409/ec/a20e5f3456a6.jpg в два этапа,язычный канал был обтурирован во второе посещение. Этот кейс был опубликован в группе "перелечивания и эндо". Латеральная конденсация. 45 : http://i077.radikal.ru/1409/ae/46e0381ae7eb.jpg Была положительная симптоматика ( перкуссия) , после лечения исчезла. "Patency" не получил. 46 : http://s018.radikal.ru/i520/1409/1a/57ad2b5a48aa.jpg тут стандартная "добыча" . 4.7 витальный. Ортопедия : http://s50.radikal.ru/i129/1409/b5/916fdb8a0ede.jpg http://s019.radikal.ru/i642/1409/82/4c4871c06c06.jpg http://s018.radikal.ru/i523/1409/76/4b62878e182a.jpg Такие дела . Изменено 14 сентября, 2014 пользователем M@estro 14 Ссылка на комментарий
Рекомендуемые сообщения
Для публикации сообщений создайте учётную запись или авторизуйтесь
Вы должны быть пользователем, чтобы оставить комментарий
Создать аккаунт
Зарегистрируйте новый аккаунт в нашем сообществе. Это очень просто!
Регистрация нового пользователяВойти
Уже есть аккаунт? Войти в систему.
Войти