SergeyAL Опубликовано 30 мая, 2013 Автор Поделиться Опубликовано 30 мая, 2013 нет, просто думаю как получить хороший результат. Этот пацииент из той категории, когда ошибаться нельзя((( Ссылка на комментарий
SergeyAL Опубликовано 30 мая, 2013 Автор Поделиться Опубликовано 30 мая, 2013 если честно, я думаю попробовать сформировать тоннель, отслоить полнослойный лоскут где получится и положить под него ССТ,рубцы частично резорбируются, а внизу останется соединительная ткань.....может быть 1 Ссылка на комментарий
kriokov Опубликовано 30 мая, 2013 Поделиться Опубликовано 30 мая, 2013 иссекать до какого уровня? если учесть, что местами они спаяны со Шнайдеровой мембраной?да кто бы знал ,к чему эти рубцы еще подпаяны. Идти как Ilgamsa предложил с выделением вестибулярной части , потом ближе к кости, но кость не обнажать, может получиться без дырок в пазуху или сквозь слизистую обойтись. На фото через 4 мес видно, что ширина альвеолярной дуги дальше клыков сильно потеряна. и по кт там мягких тканей под 1см Ссылка на комментарий
SergeyAL Опубликовано 30 мая, 2013 Автор Поделиться Опубликовано 30 мая, 2013 да кто бы знал ,к чему эти рубцы еще подпаяны. Идти как Ilgamsa предложил с выделением вестибулярной части , потом ближе к кости, но кость не обнажать, может получиться без дырок в пазуху или сквозь слизистую обойтись. На фото через 4 мес видно, что ширина альвеолярной дуги дальше клыков сильно потеряна. и по кт там мягких тканей под 1смрубцов под 1см, потом покажу что получилось Ссылка на комментарий
DShu Опубликовано 30 мая, 2013 Поделиться Опубликовано 30 мая, 2013 если честно, я думаю попробовать сформировать тоннель, отслоить полнослойный лоскут где получится и положить под него ССТ,рубцы частично резорбируются, а внизу останется соединительная ткань.....может бытьКаков механизм резорбции рубцов в этом случае? И сколько придется этого ждать, как думаете? Ссылка на комментарий
SergeyAL Опубликовано 30 мая, 2013 Автор Поделиться Опубликовано 30 мая, 2013 Не знаю Ссылка на комментарий
Bier Опубликовано 31 мая, 2013 Поделиться Опубликовано 31 мая, 2013 Сергей, думаю нормальный способ, я бы не делал тоннель, расщепил бы, срезал рубцы, положил на кость ССТ (а лучще деэпителизированный СДТ) и ушил сверху. Ссылка на комментарий
SergeyAL Опубликовано 31 мая, 2013 Автор Поделиться Опубликовано 31 мая, 2013 О'К потом покажу результаты Ссылка на комментарий
kladoffka Опубликовано 17 декабря, 2014 Поделиться Опубликовано 17 декабря, 2014 Есть результаты? Ссылка на комментарий
SergeyAL Опубликовано 11 сентября, 2015 Автор Поделиться Опубликовано 11 сентября, 2015 результат есть, получилось хорошо. уже год с постоянными реставрациями бегает. Постараюсь в ближайшее время выложить 1 Ссылка на комментарий
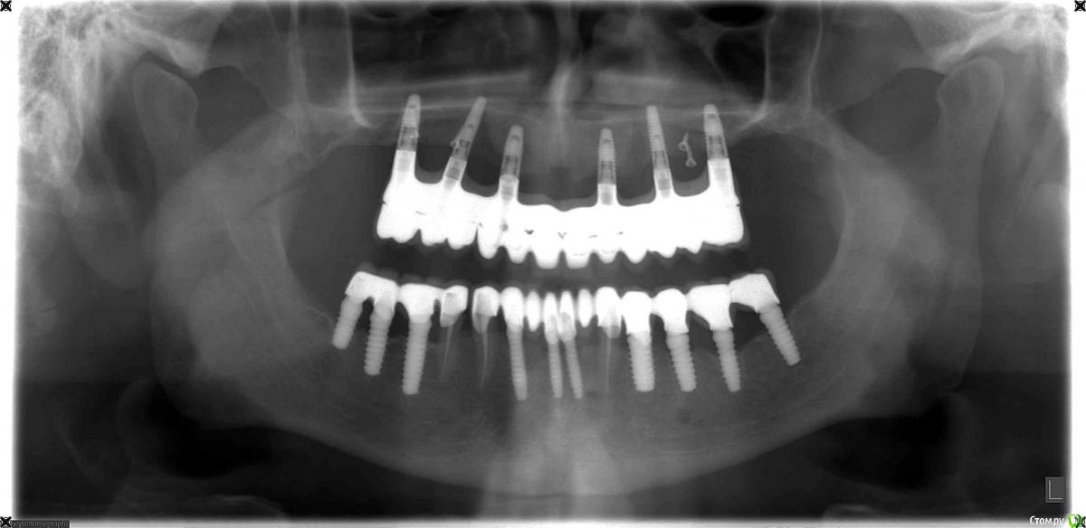
SergeyAL Опубликовано 11 сентября, 2015 Автор Поделиться Опубликовано 11 сентября, 2015 на первом этапе была проведена костная пластика по Кури в 1 и 2 квадрантах + двухсторонний синуслифт, доступ вертикальный тоннель. врменная реставрация на остатках зубов во фронтальном отделе.через 5 месяцев зубы подвели, пришлось проводить удаление зубов, одномоментную имплантацию, установку временных имплантатов во фронтальнос участке и фиксировать временную конструкцию на временных имплантатах.через 4 месяцараскрытие имплантатов с пластикой кератинизированной десны СДТвременное протезирование на постоянных имплантатахчерез 3 месяца постоянное протезирование на имплантатах последний снимок через 8 месяцев после постоянного протезирования. 4 Ссылка на комментарий
doca Опубликовано 11 сентября, 2015 Поделиться Опубликовано 11 сентября, 2015 А что там с костью? http://s017.radikal.ru/i409/1509/5e/e6057dfbde78.jpg 1 Ссылка на комментарий
Bier Опубликовано 11 сентября, 2015 Поделиться Опубликовано 11 сентября, 2015 я так понимаю, что это аугментат Ссылка на комментарий
doca Опубликовано 11 сентября, 2015 Поделиться Опубликовано 11 сентября, 2015 я так понимаю, что это аугментатбольше похоже на резорбцию, особенно ,учитывая,что там как раз был миниимплант Ссылка на комментарий
SergeyAL Опубликовано 11 сентября, 2015 Автор Поделиться Опубликовано 11 сентября, 2015 это область аугментации, отделяемого нет, карман не зондируется. область молодой костной ткани часто выглядит менее рентгеноконтрастной Ссылка на комментарий
Рекомендуемые сообщения
Для публикации сообщений создайте учётную запись или авторизуйтесь
Вы должны быть пользователем, чтобы оставить комментарий
Создать аккаунт
Зарегистрируйте новый аккаунт в нашем сообществе. Это очень просто!
Регистрация нового пользователяВойти
Уже есть аккаунт? Войти в систему.
Войти