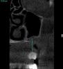
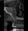
SergeyAL Опубликовано 29 мая, 2013 Поделиться Опубликовано 29 мая, 2013 коллеги столкнулся с такой ситуацией 5 лет назад были установлены поднадкостничные имплантаты имени д-ра Раада пациенту пообещали, что 5 лет они точно прослужат на срезах КТ видно, что прослужили, но в некоторых местах албвеолярного отростка не осталось после их службы)) послу удаления их остались сплошные рубцы, удалять которые смысла не импло, т.к. они были спаяны со Шнайдеровой мембраной или то, что от нее осталось последние фотографии через 4 месяца после их удаления, слизистая представляет собой сплошной рубец. коллеги, поделитесь, какую тактику применяете при выраженных рубцовых деформациях, когда впереди еще костная пластика, имплантация и т.д. Ссылка на комментарий
ILGAMSA Опубликовано 30 мая, 2013 Поделиться Опубликовано 30 мая, 2013 Какое время прошло после удаления имплантатов? Ссылка на комментарий
SergeyAL Опубликовано 30 мая, 2013 Автор Поделиться Опубликовано 30 мая, 2013 5 месяцев Ссылка на комментарий
ILGAMSA Опубликовано 30 мая, 2013 Поделиться Опубликовано 30 мая, 2013 Что смущает?Рубцы как рубцы, смещайте апикально, костная пластика и т. д. Ссылка на комментарий
SergeyAL Опубликовано 30 мая, 2013 Автор Поделиться Опубликовано 30 мая, 2013 Смущает, то что в области рубцов очень плохое кровоснабжение и когда начинаешь формировать тоннель, отмечается резорбция рубцов и экспозиция пластин Ссылка на комментарий
ILGAMSA Опубликовано 30 мая, 2013 Поделиться Опубликовано 30 мая, 2013 Вот я и предлагаю мягкими тканями заняться до костной пластики. Ссылка на комментарий
SergeyAL Опубликовано 30 мая, 2013 Автор Поделиться Опубликовано 30 мая, 2013 Понимаете, чтобы апикально сместить ткани, надо чтобы хотя бы чуть-чуть присутствовал альвеолярный отросток, а тут его нет, не к чему подливать ткани, внутри сплошные рубцы Ссылка на комментарий
ILGAMSA Опубликовано 30 мая, 2013 Поделиться Опубликовано 30 мая, 2013 Понимаю...Проблема...Придется тонко препарировать лоскут высоко-высоко, пересекать рубцовые тяжи и к ним же подшиваться. Ссылка на комментарий
SergeyAL Опубликовано 30 мая, 2013 Автор Поделиться Опубликовано 30 мая, 2013 К сожалению, к рубцам подливаться бесполезно, они очень плохо кровоснабжаются и все отомрет Ссылка на комментарий
ILGAMSA Опубликовано 30 мая, 2013 Поделиться Опубликовано 30 мая, 2013 Даже свободный десневой трансплантат к рубцам приживает, что уж апикально смещенный отомрет? Ссылка на комментарий
SergeyAL Опубликовано 30 мая, 2013 Автор Поделиться Опубликовано 30 мая, 2013 мы о разных вещах говорим, вы говорите о косметике, а я о восстановлении кровоснабжения в тканях чтобы провести тотальную реконструкцию верхней челюсти Ссылка на комментарий
doca Опубликовано 30 мая, 2013 Поделиться Опубликовано 30 мая, 2013 как насчет просто синусов и гибридной подковы? 1 Ссылка на комментарий
SergeyAL Опубликовано 30 мая, 2013 Автор Поделиться Опубликовано 30 мая, 2013 коллега, каких синусов, толщина в области синуса менее 3-х мм, а расстояние от костной ткани до предполагаемой реставрации 10-15мм!!!!! Ссылка на комментарий
doca Опубликовано 30 мая, 2013 Поделиться Опубликовано 30 мая, 2013 коллега, каких синусов, толщина в области синуса менее 3-х мм, а расстояние от костной ткани до предполагаемой реставрации 10-15мм!!!!!под синусами подразумевается синуслифт,под гибридной конструкцией- протез с искуственной десной. и то что десна будет 10-15 мм лично я проблемы не вижу,тем более не во всех участках, соотношение внутри и внекостной части в такой конструкции не будет иметь значения.Не ,конечно, если хочется шашкой помахать... Ссылка на комментарий
SergeyAL Опубликовано 30 мая, 2013 Автор Поделиться Опубликовано 30 мая, 2013 там выраженная редукция тканей по ширине,даже в в области синуса около 3 мм Ссылка на комментарий
doca Опубликовано 30 мая, 2013 Поделиться Опубликовано 30 мая, 2013 там выраженная редукция тканей по ширине,даже в в области синуса около 3 ммпо фото кажется, что не на всем протяжении ,но вы "были " в ране, поэтому вам виднее ,при формировании тоннеля просто с щеки тянуть слизистую нужно будет. Ссылка на комментарий
SergeyAL Опубликовано 30 мая, 2013 Автор Поделиться Опубликовано 30 мая, 2013 там не везде есть костная пластинка, местами рубцы из ротовой полости спаяны со Шнайдеровой мембраной или что там от нее осталось Ссылка на комментарий
doca Опубликовано 30 мая, 2013 Поделиться Опубликовано 30 мая, 2013 ВСЕ на 4-х там не пройдет? или можно еще вариант во фронте 4 импл и балку со съемником.там не везде есть костная пластинка, местами рубцы из ротовой полости спаяны со Шнайдеровой мембраной или что там от нее осталось Ссылка на комментарий
SergeyAL Опубликовано 30 мая, 2013 Автор Поделиться Опубликовано 30 мая, 2013 условие, что не съемник Ссылка на комментарий
SergeyAL Опубликовано 30 мая, 2013 Автор Поделиться Опубликовано 30 мая, 2013 и еще несколько условий : пациент не может ни дня без зубов в зоне улыбки(очень большой чиновник), при том, что съемник не получится, т.к. абсолютно плоское небо и нет вообще преддверия Ссылка на комментарий
doca Опубликовано 30 мая, 2013 Поделиться Опубликовано 30 мая, 2013 и еще несколько условий : пациент не может ни дня без зубов в зоне улыбки(очень большой чиновник), при том, что съемник не получится, т.к. абсолютно плоское небо и нет вообще преддвериятам еще в области дистальных поверхностей клыков нет костных пик, ненавертикалишь,короче, я бы всеже отталкивался от простых вариантов, например синус в сочетании с горизонтальной пластикой. Ссылка на комментарий
SergeyAL Опубликовано 30 мая, 2013 Автор Поделиться Опубликовано 30 мая, 2013 полностью согласен, но для начала надо восстановить нормальное кровоснабжение, иниче ни синуслифт ни горизонтальная пластика состоятельны не будут Ссылка на комментарий
kriokov Опубликовано 30 мая, 2013 Поделиться Опубликовано 30 мая, 2013 полностью согласен, но для начала надо восстановить нормальное кровоснабжение, иниче ни синуслифт ни горизонтальная пластика состоятельны не будуттогда рубцы иссекать придется, и нужна будет какая то компрессия на рану ( чем не знаю) , кости там и так нет , с ней от давления ничего уже не будет. Компрессии не будет, может быть опять исход в рубец. Ссылка на комментарий
doca Опубликовано 30 мая, 2013 Поделиться Опубликовано 30 мая, 2013 полностью согласен, но для начала надо восстановить нормальное кровоснабжение, иниче ни синуслифт ни горизонтальная пластика состоятельны не будутХотите пересадить сосуды? Имхо, именно эти рубцы никак не будут влиять на кровоснабжение, вот на возможность мобилизации лоскута -это да. Ссылка на комментарий
SergeyAL Опубликовано 30 мая, 2013 Автор Поделиться Опубликовано 30 мая, 2013 иссекать до какого уровня? если учесть, что местами они спаяны со Шнайдеровой мембраной? Ссылка на комментарий
Рекомендуемые сообщения
Для публикации сообщений создайте учётную запись или авторизуйтесь
Вы должны быть пользователем, чтобы оставить комментарий
Создать аккаунт
Зарегистрируйте новый аккаунт в нашем сообществе. Это очень просто!
Регистрация нового пользователяВойти
Уже есть аккаунт? Войти в систему.
Войти