Перейти к содержанию
Стоматология для всех

Коллеги, помогите советом пожалуйста.


Скрудж МакДак

Рекомендуемые сообщения

Коллеги, извиняйте. Сам же создал тему, и сам получается забил.... Заработался.... :)

В общем думали, решали..... и решили рискнуть и поставить Преттау

Провели хирургическую коррекцию десневого края 25

Пришлифовал бугры антагонистов.

Сделали врем.коронки по вакс-апу. Получилось не суппер, но по крайней мере лучше чем я ожидал. Размоделировали премоляры...

Как только будут фотки , обязательно скину на обсуждение.

Ссылка на комментарий
  • 1 месяц спустя...

Наконец-то дошли руки выложить окончательный результат.

Пациентка довольна как слон.

Мне не понравилась форма клыка и размер премоляров...

Готов выслушать Ваши замечания и советы на будущее,т.к. это была моя первая работа на Преттау.

п.с. за качество фото сильно не пинайте :)

post-32051-0-84819200-1364129183_thumb.jpg

post-32051-0-37611900-1364129314_thumb.jpg

post-32051-0-75494500-1364129442_thumb.jpg

post-32051-0-94262600-1364129480_thumb.jpg

Ссылка на комментарий

Наконец-то дошли руки выложить окончательный результат.

Пациентка довольна как слон.

Мне не понравилась форма клыка и размер премоляров...

Готов выслушать Ваши замечания и советы на будущее,т.к. это была моя первая работа на Преттау.

п.с. за качество фото сильно не пинайте :)

Вчера обратилась пациентка с аналогичным мостовидным протезом - разодрала себе вклочья десну в участке адентии - постоянно лазит зубочистками - "чистит".

Мостику полгода. Предложено снятие, работа по моделированию тканей в участке адентии (имплант там мезиодистально не встанет)...

и изготовление нового мостовидного протеза.

Изменено пользователем Ст@ся
Ссылка на комментарий

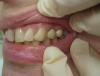
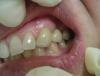
Что бы не открывать новую тему, прошу у вас помощи и советов по другой клинической ситуации:

 

Пациентка 30 лет.

Не устраивает эстетика фронтальных зубов в/ч.

Из анамнеза, 1.2, 1.1, 2.1 на протяжении 8 лет периодически подвергались композитным реставрациям.

2.2 - интактный

В детстве было проведено ортодонтическое лечение с удалением 2.4 (или 2.5 ?)

Консультацию ортодонта о возможности разворота и перемещении 2.2 - категорически отрицает.

 

Задача: создать красоту от 1.2 до 2.2.

Мои мысли и вопросы по этому поводу:

Убираем композитные реставрации 1.2, 1.1, 2.1 и штифты из 1.1, 2.1 , депульпируем 1.2 ,ревизия к/к 1.1.

После этих манипуляций, наверняка от коронковых частей этих зубов мало что останется следовательно чем лучше восстановить?

Пациентка настроена на е.мах или циркон.

Если восстановить вкв из кхс, боюсь что будет просвечивать особенно в придесневой области, если восстановить вкладками из циркона то возникает вопрос- как они себя поведут при таком прикусе, выдержат ли нагрузку?

Техники предложили изготовить вкв из кхс, но коронковую часть вкладки покрыть опаковым слоем. Стоит ли?

Возможно ли изготовить коронки е.мах или циркон при таком прикусе во фронт. отделе? Сколов не будет? Или делать минимальный контакт с антагонистами?

Заранее спасибо за ваши советы!

post-32051-0-62549700-1364132136_thumb.jpg

post-32051-0-47466100-1364132164_thumb.jpg

post-32051-0-48951100-1364132194_thumb.jpg

post-32051-0-10205200-1364132221_thumb.jpg

post-32051-0-85242100-1364132279_thumb.jpg

post-32051-0-62536500-1364132319_thumb.jpg

post-32051-0-43021200-1364132350_thumb.jpg

post-32051-0-13857500-1364132376_thumb.jpg

post-32051-0-94162300-1364132403_thumb.jpg

post-32051-0-82957200-1364132429_thumb.jpg

Ссылка на комментарий

Модели отправил на wax-up, посмотрим, что получится...

эти самые модели надо было в помойку выкинуть,а не на wax-ap.

сплошные оттяжки,ни на одном из зубов не просняты шейки

  • Поддерживаю 1
Ссылка на комментарий

Для публикации сообщений создайте учётную запись или авторизуйтесь

Вы должны быть пользователем, чтобы оставить комментарий

Создать аккаунт

Зарегистрируйте новый аккаунт в нашем сообществе. Это очень просто!

Регистрация нового пользователя

Войти

Уже есть аккаунт? Войти в систему.

Войти
×
×
  • Создать...
Вверх