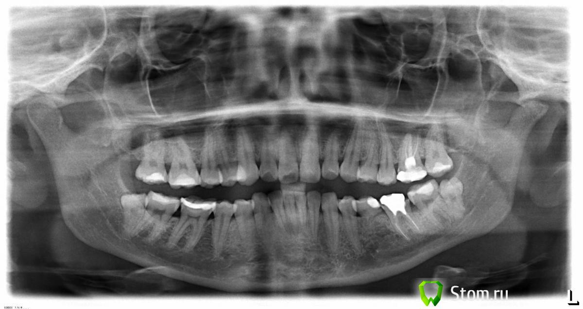
_m@xxi_ Опубликовано 15 апреля, 2012 Поделиться Опубликовано 15 апреля, 2012 здравствуйте, уважаемые участники форума! мне 25.04 предстоит удаление нижних восьмерок по показаниям (для ортодонтического лечения). потом предстоит удаление верхних четверок. до этого мне никогда не приходилось вырывать зубы. поэтому я очень-очень боюсь. попрошу Вашего мнения, насколько серьезна будет данная процедура. Насколько сложно будет удаление данных зубов в моей ситуации.Снимок прилагается.спасибо за ответы Ссылка на комментарий
kriokov Опубликовано 15 апреля, 2012 Поделиться Опубликовано 15 апреля, 2012 с удалением 8 нет больших проблем, с удалением 4 тем более Ссылка на комментарий
_m@xxi_ Опубликовано 15 апреля, 2012 Автор Поделиться Опубликовано 15 апреля, 2012 (изменено) большое спасибо за быстрый ответ. сколько примерно будет длиться процедура удаления 8 и заживление после удаления?нужно ли будет, по Вашему мнению, брать больничный на след. день после удаления? Изменено 15 апреля, 2012 пользователем _m@xxi_ Ссылка на комментарий
kriokov Опубликовано 15 апреля, 2012 Поделиться Опубликовано 15 апреля, 2012 20 минут макс, заживает полностью около 1 месяца, 2-3 дня умереные боли и отек. Б,лист по ситуации, сами решайте, сможете работать или нет, с хирургом поговорите. Ссылка на комментарий
_m@xxi_ Опубликовано 15 апреля, 2012 Автор Поделиться Опубликовано 15 апреля, 2012 большое спасибо Ссылка на комментарий
_m@xxi_ Опубликовано 18 апреля, 2012 Автор Поделиться Опубликовано 18 апреля, 2012 у меня появилось еще пару вопросов - удалять зубы будут под местным наркозом. подруга, которой удаляли зубы мудрости, под местным наркозом, пугает, что несмотря на наркоз боль чувствуется очень сильно.всегда ли это так?возможно ли выписть успокоительного перед вырыванием зубов, а то я очень боюсь ?через сколько после удаления можно будет ставить брекеты?будут ли проблемы, если отложить установку брекетов на пару месяцев? Ссылка на комментарий
kriokov Опубликовано 18 апреля, 2012 Поделиться Опубликовано 18 апреля, 2012 При полноценном местном обезболивании болей во время удаления нет. После удаления боли купируются простыми обезболивающими, который врач порекомендует. Успокаивающее можно, но только с врачом посоветуйтесь, который зубы удалять будет. Про отложить брекеты- с ортодонтом, вы же планировали лечение с ним по срокам. Ссылка на комментарий
Рекомендуемые сообщения
Для публикации сообщений создайте учётную запись или авторизуйтесь
Вы должны быть пользователем, чтобы оставить комментарий
Создать аккаунт
Зарегистрируйте новый аккаунт в нашем сообществе. Это очень просто!
Регистрация нового пользователяВойти
Уже есть аккаунт? Войти в систему.
Войти