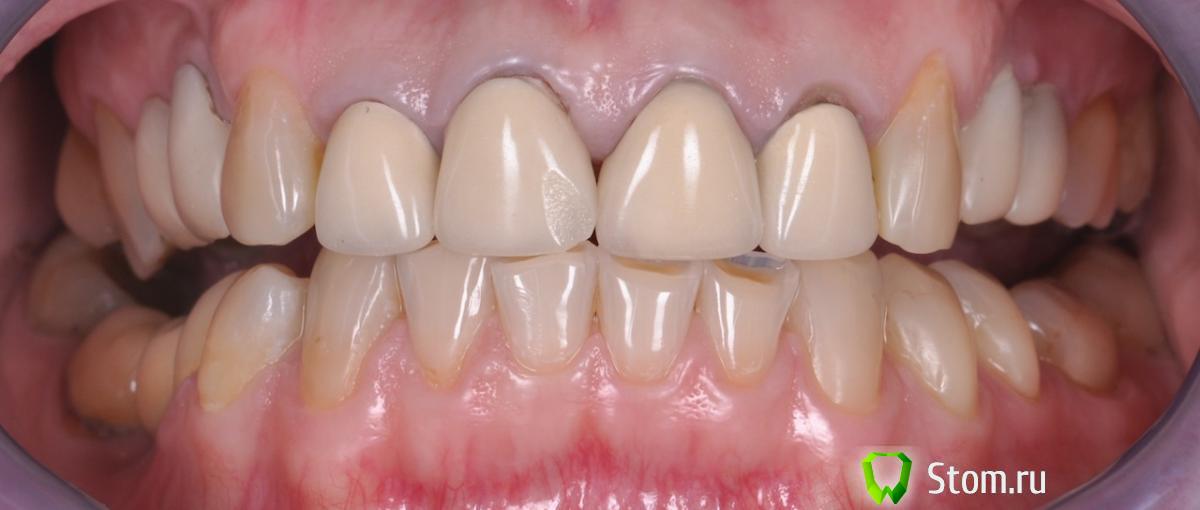
doctore Опубликовано 8 апреля, 2012 Поделиться Опубликовано 8 апреля, 2012 (изменено) последний сет временных реставраций..... Изменено 8 апреля, 2012 пользователем doctore 2 Ссылка на комментарий
Skip Опубликовано 9 апреля, 2012 Поделиться Опубликовано 9 апреля, 2012 Класс! Не боитесь, что пациентка так и уйдёт с этим? Ссылка на комментарий
hogsmeed Опубликовано 9 апреля, 2012 Поделиться Опубликовано 9 апреля, 2012 А что за материал? Ссылка на комментарий
Bobby Опубликовано 9 апреля, 2012 Поделиться Опубликовано 9 апреля, 2012 Класс! Не боитесь, что пациентка так и уйдёт с этим? Ничто так не вселяет уверенности, как стопроцентная предоплата ) 2 Ссылка на комментарий
Bobby Опубликовано 9 апреля, 2012 Поделиться Опубликовано 9 апреля, 2012 Очень аккуртано )Ещё бы с оптрагейтом увидеть фото ) Ссылка на комментарий
Kotyara Опубликовано 9 апреля, 2012 Поделиться Опубликовано 9 апреля, 2012 чего тут больше: времянок или красивой фотографии?!) Ссылка на комментарий
Doc Опубликовано 9 апреля, 2012 Поделиться Опубликовано 9 апреля, 2012 ....и временное должно быть совершенным .... Полностью с Вами согласен! Поддержу примером! Времянки делались на полтора года, но немного опасаюсь, что пациентка на постоянные забьет, ибо у многих постоянные хуже этих временных. Ссылка на комментарий
Doc Опубликовано 9 апреля, 2012 Поделиться Опубликовано 9 апреля, 2012 чего тут больше: времянок или красивой фотографии?!) Мне кажется и то и другое достойным похвалы! Ссылка на комментарий
doctore Опубликовано 9 апреля, 2012 Автор Поделиться Опубликовано 9 апреля, 2012 чего тут больше: времянок или красивой фотографии?!)Вот до чего ж скупыми на доброе слово могут некоторые личности с кошачьими никами )))Тут всего в меру и фотографий и времянок Ссылка на комментарий
doctore Опубликовано 9 апреля, 2012 Автор Поделиться Опубликовано 9 апреля, 2012 А что за материал?Ceramage Ссылка на комментарий
doctore Опубликовано 9 апреля, 2012 Автор Поделиться Опубликовано 9 апреля, 2012 Класс! Не боитесь, что пациентка так и уйдёт с этим?за нее точно не боюсь )) Спасибо ! Ссылка на комментарий
Alex74 Опубликовано 9 апреля, 2012 Поделиться Опубликовано 9 апреля, 2012 Ceramage Какие красотули. Керамаж, это же композит? Ссылка на комментарий
pawa Опубликовано 9 апреля, 2012 Поделиться Опубликовано 9 апреля, 2012 Doctore, а как фиксировали? Ссылка на комментарий
doctore Опубликовано 11 апреля, 2012 Автор Поделиться Опубликовано 11 апреля, 2012 (изменено) Doctore, а как фиксировали?точечно протравка и бонд-рекомендации Маккларена Изменено 11 апреля, 2012 пользователем doctore Ссылка на комментарий
Bobby Опубликовано 11 апреля, 2012 Поделиться Опубликовано 11 апреля, 2012 точечно протравка и бонд-рекомендации Маккларена Владислав, а как долго планируется эксплуатация временных реставраций с фиксацией по Маккларену?Бонд тоже точечно или по всей коронке? Ссылка на комментарий
Ст@ся Опубликовано 11 апреля, 2012 Поделиться Опубликовано 11 апреля, 2012 последний сет временных реставраций.....Офигительно!под микроскопом техник делал? Ссылка на комментарий
Skip Опубликовано 11 апреля, 2012 Поделиться Опубликовано 11 апреля, 2012 за нее точно не боюсь )) Спасибо ! У меня проходила лечение пациентка, давняя моя знакомая. Были зафиксированы временные коронки и разумеется, что выглядели они, по сравнению с Вашими, гораздо скромнее Потом она куда-то исчезла и дала о себе знать спустя 5-6 месяцев, когда в почтовом ящике я обнаружил письмецо от отдела защиты прав потребитилей. Суть претензии состояла в том, что одна из коронок, которые я поставил, начала протираться не прослужив срока гарантии. Предлагалось мирно всё разрулить и вернуть весь аванс за протезирование. И что самое главное(!), коронки позиционировались в претензии, как ПОСТОЯННЫЕ конструкции! Деньги мне пришлось вернуть. Связываться с ней не стал, по некотрым причинам. У меня вопрос. Какова гарантия на такую красоту и подписываете ли Вы какие-либо документы, учитывая временное протезирование? Спасибо! Ссылка на комментарий
Skip Опубликовано 11 апреля, 2012 Поделиться Опубликовано 11 апреля, 2012 Ничто так не вселяет уверенности, как стопроцентная предоплата ) Хорошо. Представим такую ситуацию, как я привёл выше, не дай Вам Бог . У людей сейчас порой сносит крышу и понабрав кредитов они идут на всё. Даже если есть условия одностороннего расторжения договора, то Вы, наверное, оставляете у себя стоимость только временных коронок, зафиксированную в прайсе. А как быть с препарированием и другой трудоёмкой врачебной работой, связанной с подготовкой зубов? Или у Вас каждое движение бором отражено в прайсе? Наверняка многое входит в стоимость уже постоянной реставрации или нет? Посмотрит она в зеркало на такую красоту и решит, что и так уже всё гламурно и лучше буду ездить на кредитном BMW X3...) Ссылка на комментарий
Bobby Опубликовано 12 апреля, 2012 Поделиться Опубликовано 12 апреля, 2012 (изменено) Хорошо. Представим такую ситуацию, как я привёл выше, не дай Вам Бог . У людей сейчас порой сносит крышу и понабрав кредитов они идут на всё. Даже если есть условия одностороннего расторжения договора, то Вы, наверное, оставляете у себя стоимость только временных коронок, зафиксированную в прайсе. А как быть с препарированием и другой трудоёмкой врачебной работой, связанной с подготовкой зубов? Или у Вас каждое движение бором отражено в прайсе? Наверняка многое входит в стоимость уже постоянной реставрации или нет? Посмотрит она в зеркало на такую красоту и решит, что и так уже всё гламурно и лучше буду ездить на кредитном BMW X3...) На соседнем форуме была большая дискуссия на тему как быть в том случае, когда пациенту всё отпрепарировали, а он ушёл с хорошими времяшками. В результата, пришли к выводу, что нужно брать за препарирование зубов. Я по этому пути не пошёл, потому что мой пациент платит не за преп, а за результат лечения. Как Вы правильно отметили, у меня все оттиски, препаровки, цементировки, ретракция, обезболивание и т.п. входят в стоимость реставрации.По договору мы возвращаем аванс в течении 30 рабочих дней, если пациент отказывается дальше протезироваться. Ещё не было ни одного подобного прецедента. Тут нужно всё рассматривать с другой стороны - а смогли ли мы объяснить что делаем пациенту и какой следующий этап лечения?! Все конфликты так или иначе из-за того, что не правильно проведены переговоры. О том, что пациент будет ходить с временными реставрациями, у нас в клинике ему вдалбливается ещё с момента планирования работы. Когда пациенту временные уже зафиксированы, то мы ему обязательно говорим, что постоянные будут во всех смыслах лучше. У меня была мысль немного понизить стоимость постоянных коронок и в несколько раз увеличить стоимость временных, тем самым на круге стоимость лечения не меняется, но зато мы можем болше вычесть из аванса, в случае ухода пациента из клиники и в случае его просьбы вернуть аванс. PS Но Вы поступили правильно, я бы тоже вернул деньги. Возврат денег - отличный инструмент отделаться от человека, который будет только тратить твоё время. Всё равно придут другие и всё компенсируют. Я пару раз возвращал. Главное письменно оформить, что они претензий не имеют. Изменено 12 апреля, 2012 пользователем Bobby Ссылка на комментарий
Skip Опубликовано 12 апреля, 2012 Поделиться Опубликовано 12 апреля, 2012 У меня была мысль немного понизить стоимость постоянных коронок и в несколько раз увеличить стоимость временных, тем самым на круге стоимость лечения не меняется, но зато мы можем болше вычесть из аванса, в случае ухода пациента из клиники и в случае его просьбы вернуть аванс. Может мне одному так везёт, но вот недавно ещё одна пациентка закапризничала, причём у меня случайных с улицы не бывает вообще, поэтому вдалбливать почти не приходится. У неё на работе перетрубация началась и она испугалась, что останется на улице и опять же, вся в кредитах.., еле уговорил не делать глупостей. Вообщем, тут я Вас поддерживаю, что нужно временное повышать или наше препарирование отдельно в прайс вводить. Ссылка на комментарий
doctore Опубликовано 12 апреля, 2012 Автор Поделиться Опубликовано 12 апреля, 2012 Офигительно!под микроскопом техник делал? Конечно . Как написал мне приятель из Брюсселя в ответ на мой смс на FB- "ahaa microscope ! how could it be otherwise ?!" Ссылка на комментарий
doctore Опубликовано 12 апреля, 2012 Автор Поделиться Опубликовано 12 апреля, 2012 Владислав, а как долго планируется эксплуатация временных реставраций с фиксацией по Маккларену?Бонд тоже точечно или по всей коронке?Пару месяцев. По всей коронке. Ссылка на комментарий
Bobby Опубликовано 12 апреля, 2012 Поделиться Опубликовано 12 апреля, 2012 Пару месяцев. По всей коронке. Спасибо ! Ссылка на комментарий
doctore Опубликовано 12 апреля, 2012 Автор Поделиться Опубликовано 12 апреля, 2012 У меня проходила лечение пациентка, давняя моя знакомая. Были зафиксированы временные коронки и разумеется, что выглядели они, по сравнению с Вашими, гораздо скромнее Потом она куда-то исчезла и дала о себе знать спустя 5-6 месяцев, когда в почтовом ящике я обнаружил письмецо от отдела защиты прав потребитилей. Суть претензии состояла в том, что одна из коронок, которые я поставил, начала протираться не прослужив срока гарантии. Предлагалось мирно всё разрулить и вернуть весь аванс за протезирование. И что самое главное(!), коронки позиционировались в претензии, как ПОСТОЯННЫЕ конструкции! Деньги мне пришлось вернуть. Связываться с ней не стал, по некотрым причинам. У меня вопрос. Какова гарантия на такую красоту и подписываете ли Вы какие-либо документы, учитывая временное протезирование? Спасибо!Гарантия 2 месяца,подписывается гарантийный талон,как и на все остальные работы. Ссылка на комментарий
Рекомендуемые сообщения
Для публикации сообщений создайте учётную запись или авторизуйтесь
Вы должны быть пользователем, чтобы оставить комментарий
Создать аккаунт
Зарегистрируйте новый аккаунт в нашем сообществе. Это очень просто!
Регистрация нового пользователяВойти
Уже есть аккаунт? Войти в систему.
Войти