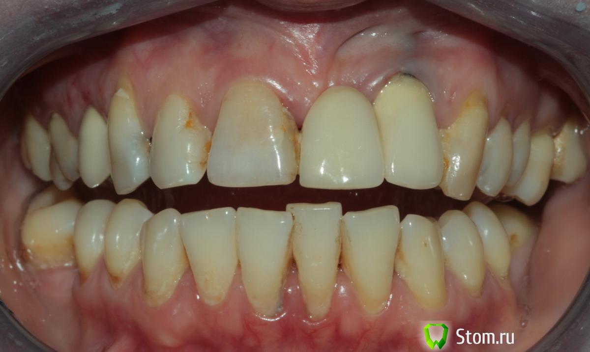
drusmanov Опубликовано 17 марта, 2012 Поделиться Опубликовано 17 марта, 2012 Коллеги, изложу вкратце:пациентка обратилась с просьбой заменить старые пломбы. Я уговорил ее поставить коронки от 13 до 23. Далее мы взяли планку выше и решили откорректировать уздечку, нехватку мягких тканей о области 21 и закрыть резфор корня 22.От 13 до 23 депульпированы. Вопрос,1.каков ваш протокол?2.можно ли сделать это в один прием?3.по вашему сколько времени потребуется? Спасибо! Ссылка на комментарий
pit Опубликовано 17 марта, 2012 Поделиться Опубликовано 17 марта, 2012 Коллеги, изложу вкратце:пациентка обратилась с просьбой заменить старые пломбы. Я уговорил ее поставить коронки от 13 до 23. Далее мы взяли планку выше и решили откорректировать уздечку, нехватку мягких тканей о области 21 и закрыть резфор корня 22.От 13 до 23 депульпированы.Вопрос,1.каков ваш протокол?2.можно ли сделать это в один прием?3.по вашему сколько времени потребуется? Спасибо!Для начала я бы сделал профгигиену и снял бы коронки. Только после этого составил бы предварительный план действий. Ссылка на комментарий
drusmanov Опубликовано 17 марта, 2012 Автор Поделиться Опубликовано 17 марта, 2012 Для начала я бы сделал профгигиену и снял бы коронки. Только после этого составил бы предварительный план действий. ну это мы уже сделали. фото на работе забыл, а эта фотка сделана в самом начале. Ссылка на комментарий
pit Опубликовано 17 марта, 2012 Поделиться Опубликовано 17 марта, 2012 ну это мы уже сделали. фото на работе забыл, а эта фотка сделана в самом начале.Давайте фотки с работы Ссылка на комментарий
kriokov Опубликовано 17 марта, 2012 Поделиться Опубликовано 17 марта, 2012 Давайте фотки с работыи еще бы снимок, особенно 22 Ссылка на комментарий
pit Опубликовано 17 марта, 2012 Поделиться Опубликовано 17 марта, 2012 и еще бы снимок, особенно 22и остальных тоже Ссылка на комментарий
Sahan Опубликовано 17 марта, 2012 Поделиться Опубликовано 17 марта, 2012 С такой гигиеной ничего долгосрочного не добиться. Я бы перед началом серьезной работы понаблюдал бы за выполнением правил гигиены, и только после этого продолжал бы дальнейшее лечение по плану. Ссылка на комментарий
drusmanov Опубликовано 18 марта, 2012 Автор Поделиться Опубликовано 18 марта, 2012 С такой гигиеной ничего долгосрочного не добиться. Я бы перед началом серьезной работы понаблюдал бы за выполнением правил гигиены, и только после этого продолжал бы дальнейшее лечение по плану. По какому плану? Ссылка на комментарий
Рекомендуемые сообщения
Для публикации сообщений создайте учётную запись или авторизуйтесь
Вы должны быть пользователем, чтобы оставить комментарий
Создать аккаунт
Зарегистрируйте новый аккаунт в нашем сообществе. Это очень просто!
Регистрация нового пользователяВойти
Уже есть аккаунт? Войти в систему.
Войти