tann13 Опубликовано 12 марта, 2012 Поделиться Опубликовано 12 марта, 2012 Здравствуте!Помогите определиться, пожалуйста. Думала поставить импланты, но один врач говорит, что лучше продолжать пользоваться съёмными протезами, т.к. нерв близко, а другой советует импланты. Страшно чуть-чуть.Что вы посоветуете? Можете ли порекомендовать врача в Санкт-Петербурге? Буду очень благодарна за ответы. Ссылка на комментарий
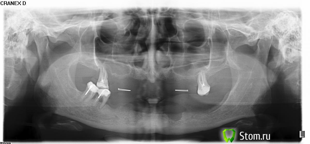
tann13 Опубликовано 13 марта, 2012 Автор Поделиться Опубликовано 13 марта, 2012 Видимо, я плохо объяснила ситуацию, или что-то не так со снимком. Недавно вышел (или выпал?) передний зуб (у меня периодонтит) и протез практически не держится. Нужно что-то решать, склоняюсь к имплантации, но не уверена, что хватает кости- у врачей провоположные мнения. Нужно ли наращивание, или другие дополнительные операции? Ссылка на комментарий
Doc Опубликовано 13 марта, 2012 Поделиться Опубликовано 13 марта, 2012 Я так понял, что речь о нижней челюсти? В таком случае у Вас оптимальный вариант - полный съемный на балке (или замках) на четырех имплантатах. Ничего пересаживать не придется, фиксация насмерть, эстетика идеальная, цена средняя. Ссылка на комментарий
tann13 Опубликовано 13 марта, 2012 Автор Поделиться Опубликовано 13 марта, 2012 Спасибо! Но я думала и о верхней тоже. Скоро и оставшиеся зубы "уйдут". К тому же нужно исправить косметику- протезы стояли идеально, а вот артикуляция не красивая, не моя(( Ссылка на комментарий
Doc Опубликовано 13 марта, 2012 Поделиться Опубликовано 13 марта, 2012 Без осмотра и КТ сложно говорить, но обычно наверху полный съемный протез тоже держится неплохо, а выглядит хорошо. Так что если с деньгами сложно и не хочется влезать в дорогостоящие и сложные операции, то можно ограничиться полным съемным сверху, четырьмя имплантатами снизу и протезом на них. Если с финансами не проблема, хочется идеала и забыть о протезах на всю оставшуюся жизнь, то скорее всего придется пересаживать кость, ставить минимум 14 имплантатов и делать мосты и сверху и снизу. Ссылка на комментарий
Рекомендуемые сообщения
Для публикации сообщений создайте учётную запись или авторизуйтесь
Вы должны быть пользователем, чтобы оставить комментарий
Создать аккаунт
Зарегистрируйте новый аккаунт в нашем сообществе. Это очень просто!
Регистрация нового пользователяВойти
Уже есть аккаунт? Войти в систему.
Войти