kurt Опубликовано 24 февраля, 2012 Поделиться Опубликовано 24 февраля, 2012 (изменено) доброго времени суток! речь пойдет о моем шестом зубе сверху слева. - больше 6 лет назад мне его запломбировали и на протяжении этого срока он с разной периодичностью незначительно побаливал сам собой, невлияя на воздействия еды, воды... но в начале этого года зуб ныть стал значительно, отвлечься не удавалось. обратился к замечательному стоматологу, у которого лечу зубы последнии лет 10, и всегда работой его доволен! когда, кстати лечиил эту 6ку, то в клинике его заменял другой врач, который запломбировал 6ку. доктор сделал снимок (на руках нету, хранится в электронном архиве врача) и решил срезать часть нерва. анастезия, сверление, удаление часть нерва, временная пломба. зуб ныть перестал и все вроде бы хорошо, но день на 5-6 неудачно откусил твердую пищу и почувствовал такое ощущение, что пломба якоба просела внутрь... часть верхней пломбы слетело, конечно. далее следует обращение к врачу, который снимает временную пломбу и сообщает мне, что весь мой зуб поперек пронизывает микротрещина... ставит "мощную" пломбу, пломбируя также зуб с внутренней стороны полости рта. при манипуляциях с бурмашиной никакой боли не ощущал (чистка и бурение было без анастезии). и после уже начались танцы с бубнами... при механическом воздействии еды, холодного - начались боли... выждали с врачом более 3х недель, на механическое воздействие боли уменьшились, но пить холодное вообще не могу - сильная боль. врач после моего очередного посещения выносит вердикт: что т.к. весь зуб поперек пронизывает микротрещина, которая и является проводником холодного до пульпы, что вызывает сильную боль, то при удалении всего нерва - зуб скорее всего весь разрушится и скорее рано, чем поздно... поэтому лучше сразу его удалить с корнем и ставить имплант, что огорчило меня... ведь я шел с настроем, что можно будет корень сохранить и поставить штивт, но доктор аргументировал трещиной и что корень надо тоже удалить. скажу сразу, что врача уважаю и считаю его очень хорошим специалистом, но всегда хочеться услышать еще мнения профильных докторов! здоровье то одно... как и зуб. поэтому прошу Вас высказаться, прокомментировать, дать свою оценку ситуации и ее возможное решениею! заранее выражаю благодарность всем, кто поможет советом! СПАСИБО!!! Изменено 24 февраля, 2012 пользователем kurt 1 Ссылка на комментарий
juli63 Опубликовано 24 февраля, 2012 Поделиться Опубликовано 24 февраля, 2012 без снимка невозможно сказать что либо. Ссылка на комментарий
DmitrySH Опубликовано 24 февраля, 2012 Поделиться Опубликовано 24 февраля, 2012 Да, но и на снимке трещину дна полости зуба мы не увидим. Фото тоже не поможет. А основной вопрос то именно в трещине. Ссылка на комментарий
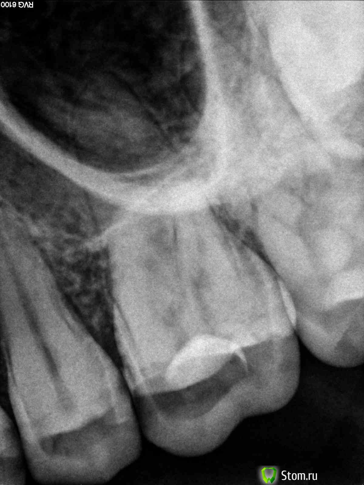
kurt Опубликовано 25 февраля, 2012 Автор Поделиться Опубликовано 25 февраля, 2012 (изменено) ув. juli63, снимки прилагаю ниже: на 1м, как понятно, это до лечения - удаления части нерва, на 2м это уже после установки постоянной пломбы - настоящее состояние зуба. ув. dmitrySH прав, что на снимке, если я не ошибаюсь, то эта поперечная трещина не видна. Изменено 25 февраля, 2012 пользователем kurt Ссылка на комментарий
Stomart Опубликовано 25 февраля, 2012 Поделиться Опубликовано 25 февраля, 2012 Зуб на удаление Ссылка на комментарий
juli63 Опубликовано 26 февраля, 2012 Поделиться Опубликовано 26 февраля, 2012 похоже, что перфорнули дно полости зуба(сделали дырку, где ее быть не должно), а нерв как был в зубе, так и есть. по снимку я за удаление. вас когда лечили-коффердам или раббердам использовали? Ссылка на комментарий
kurt Опубликовано 26 февраля, 2012 Автор Поделиться Опубликовано 26 февраля, 2012 похоже, что перфорнули дно полости зуба(сделали дырку, где ее быть не должно), а нерв как был в зубе, так и есть. по снимку я за удаление. вас когда лечили-коффердам или раббердам использовали? процитирую дословно слова врача - "срезал часть нерва, оставив зуб полуживым" и потом наложил временную пломбу сначало. ув. juli63, посмотрел в интернете, что такое коффердам или раббердам и нет, такая изолирующая система врачом применена не была. вот Вы тоже пишете, что зуб на удаление - удаление с корнем? я не совсем понял, когда врач мне объяснял, почему нельзя оставить корень (возможно потому что минитрещена видна ниже десны), но если трещиной задет только сам зуб, то можно ли удалить сам зуб, залечить корень и поставить коронку на штифт? Ссылка на комментарий
shishok Опубликовано 26 февраля, 2012 Поделиться Опубликовано 26 февраля, 2012 Корни(а их там 3)оставить нельзя-трещина проходит между ними.А по отдельности эти корни в функциональном плане бесполезны. Ссылка на комментарий
kurt Опубликовано 27 февраля, 2012 Автор Поделиться Опубликовано 27 февраля, 2012 (изменено) всем спасибо за мнения, кто прокомментировал! такой еще вопрос нарисовался, если зуб удалять с последующей имплантацие, то удаление и далее имплантацию лучше делать наверное у одного врача, а не так, что удалил один доктор и уже без зуба идти к другому для вживления импланта? Изменено 27 февраля, 2012 пользователем kurt Ссылка на комментарий
ger_berra Опубликовано 27 февраля, 2012 Поделиться Опубликовано 27 февраля, 2012 если зуб удалять с последующей имплантацие, то удаление и далее имплантацию лучше делать наверное у одного врачаСовершенно верно. Ссылка на комментарий
Kivilgar Опубликовано 28 февраля, 2012 Поделиться Опубликовано 28 февраля, 2012 процитирую дословно слова врача - "срезал часть нерва, оставив зуб полуживым" и потом наложил временную пломбу сначало. Никогда практически не пишу и не советую в пациентском, но сейчас не смог удержаться, ибо это вне рамок.Убирание коронковой и устьевой на несколько мм частей пульпы с постановкой временной пломбы возможно как временная мера на как можно короткий срок при недостатке времени и для снятия сильных пульпитных болей, но никак не окончательная процедура в вашем случае. Может я слепой, но по этим снимкам не возмусь утверждать, что там перфа. Вполне допускаю, что врач может ошибаться на счет трещины. Прежде чем пороть горячку с удалением и всем остальным, найдите на форуме знающего доктора из вашего города, покажите ему зуб и выясните что там на самом деле. Ссылка на комментарий
kurt Опубликовано 28 февраля, 2012 Автор Поделиться Опубликовано 28 февраля, 2012 (изменено) Совершенно верно. спасибо! Прежде чем пороть горячку с удалением и всем остальным, найдите на форуме знающего доктора из вашего города, покажите ему зуб и выясните что там на самом деле. большое спасибо, за развернутый комментарий! я сейчас очень взвешенно подхожу к этому вопросу - пробую найти хорошего врача, собираю мнения.пока резюме такое, что доктору нужно будет открытьт пульпарную камеру зуба и осмотреть на наличие трещины или даже лучше сделать рентген.правда, в этом случае я плохо понимаю, как быть если там будет все таки трещина, да и в корневой части зуба тоже, т.е. зуб на удаление, а ведь он уже рассверлен... получается, что надо сразу искать хорошего стоматолога, который и сможет удалить зуб, и качественно имплантацию провести, и чтобы по цене устроило... Изменено 28 февраля, 2012 пользователем kurt Ссылка на комментарий
kurt Опубликовано 14 марта, 2012 Автор Поделиться Опубликовано 14 марта, 2012 сегодня получилось очно пообщаться с врачом и вот какое предположение он высказал, что на 1м снимке до лечение уже видно (выделил красным на снимке), что зуб уже в области дна был заражен кариусом и врач, когда сверлил был вынужден сделать перфорацию, чтобы удалить пораженные ткани... какое Ваше мнение - действительно могло так быть? и врач просто вынужден был сделать перфорацию? и вот еще статья "Закрытие перфораций в области фуркации корней зуба с использованием цемента МТА ", клинический случай №1 (не сочтите за рекламу сайта, т.к. не нашел больше, где она представлена!), где описана процедура по "спасению" зуба с перфорацией дна - можно такую же методику применить и с моим зубом, если его перфорация все же подтвердится? заранее мои благодарности!!! Ссылка на комментарий
samsonov Опубликовано 14 марта, 2012 Поделиться Опубликовано 14 марта, 2012 Эта красная зона не совсем однозначно трактуется как перфорация(простите за повторенье).Условно,перфорации лечатся. Ссылка на комментарий
kurt Опубликовано 14 марта, 2012 Автор Поделиться Опубликовано 14 марта, 2012 Эта красная зона не совсем однозначно трактуется как перфорация(простите за повторенье).Условно,перфорации лечатся. я имел ввиду, что можно предположить или даже утверждать, что область в красной зоне была поражена кариесом? не понял, что значит условно лечится? Ссылка на комментарий
Salma Опубликовано 14 марта, 2012 Поделиться Опубликовано 14 марта, 2012 Судя по более раннему снимку там все таки перфорация.как вам выше написали,зуб с перфорацией можно восстановить,но прогноз зуба не очень благоприятный Ссылка на комментарий
kurt Опубликовано 14 марта, 2012 Автор Поделиться Опубликовано 14 марта, 2012 Судя по более раннему снимку там все таки перфорация спасибо. но сейчас я прежде всего спрашиваю о том, о чем пишу выше: могло быть такое (судя по снимку до лечения), что зуб уже в области дна был заражен кариусом и врач, когда сверлил был вынужден сделать перфорацию, чтобы удалить пораженные ткани ? Ссылка на комментарий
samsonov Опубликовано 14 марта, 2012 Поделиться Опубликовано 14 марта, 2012 спасибо. но сейчас я прежде всего спрашиваю о том, о чем пишу выше: могло быть такое (судя по снимку до лечения), что зуб уже в области дна был заражен кариусом и врач, когда сверлил был вынужден сделать перфорацию, чтобы удалить пораженные ткани ?Часом,не в суд собрались? Ссылка на комментарий
kurt Опубликовано 14 марта, 2012 Автор Поделиться Опубликовано 14 марта, 2012 нет, никакого суда. мне для начало нужно определиться - могу ли я доверять этому врачу дальше или нет Ссылка на комментарий
samsonov Опубликовано 14 марта, 2012 Поделиться Опубликовано 14 марта, 2012 Скажем так,кариозные монстры обычно ползут от жевательной поверхности к корням,а не наоборот.При живой пульпе поражение трифуркации корней маловероятно... Ссылка на комментарий
kurt Опубликовано 16 марта, 2012 Автор Поделиться Опубликовано 16 марта, 2012 спасибо, ув. samsonov. значит врач совершил ошибку, сделав перфорацию, если после вскрытия пульпарной камеры она подтвердится. перфорация условно лечится и после лечения прогноз зуба не очень благоприятный - говорит о том, что выбирать такое лечение не оправданно? Ссылка на комментарий
samsonov Опубликовано 16 марта, 2012 Поделиться Опубликовано 16 марта, 2012 Ошибка,оплошность,преступление- сложно судить,тем более дистанцированно,перфорация считается осложнением лечения,о причинах которого можно сказать очень много разного. Условность лечения зуба с перфорацией заключается в недостаточной предсказуемости результата... Ссылка на комментарий
DmitrySH Опубликовано 17 марта, 2012 Поделиться Опубликовано 17 марта, 2012 спасибо, ув. samsonov. значит врач совершил ошибку, сделав перфорацию, если после вскрытия пульпарной камеры она подтвердится. перфорация условно лечится и после лечения прогноз зуба не очень благоприятный - говорит о том, что выбирать такое лечение не оправданно? Перфорации разные бывают. Очень индивидуально и зависит от размера, от локализации, от состояния тканей вокруг и тп. Рассчитывать перспективность лечения нужно врачу, который этим занимается. Ссылка на комментарий
kurt Опубликовано 17 марта, 2012 Автор Поделиться Опубликовано 17 марта, 2012 спасибо, dmitrySH, и еще раз мои благодарности всем, кто принимал участие! найдите на форуме знающего доктора из вашего города, покажите ему зуб и выясните что там на самом деле. как и писал ув. Kivilga, решил, что как разберусь с насущными делами, а главное найду врача, то покажу ему зуб (открытие пульпарной камеры и оценка состояния зуба, может быть снимок) и ситуация прояснится. по результатам обязательно отпишу тут. Ссылка на комментарий
Salma Опубликовано 17 марта, 2012 Поделиться Опубликовано 17 марта, 2012 Если решите сохранять зуб,закрывать перфорацию надо как можно раньше Ссылка на комментарий
Рекомендуемые сообщения
Для публикации сообщений создайте учётную запись или авторизуйтесь
Вы должны быть пользователем, чтобы оставить комментарий
Создать аккаунт
Зарегистрируйте новый аккаунт в нашем сообществе. Это очень просто!
Регистрация нового пользователяВойти
Уже есть аккаунт? Войти в систему.
Войти