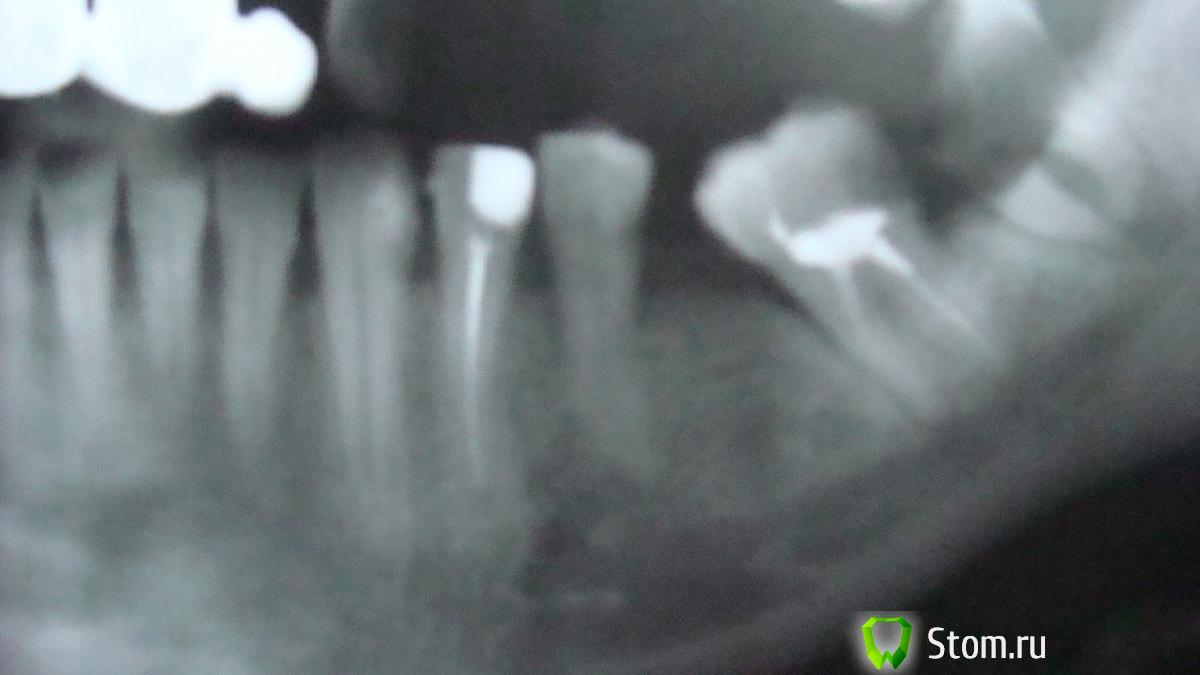
simpsons Опубликовано 15 февраля, 2012 Поделиться Опубликовано 15 февраля, 2012 Пациентка 45 лет! Планируется полная "реконструкция "Пока планируем мосты !удаление 18,27,38! Вопрос1) Можно ли готовить под опору 37(Учитывая его медиальный наклон и периодонтальное разряжение)2)мост 21, 23, 27?????? 3)Подскажите свою тактику протезирования! (учитывая импланты,пациент не слишком платежеспособный) Ссылка на комментарий
Fake personage Опубликовано 15 февраля, 2012 Поделиться Опубликовано 15 февраля, 2012 1.удалять2.съемные протезы и верх и низ. Ссылка на комментарий
simpsons Опубликовано 15 февраля, 2012 Автор Поделиться Опубликовано 15 февраля, 2012 1.удалять2.съемные протезы и верх и низ.А 37 никак нельзя брать под протезирование? Может с опорой под импланты тогда? Ссылка на комментарий
Zubolubka Опубликовано 15 февраля, 2012 Поделиться Опубликовано 15 февраля, 2012 Пациентка 45 лет! Планируется полная "реконструкция "Пока планируем мосты !удаление 18,27,38! Вопрос1) Можно ли готовить под опору 37(Учитывая его медиальный наклон и периодонтальное разряжение)2)мост 21, 23, 27?????? 3)Подскажите свою тактику протезирования! (учитывая импланты,пациент не слишком платежеспособный)Ь если не планируется глобальное пародонтол.лечение,с последующим анализом того,что останется,то из вашего плана можно ВСЕ!!! Ссылка на комментарий
simpsons Опубликовано 15 февраля, 2012 Автор Поделиться Опубликовано 15 февраля, 2012 Ь если не планируется глобальное пародонтол.лечение,с последующим анализом того,что останется,то из вашего плана можно ВСЕ!!!какие из пародонтологических мероприятий можете предложить? Ссылка на комментарий
Zubolubka Опубликовано 15 февраля, 2012 Поделиться Опубликовано 15 февраля, 2012 какие из пародонтологических мероприятий можете предложить? Хотя бы гигиену,закрытую чистку корней,через три месяца оценка глубины карманов,при необходимости открытая чистка корней. Ссылка на комментарий
Stepa Опубликовано 15 февраля, 2012 Поделиться Опубликовано 15 февраля, 2012 Хотя бы гигиену,закрытую чистку корней,через три месяца оценка глубины карманов,при необходимости открытая чистка корней.пациент не платежоспособный! Ссылка на комментарий
simpsons Опубликовано 15 февраля, 2012 Автор Поделиться Опубликовано 15 февраля, 2012 Хотя бы гигиену,закрытую чистку корней,через три месяца оценка глубины карманов,при необходимости открытая чистка корней.Обычная гигиена уже была после снимка! Судьба 37? удалять ?? Меня интерисует его наклон! Ссылка на комментарий
Stepa Опубликовано 15 февраля, 2012 Поделиться Опубликовано 15 февраля, 2012 Обычная гигиена уже была после снимка! Судьба 37? удалять ?? Меня интерисует его наклон!удалять Ссылка на комментарий
Zubolubka Опубликовано 15 февраля, 2012 Поделиться Опубликовано 15 февраля, 2012 Извините,если не заметила гигиену.я хочу помочь не думайте.то что я написала,считается минимум у чел.с пародонт.заболеванием.зубы не выдержат нагрузки.37 после оценки утраты прикрепления ,возм.оставила,на фоне других выглядит ниче. Ссылка на комментарий
simpsons Опубликовано 15 февраля, 2012 Автор Поделиться Опубликовано 15 февраля, 2012 Извините,если не заметила гигиену.я хочу помочь не думайте.то что я написала,считается минимум у чел.с пародонт.заболеванием.зубы не выдержат нагрузки.37 после оценки утраты прикрепления ,возм.оставила,на фоне других выглядит ниче.Спасибо! Мне каждое мнение важно! Нужно максимально хорроший результат! Ссылка на комментарий
Elenushka Опубликовано 15 февраля, 2012 Поделиться Опубликовано 15 февраля, 2012 съемнички верх и низ... Ссылка на комментарий
zubovolok Опубликовано 16 февраля, 2012 Поделиться Опубликовано 16 февраля, 2012 (изменено) Пациентка 45 лет! Планируется полная "реконструкция "Пока планируем мосты !удаление 18,27,38! Вопрос1) Можно ли готовить под опору 37(Учитывая его медиальный наклон и периодонтальное разряжение)2)мост 21, 23, 27?????? 3)Подскажите свою тактику протезирования! (учитывая импланты,пациент не слишком платежеспособный)1.Удалять 18,26,37,38,47.2.Лоскутная операция ,шинирование 8 нижних зубов.3.Ревизия к/к 14,12,23 зубов.4.ВКВ в 14,12,23.5.МК мостовидный протез с 13 по 23.6.Цельнолитые(бюгельные)коронки на 14,44.7.Бюгельные съемные протезы на н/ч и в/ч(в области 23 дентоальвеолярный кламер по Кемени) Изменено 16 февраля, 2012 пользователем zubovolok Ссылка на комментарий
kriokov Опубликовано 16 февраля, 2012 Поделиться Опубликовано 16 февраля, 2012 1.удалять2.съемные протезы и верх и низ.+1 Ссылка на комментарий
simpsons Опубликовано 16 февраля, 2012 Автор Поделиться Опубликовано 16 февраля, 2012 Почему нельзя мосты????? (не учитывая парадонтологию) Ссылка на комментарий
simpsons Опубликовано 16 февраля, 2012 Автор Поделиться Опубликовано 16 февраля, 2012 съемнички верх и низ...У меня даже слов нет! Какие сьемнички????Может Вы имели ввиду временные(На время остеоинтеграции имплантов? Ссылка на комментарий
Elenushka Опубликовано 16 февраля, 2012 Поделиться Опубликовано 16 февраля, 2012 Да нет, по идее вообще можно все- и мосты, и дуги и импланты,смотря что хотим получить в результате. Просто была ключевая фраза- пациент неплатежеспособный. Напишите примерный бюджет, возможно так будет проще. Но по идее хорошие бюгеля-то же не особо дешево. Ссылка на комментарий
anvladd Опубликовано 16 февраля, 2012 Поделиться Опубликовано 16 февраля, 2012 Съемники верх и низ, раз вы написали что неплатежеспособный. Ссылка на комментарий
simpsons Опубликовано 16 февраля, 2012 Автор Поделиться Опубликовано 16 февраля, 2012 Съемники верх и низ, раз вы написали что неплатежеспособный.пациент может себе позволить 2 импланта! Ссылка на комментарий
zubovolok Опубликовано 16 февраля, 2012 Поделиться Опубликовано 16 февраля, 2012 (изменено) пациент может себе позволить 2 импланта!каких ? и где хотите их расположить? Изменено 16 февраля, 2012 пользователем zubovolok Ссылка на комментарий
andr99 Опубликовано 17 февраля, 2012 Поделиться Опубликовано 17 февраля, 2012 пациент может себе позволить 2 импланта!ИМХО, 2 имплантата тут положение не спасут..Бюгеля - если уложитесь в бюджет, ну а если нет - съемники... Ссылка на комментарий
simpsons Опубликовано 17 февраля, 2012 Автор Поделиться Опубликовано 17 февраля, 2012 ПОЧЕМУ НЕЛЬЗЯ МОСТЫ??? Ссылка на комментарий
Elenushka Опубликовано 17 февраля, 2012 Поделиться Опубликовано 17 февраля, 2012 делайте дугу на верх- через год принесет в руках.(гарантию остоит)а вниз тогда 2 импл.Но колхозновато как-то получится. аж неловко предлагать такое. Ссылка на комментарий
Elenushka Опубликовано 17 февраля, 2012 Поделиться Опубликовано 17 февраля, 2012 все- таки на тему съема подумайте... или сделайте частями, сначала одну челюсть, потом подкопит другую... поставьте импланты в нормальном количестве внизу,пока будут интегрироваться, подготовите верх, потом подкопит и допротезируете. Скупой платит трижды. Ссылка на комментарий
simpsons Опубликовано 17 февраля, 2012 Автор Поделиться Опубликовано 17 февраля, 2012 все- таки на тему съема подумайте... или сделайте частями, сначала одну челюсть, потом подкопит другую... поставьте импланты в нормальном количестве внизу,пока будут интегрироваться, подготовите верх, потом подкопит и допротезируете. Скупой платит трижды.спасибо за ответ! но я все же не получил ответ по какой причине нельзя мосты! Ссылка на комментарий
Рекомендуемые сообщения
Для публикации сообщений создайте учётную запись или авторизуйтесь
Вы должны быть пользователем, чтобы оставить комментарий
Создать аккаунт
Зарегистрируйте новый аккаунт в нашем сообществе. Это очень просто!
Регистрация нового пользователяВойти
Уже есть аккаунт? Войти в систему.
Войти