marinchic-tma Опубликовано 28 января, 2012 Поделиться Опубликовано 28 января, 2012 Добрый день! Мне 21 год. У меня такая проблема, два передних зуба искривлены с детства и отличаются по цвету от других. Врач сказал, что выравнивать и лечить их нет смысла.(уж очень давно они такие) Проще и быстрее сделать "восстановление коронки зуба с использованием С-post или анкер плюс". Подскажите, на сколько эффективна данная процедура? Сколько по времени будут держаться данные зубы? Они ведь на первом плане, и я боюсь что по цвету что -то не так будет, стоил ли рисковать так!? Очень хочу красивую улыбку!! Ссылка на комментарий
Doc Опубликовано 28 января, 2012 Поделиться Опубликовано 28 января, 2012 Если есть уже даже изменение в цвете, то, возможно, это будет действительно "проще и быстрее", но далеко не "правильнее и надежнее". В Вашем случае скорее всего лучше сделать безметалловую керамику или коронки на диоксиде циркония. Подробнее можно сказать только после осмотра и изучения ситуации во рту. Ссылка на комментарий
Salma Опубликовано 28 января, 2012 Поделиться Опубликовано 28 января, 2012 сфотографируйте внешний вид зубов и выложите фото Ссылка на комментарий
x3m Опубликовано 28 января, 2012 Поделиться Опубликовано 28 января, 2012 +1фото зубов в прикусе и с максимальной улыбкой Ссылка на комментарий
marinchic-tma Опубликовано 29 января, 2012 Автор Поделиться Опубликовано 29 января, 2012 Вот это моя улыбка( На мой взгляд, случай безнадежный, это мешает и работе и личной жизни. Одна сторона ровная, а вторая искривлена (но это не так огорчает) как другой цвет зубов. Зубы (два первых) - депульпированны. И к какому специалисту лучше обратится (хирургия или что это?) Заранее всем Спасибо! Ссылка на комментарий
x3m Опубликовано 29 января, 2012 Поделиться Опубликовано 29 января, 2012 (изменено) выравнивать, лечить и протезировать.смысл есть.будет красиво и долговечно. найдите хорошего врача Изменено 29 января, 2012 пользователем x3m Ссылка на комментарий
marinchic-tma Опубликовано 29 января, 2012 Автор Поделиться Опубликовано 29 января, 2012 а кроме брекетов есть варианты выравнивать? Ссылка на комментарий
Doc Опубликовано 29 января, 2012 Поделиться Опубликовано 29 января, 2012 выравнивать, лечить и протезировать.смысл есть.будет красиво и долговечно. найдите хорошего врача +1! Ссылка на комментарий
Doc Опубликовано 29 января, 2012 Поделиться Опубликовано 29 января, 2012 а кроме брекетов есть варианты выравнивать? Скорее всего нет.И завязывайте с семечками! Ссылка на комментарий
Salma Опубликовано 30 января, 2012 Поделиться Опубликовано 30 января, 2012 Однозначно на первом месте у вас стоить ортодонтия,то есть исправление прикуса! Только ради Бога, не ставьте пломбы на штифтах на эти зубы! Ссылка на комментарий
marinchic-tma Опубликовано 30 января, 2012 Автор Поделиться Опубликовано 30 января, 2012 про семечки ...хорошо, поняла, учту)) очень не хочу брекеты, есть ли какая-нибудь альтернатива (на заднюю сторону зубов чтобы их совсем не было видно)? И врач мне сказал что брекеты после 14 лет носить бесполезно, через пару лет эффект пропадает, и будут зубы расти как раньше, это правда? Р. S. Всем огромное спасибо за советы!!! Ссылка на комментарий
Salma Опубликовано 30 января, 2012 Поделиться Опубликовано 30 января, 2012 Ну у вас кроме этих двух не ровных зубов и нижние скученны,есто темные коридоры и это только судя по этой фотографии,А скорее всего есть еще проблемы.А брекеты ставят и в более старшем возрасте.Вам же всего 21 год, неужели не хочется красивую ровную белую улыбку?А не только два передних зуба подправить?Сходите хоть на консультации к ортодонту,узнайте о вариантах лечения. Ссылка на комментарий
marinchic-tma Опубликовано 30 января, 2012 Автор Поделиться Опубликовано 30 января, 2012 Я ходила к врачам, узнавала, мне предлагали брекеты, просто остальные зубы меня устраивают, кроми первых двух. Если ставить брекеты, то цвет у тех зубов все ровно не изменится. Конечно хочется красивую улыбку, просто время столько на это тратить не хочется. Если результат останется тем же, что делать с депульпированными зубами, прежними они уже все ровно не будут. Ссылка на комментарий
Doc Опубликовано 30 января, 2012 Поделиться Опубликовано 30 января, 2012 И врач мне сказал что брекеты после 14 лет носить бесполезно, через пару лет эффект пропадает, и будут зубы расти как раньше, это правда? Очень нехорошо так говорить, но сложно удержаться. Это не просто неправда, а полный бред, либо Вы что-то не так поняли. Брекеты можно ставить С 11-12 лет, а не ДО 14 лет. У нас пациенты в 50 лет успешно лечатся. Ссылка на комментарий
Doc Опубликовано 30 января, 2012 Поделиться Опубликовано 30 января, 2012 Я ходила к врачам, узнавала, мне предлагали брекеты, просто остальные зубы меня устраивают, кроми первых двух. Если ставить брекеты, то цвет у тех зубов все ровно не изменится. Конечно хочется красивую улыбку, просто время столько на это тратить не хочется. Если результат останется тем же, что делать с депульпированными зубами, прежними они уже все ровно не будут. А никто не говорил, что или брекеты или коронки! Сначала брекеты, а потом уже коронки. Тогда будет ровный красивый зубной ряд, цвет, фасон, размер и на долгие годы. Ссылка на комментарий
marinchic-tma Опубликовано 30 января, 2012 Автор Поделиться Опубликовано 30 января, 2012 Вы почти меня убедили, осталось найти хорошего врача, и хочу такие брекеты чтобы их видно не было!!! Надеюсь найду, спасибо всем за советы!!! Надеюсь что в скором времени ими воспользуюсь! Ссылка на комментарий
marinchic-tma Опубликовано 29 мая, 2012 Автор Поделиться Опубликовано 29 мая, 2012 прошло почти пол года. С этого времени много изенилось, мне вылечили все зубки, в марте сделали дугу нитиноловую "труфлекс" для верхней челюсти, а сегодня поставили вниз брекеты. Брекеты видно, но годик потерплю с ними, вся челюсть болит сегодня. Решила сюда написать, благодаря Вам я решилась на этот шаг! К концк года напишу как состояние!) Всем БОЛЬШОЕ СПАСИБО!!! Ссылка на комментарий
x3m Опубликовано 31 мая, 2012 Поделиться Опубликовано 31 мая, 2012 чудеса прогресс налицо)) Ссылка на комментарий
marinchic-tma Опубликовано 23 октября, 2013 Автор Поделиться Опубликовано 23 октября, 2013 Добрый вечер!) А мое лечение продолжается, и очень надеюсь, что завершается!) Летом сняли брекеты, потом долго восстанавливалась после них, не могла десна в порядок привезти, да и до сих пор не получилось, на место двух центральных зубов поставили коронки, и была проведена реставрация верхнего зуба (после семечек), на счет нижнего еще не решила реставрировать или не стоит. (его не видно если улыбаешься). И только все нормализовалось, как у меня начал расти зуб мудрости, пока еще не решила удалять его или нет, но он прибавил проблем.Все что было до брекетов начало съезжаться в одну кучу. Пока обхожусь каппой, но это сильно не помогает. Если ношу то зубы ровные, но зуб мудрости болит, а если не ношу они снова приобретают вид "елочки", Даже не знаю что будет если удалить его. Врач рекомендует идти к хирургу. но я пока не решилась на этот шаг. Может посоветуйте что то? Спасибо! Ссылка на комментарий
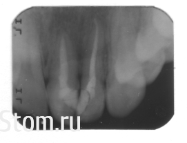
x3m Опубликовано 23 октября, 2013 Поделиться Опубликовано 23 октября, 2013 Удаляйте.Выложите ортопантомограмму.Вам не клеили ретейнеры? Ссылка на комментарий
IvanK Опубликовано 24 октября, 2013 Поделиться Опубликовано 24 октября, 2013 + 1,Ждем панорамный снимок ( оптг) Ссылка на комментарий
marinchic-tma Опубликовано 25 октября, 2013 Автор Поделиться Опубликовано 25 октября, 2013 Выкладываю фото, и снимок. Снимок был сделан ДО брекетов (01.2012 г.) нового снимка пока нет. После брекетов носила на нижнюю челюсть и до сих пор ношу (на ночь) каппу съемную, на верхнюю тоже носила, но с ней я быстро закончила потому что там и так все ровно. (если нужно фото, то могу выложить).Кстати, еще есть один вопрос, может и глупый но все же, как правильно чистить зубы, по вашему мнению, стоматологи говорят по разному, ТВ лучше совсем не слушать, в интернете разная инфа? и что делать с деснами, наношу метрогил, и полоскаю бальзамом 2 раза в день, но они все ровно кровоточат. зубы.pdf Ссылка на комментарий
red_butler Опубликовано 25 октября, 2013 Поделиться Опубликовано 25 октября, 2013 Начинайте с удаления мудрого зуба, в будущем прощайтесь и с остальными восьмерками. Запишитесь к гигиенисту на проф гигиену, он и урок гигиены проведет и при необходимости контроль качества индивидуальной чистки зубов Ссылка на комментарий
IvanK Опубликовано 26 октября, 2013 Поделиться Опубликовано 26 октября, 2013 Выложите снимок через радикал, ссылка № 2 Нужен новый панорамный снимок. + 1 к гигиенисту Ссылка на комментарий
Рекомендуемые сообщения
Для публикации сообщений создайте учётную запись или авторизуйтесь
Вы должны быть пользователем, чтобы оставить комментарий
Создать аккаунт
Зарегистрируйте новый аккаунт в нашем сообществе. Это очень просто!
Регистрация нового пользователяВойти
Уже есть аккаунт? Войти в систему.
Войти