Skip Опубликовано 22 ноября, 2011 Поделиться Опубликовано 22 ноября, 2011 А удаление 4-ок, это примерно, как удариться мордой передней частью автомобиля в чей то зад и согнуть лонжероны. Ссылка на комментарий
Oleg-Gru Опубликовано 23 ноября, 2011 Автор Поделиться Опубликовано 23 ноября, 2011 Сегодня был на консультации у ортодонта. Доктор сказал, что все в пределах нормы. Беспокоиться не о чем. Вот так-то. Ссылка на комментарий
Aldo Rain Опубликовано 23 ноября, 2011 Поделиться Опубликовано 23 ноября, 2011 Сегодня был на консультации у ортодонта. Доктор сказал, что все в пределах нормы. Беспокоиться не о чем. Вот так-то. no comments Ссылка на комментарий
kirovsasa Опубликовано 23 ноября, 2011 Поделиться Опубликовано 23 ноября, 2011 Сегодня был на консультации у ортодонта. Доктор сказал, что все в пределах нормы. Беспокоиться не о чем. Вот так-то. Что и как обследовал доктор? Ссылка на комментарий
Oleg-Gru Опубликовано 23 ноября, 2011 Автор Поделиться Опубликовано 23 ноября, 2011 (изменено) Что и как обследовал доктор? только визуальный осмотр.причем, открою тайну, это уже второй доктор, за последние 10 дней.оба посоветовали приобрести ночную каппу от бруксизма. Изменено 23 ноября, 2011 пользователем Oleg-Gru Ссылка на комментарий
kirovsasa Опубликовано 23 ноября, 2011 Поделиться Опубликовано 23 ноября, 2011 Про шум в ушах что доктор сказал? Ссылка на комментарий
Oleg-Gru Опубликовано 24 ноября, 2011 Автор Поделиться Опубликовано 24 ноября, 2011 (изменено) про шум я его не спрашивал. больше интересовала проблема удаленных четверок, про отсутствие которых никогда, ни один доктор, ничего плохого мне не говорил. С ушами моя история непростая, вот приблизительное развитие событий, : Увлекаюсь подводным видом спорта. В результате на фоне переохлаждений постоянные микротравмы барабанных перепонок и почти непрекращающиеся отиты. Нырял – получал отит – лечился – опять нырял – опять получал отит – опять лечился - итд…В итоге эта напасть у меня уже хроническая. В машине с открытыми окнами ездить не могу. Сразу получаю ощущение сужения слухового прохода, как признак начала наружного отита. Через несколько лет в районе ВНЧС появилось ощущение дискомфорта, как бы распирания изнутри, которое присутствует теперь со мной практически постоянно. На лице, в районе ушей произошли деформации, как буд-то кость впереди ушей раздалась вширь. Вместе с дискомфортом появился высокий шум в ушах, который прогрессирует с течением времени. Два года назад на спец. аппаратуре измерял сух. На левое ухо была потеря -5 дБ. Сейчас субъективно в левом ухе шум усилился, а так же начал проявляться и в правом ухе. Причем, сам ушной нерв в порядке. ЛОР ничего внятного сказать не может, предлагает лечение пилюлями, которые, похоже, никому еще не помогли. Шумы в ушах обсуждал с предыдущим ортодонтом. Я и сейчас с ним контактирую. По его мнению проблема сочетанная ЛОР + стоматология. Сказал, что в любом случае от каппы должно быть лучше. Я мог бы еще поехать на консультацию к любому доктору практикующему в пределах краснодарского края. Вот только к кому? Может кто-то посоветовать? Изменено 24 ноября, 2011 пользователем Oleg-Gru Ссылка на комментарий
annda Опубликовано 24 ноября, 2011 Поделиться Опубликовано 24 ноября, 2011 (изменено) Вы-то как раз тайны не открыли.Я вам тайну открою.Вы можете ещё у 22 докторов побывать и за пределами даже Краснодарского края и не встретить врача,думающего в нужном направлении.Вот так-то. Изменено 24 ноября, 2011 пользователем annda Ссылка на комментарий
Oleg-Gru Опубликовано 24 ноября, 2011 Автор Поделиться Опубликовано 24 ноября, 2011 (изменено) Вы-то как раз тайны не открыли.Я вам тайну открою.Вы можете ещё у 22 докторов побывать и за пределами даже Краснодарского края и не встретить врача,думающего в нужном направлении.Вот так-то. Вы меня извините, но ваши "нужные направления" в медицине меняются на противоположные каждые пять лет.30 лет назад ребенка никто не спрашивал. Повели к доктору и вырвали четверки. А теперь что прикажете, обратно их вставить?Я не против иронии, сам люблю пошутить. Но в данном случае прошу конкретных советов. Вы сказали - иди к доктору.Я сходил, а дальше что? Изменено 24 ноября, 2011 пользователем Oleg-Gru Ссылка на комментарий
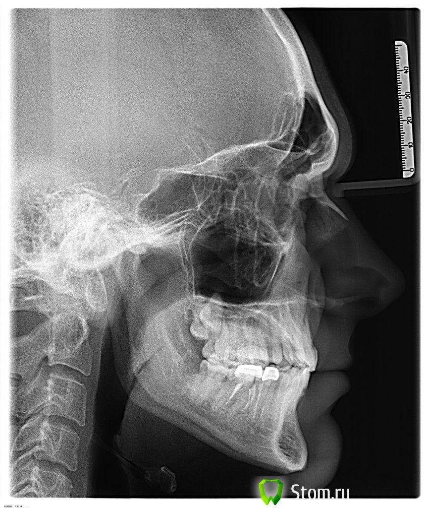
Oleg-Gru Опубликовано 24 ноября, 2011 Автор Поделиться Опубликовано 24 ноября, 2011 (изменено) дальше, сделал телерентгенограмму. что скажете, уважаемые специалисты? пациент совсем плох? Изменено 24 ноября, 2011 пользователем Oleg-Gru Ссылка на комментарий
Aldo Rain Опубликовано 24 ноября, 2011 Поделиться Опубликовано 24 ноября, 2011 http://s004.radikal.ru/i206/1111/09/3ff7a7cf45e8.jpg Одна из возможных причин стираемости передних зубов это то, что верхняя челюсть(линия ANS-PNS) имеет крен в сагиттальной плоскости, оценивается по соотношению линии ANS-PNS к Ba-ANSВо время глотания плоскость окклюзии(линия ANS-PNS) всегда стремится к выравниванию по горизонту(линия Ba-ANS всегда параллельна горизонту). Поэтому грубо говоря меняется положение головы во время глотания и задняя часть верхней челюсти(PNS) поднимается, это приводит к перегрузке передних зубов, они либо начинают стираться, либо уходят в протрузию.Это только одно обстоятельство. Далее необходимо провести анализ моделей челюстей в артикуляторе, чтобы определить положение верхней челюсти в пространстве, ибо от положения верх челюсти зависит положение нижней. Также необходим мониторинг движений ВНЧС на спец компьютерном оборудовании типа Zebris или др.кинезиографе, что позволит определить вид двнчс(интра или экстракапсулярные).Лечение следует начинать именно с ВНЧС, это 1 этап лечения, изготовление декомпрессионная сплинт-терапия.2 этап - ортодонтическое лечение3 этап протезирование на новой высоте прикуса. Ссылка на комментарий
Oleg-Gru Опубликовано 24 ноября, 2011 Автор Поделиться Опубликовано 24 ноября, 2011 (изменено) Насколько велика вероятность, что после окончания лечения шум в ухе исчезнет, ну или хотя бы перестанет прогрессировать? p.s. спасибо за подробнейший разбор ситуации. Изменено 24 ноября, 2011 пользователем Oleg-Gru Ссылка на комментарий
Aldo Rain Опубликовано 24 ноября, 2011 Поделиться Опубликовано 24 ноября, 2011 Вероятность улучшения есть, 50% пациентов с дисфункциями внчс отмечают боль в ухе, но не имеют при этом признаков инфекции. Ссылка на комментарий
Снежана Опубликовано 24 ноября, 2011 Поделиться Опубликовано 24 ноября, 2011 Ув. Снежана, а чем может помочь ортодонт в данном случае, имея ввиду ДВНЧС?Ув. Skip, извиняюсь что не ответила раньше, просматриваю только верхние темы, а здесь оказывается столько всего...я являюсь терапевтом и хирургом, моя задача увидеть патологию и направить, у нас этими вопросами занимается ортодонт, по моему это вполне логично, возможно есть более узкие специалисты, специализирующиеся на суставе, я исхожу из своих реалий. к кому предлагаете направлять вы? Ссылка на комментарий
Снежана Опубликовано 24 ноября, 2011 Поделиться Опубликовано 24 ноября, 2011 Судя по отсутствующим 4кам на верхней челюсти,пациент вчера был у ортодонта Просто забыл об этом.А так-то я согласна,проблемы прикуса налицо(е) со всеми вытекающими. действительно нет верхних 4-ых, тогда возможно лечение было когда-то запланировано, начато, но не закончено... хочется думать о хорошем) Ссылка на комментарий
Oleg-Gru Опубликовано 24 ноября, 2011 Автор Поделиться Опубликовано 24 ноября, 2011 действительно нет верхних 4-ых, тогда возможно лечение было когда-то запланировано, начато, но не закончено... хочется думать о хорошем) Да, это правда. 30 лет назад лечение было начато и продлилось не более часа. Пластинку не носил. Но с тех пор прошло уже очень много времени, неужели что-то может случиться? Ссылка на комментарий
Skip Опубликовано 24 ноября, 2011 Поделиться Опубликовано 24 ноября, 2011 у нас этими вопросами занимается ортодонт, по моему это вполне логично,Олег уже сходил к ортодонту, я поэтому и спросил Вас, что это даст? Результат его похода я просто предвидел Ссылка на комментарий
Oleg-Gru Опубликовано 24 ноября, 2011 Автор Поделиться Опубликовано 24 ноября, 2011 Сегодня сделали слепок с ВЧ для изготовления каппы. Как считаете, она не сможет навредить? Ссылка на комментарий
Skip Опубликовано 24 ноября, 2011 Поделиться Опубликовано 24 ноября, 2011 Сегодня сделали слепок с ВЧ для изготовления каппы. Как считаете, она не сможет навредить?А какой диагноз послужил поводом для изгтовления этой каппы? Ссылка на комментарий
Oleg-Gru Опубликовано 24 ноября, 2011 Автор Поделиться Опубликовано 24 ноября, 2011 Бруксизм. Ссылка на комментарий
Skip Опубликовано 24 ноября, 2011 Поделиться Опубликовано 24 ноября, 2011 Бруксизм.Вполне допускаю, по ТРГ похоже есть АР-травма, ниж. челюсть довольно сильно смещена. Ссылка на комментарий
Oleg-Gru Опубликовано 24 ноября, 2011 Автор Поделиться Опубликовано 24 ноября, 2011 Рентгенолог тоже обратила на это внимание. Асимметрия лица имеет место быть. Ссылка на комментарий
Снежана Опубликовано 24 ноября, 2011 Поделиться Опубликовано 24 ноября, 2011 Олег уже сходил к ортодонту, я поэтому и спросил Вас, что это даст? Результат его похода я просто предвидел ладно, признаю, переоценила Краснодарских ортодонтовну так возмите больного на поруки, что ж человек то мается Ссылка на комментарий
Снежана Опубликовано 24 ноября, 2011 Поделиться Опубликовано 24 ноября, 2011 Сегодня сделали слепок с ВЧ для изготовления каппы. Как считаете, она не сможет навредить?каппа не навредит, это симптоматическая терапия при бруксизме Ссылка на комментарий
Рекомендуемые сообщения
Для публикации сообщений создайте учётную запись или авторизуйтесь
Вы должны быть пользователем, чтобы оставить комментарий
Создать аккаунт
Зарегистрируйте новый аккаунт в нашем сообществе. Это очень просто!
Регистрация нового пользователяВойти
Уже есть аккаунт? Войти в систему.
Войти