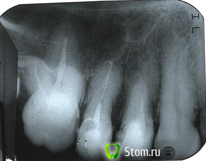
eon Опубликовано 21 ноября, 2011 Поделиться Опубликовано 21 ноября, 2011 Вопрос к уважаемым специалистам.Есть ли на снимке гранулема? Или может быть что-то ещё не так?Зубы не то чтобы болят, но тихонько ноют, какой именно не могу понять (4 или 5-ый). Ссылка на комментарий
Salma Опубликовано 21 ноября, 2011 Поделиться Опубликовано 21 ноября, 2011 Вопрос к уважаемым специалистам.Есть ли на снимке гранулема? Или может быть что-то ещё не так?Зубы не то чтобы болят, но тихонько ноют, какой именно не могу понять (4 или 5-ый).Кажется мне что болит 4–ый, но перелечивать надо и 5 и 6 зуб. Ссылка на комментарий
eon Опубликовано 21 ноября, 2011 Автор Поделиться Опубликовано 21 ноября, 2011 (изменено) Кажется мне что болит 4–ый, но перелечивать надо и 5 и 6 зуб. Большое спасибо за ответ, но почему 6? Его совсем недавно перелечили, он спокоен и при постукиваниях и вообще не реагирует, что Вам с ним видится не так? Буду очень признателен за пояснения. Спасибо еще раз. Изменено 21 ноября, 2011 пользователем eon Ссылка на комментарий
Salma Опубликовано 21 ноября, 2011 Поделиться Опубликовано 21 ноября, 2011 Один канал точно не допломбирован, пломбировку канала или каналов в переднем корне про этому снимку оценить не могу,А вам его первый раз лечили или перелечивали? Ссылка на комментарий
eon Опубликовано 21 ноября, 2011 Автор Поделиться Опубликовано 21 ноября, 2011 Один канал точно не допломбирован, пломбировку канала или каналов в переднем корне про этому снимку оценить не могу,А вам его первый раз лечили или перелечивали?Перелечивали, он был лечен очень давно, его перелечили на всякий случай, так как я не мог понять, где боль. Впрочем, как и врач Ссылка на комментарий
Sib-oboima Опубликовано 21 ноября, 2011 Поделиться Опубликовано 21 ноября, 2011 по моему боли от 4, по хоже на полость в контакте с 5 у десны Ссылка на комментарий
eon Опубликовано 21 ноября, 2011 Автор Поделиться Опубликовано 21 ноября, 2011 по моему боли от 4, по хоже на полость в контакте с 5 у десныСпасибо за ответ. Ссылка на комментарий
ннэт Опубликовано 21 ноября, 2011 Поделиться Опубликовано 21 ноября, 2011 Вопрос к уважаемым специалистам.Есть ли на снимке гранулема? Или может быть что-то ещё не так?Зубы не то чтобы болят, но тихонько ноют, какой именно не могу понять (4 или 5-ый).Гранулем пока нет, но если не перелечить 4.5 и 6 тоже -то они обязательно там появятся -вопрос времени.... Ссылка на комментарий
eon Опубликовано 22 ноября, 2011 Автор Поделиться Опубликовано 22 ноября, 2011 Гранулем пока нет, но если не перелечить 4.5 и 6 тоже -то они обязательно там появятся -вопрос времени....Благодарю за совет, постараюсь прислушаться. Ссылка на комментарий
Рекомендуемые сообщения
Для публикации сообщений создайте учётную запись или авторизуйтесь
Вы должны быть пользователем, чтобы оставить комментарий
Создать аккаунт
Зарегистрируйте новый аккаунт в нашем сообществе. Это очень просто!
Регистрация нового пользователяВойти
Уже есть аккаунт? Войти в систему.
Войти