doctore Опубликовано 16 ноября, 2011 Поделиться Опубликовано 16 ноября, 2011 Коллеги, поделитесь тактикой лечения при ситуации притирания корней.Оставляете так или нет.Прогноз при снятии брекетов с притершимися корнями.Что именно в процессе лечения приводит к неконтролируемому перемещению, и как следствие ,притиранию? Ссылка на комментарий
Skip Опубликовано 17 ноября, 2011 Поделиться Опубликовано 17 ноября, 2011 А что значит притирание корней? Ссылка на комментарий
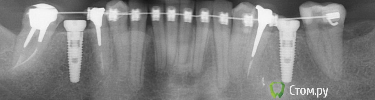
doctore Опубликовано 17 ноября, 2011 Автор Поделиться Опубликовано 17 ноября, 2011 (изменено) Как пример -33/34/35/ или 44/45.Прицельные снимки подтверждают . Изменено 17 ноября, 2011 пользователем doctore Ссылка на комментарий
Премоляр Опубликовано 17 ноября, 2011 Поделиться Опубликовано 17 ноября, 2011 Да уж,доктор, "притирание корней"-это круто (п.с. универ давно закончили???)По теме- вследствие неправильно зафиксированных брекетов чаще всего бывает конвергенция или дивергенция корней,тоесть их нефизиологичное положение..Отсюда и рецидив,и осложнения и т.д...Методам устронения этого учат в ординатуре(перепозиционирование брекетов, изгибы на дугах...).Перед снятием бректов необходимо изменить положение корней.П.С. Слава богу что к имплантам "притирания" не возникло Ссылка на комментарий
FBR Опубликовано 17 ноября, 2011 Поделиться Опубликовано 17 ноября, 2011 Да уж,доктор, "притирание корней"-это круто (п.с. универ давно закончили???)По теме- вследствие неправильно зафиксированных брекетов чаще всего бывает конвергенция или дивергенция корней,тоесть их нефизиологичное положение..Отсюда и рецидив,и осложнения и т.д...Методам устронения этого учат в ординатуре(перепозиционирование брекетов, изгибы на дугах...).Перед снятием бректов необходимо изменить положение корней.П.С. Слава богу что к имплантам "притирания" не возникло +100 Ссылка на комментарий
doctore Опубликовано 17 ноября, 2011 Автор Поделиться Опубликовано 17 ноября, 2011 Да уж,доктор, "притирание корней"-это круто (п.с. универ давно закончили???)По теме- вследствие неправильно зафиксированных брекетов чаще всего бывает конвергенция или дивергенция корней,тоесть их нефизиологичное положение..Отсюда и рецидив,и осложнения и т.д...Методам устронения этого учат в ординатуре(перепозиционирование брекетов, изгибы на дугах...).Перед снятием бректов необходимо изменить положение корней.П.С. Слава богу что к имплантам "притирания" не возникло Как приятно встретить понимание у коллег.Ведь мог так ничего и не узнать .2 новых слова сегодня!Поделитесь знаниями о возможных осложнениях.Количество пациентов от ортодонтов со стороны с явно "нефизиологичным"положением зубов встречается сплошь и рядом.Я правильно понимаю,что в обязательном порядке,даже при снятой брекет системе, такие пациенты подлежат повторному лечению? Ссылка на комментарий
Премоляр Опубликовано 17 ноября, 2011 Поделиться Опубликовано 17 ноября, 2011 Как приятно встретить понимание у коллег.Ведь мог так ничего и не узнать .2 новых слова сегодня!Поделитесь знаниями о возможных осложнениях.Количество пациентов от ортодонтов со стороны с явно "нефизиологичным"положением зубов встречается сплошь и рядом.Я правильно понимаю,что в обязательном порядке,даже при снятой брекет системе, такие пациенты подлежат повторному лечению?Коллега,на ВАШЕМ месте я бы постыдился иронизировать над моим советом вам.Вы вообще ортодонт? Ссылка на комментарий
doctore Опубликовано 17 ноября, 2011 Автор Поделиться Опубликовано 17 ноября, 2011 Уважаемый Премоляр!У меня слишком хорошее настроение сегодня,чтобы придираться к вашим словам,искать в них иронию или начать заводиться в ответ.Я могу сделать это на раз -два и три.Если Вам в моем ответе привиделась ирония- так тому и быть.На мой взгляд,они были полны радости от общения и от полученного полного,профессионального,и полностью лишенного иронии и сарказма ответа Я не ортодонт, мне ближе конкретные ,полные смысла и логики действия по реконструктивной хирургии или эстетическому протезированию.И я искренне пытаюсь найти логику и стандарты в ортодонтическом лечении.В тактике,алгоритме,последовательности и результате.Понять логику мышления ортодонтов при формировании окклюзии,влиянии лечения на внчс,тактику при расширении дуги и контроля вестибулярной кортикалки и так далее.И не встречаю понимания моих вопросов и ответов у знакомых ортодонтов.Вы ведь позиционируете себя как ортодонт,я правильно понимаю(без иронии)? И у Вас могут быть ответы ,а может и нет 1 Ссылка на комментарий
Премоляр Опубликовано 17 ноября, 2011 Поделиться Опубликовано 17 ноября, 2011 Уважаемый Премоляр!У меня слишком хорошее настроение сегодня,чтобы придираться к вашим словам,искать в них иронию или начать заводиться в ответ.Я могу сделать это на раз -два и три.Если Вам в моем ответе привиделась ирония- так тому и быть.На мой взгляд,они были полны радости от общения и от полученного полного,профессионального,и полностью лишенного иронии и сарказма ответа Я не ортодонт, мне ближе конкретные ,полные смысла и логики действия по реконструктивной хирургии или эстетическому протезированию.И я искренне пытаюсь найти логику и стандарты в ортодонтическом лечении.В тактике,алгоритме,последовательности и результате.Понять логику мышления ортодонтов при формировании окклюзии,влиянии лечения на внчс,тактику при расширении дуги и контроля вестибулярной кортикалки и так далее.И не встречаю понимания моих вопросов и ответов у знакомых ортодонтов.Вы ведь позиционируете себя как ортодонт,я правильно понимаю(без иронии)? И у Вас могут быть ответы ,а может и нетОк.Пообщаемся...1-Сразу надо было представиться(хирург,ортопед и т.д...).Потому что не понятно, кто пишет(. Мне показалось что молодой доктор,ибо притирание корней-я такого термина НИКОГДА ОТ ВРАЧА не слышал).2-"... я искренне пытаюсь найти логику и стандарты в ортодонтическом лечении..", НО ".. мне ближе конкретные ,полные смысла и логики действия по реконструктивной хирургии или эстетическому протезированию.." .Вот именно. Зачем вы пытаетесь найти логику,если вам ближе конкретные и полные смысла....3.".. Понять логику мышления ортодонтов.." Зачем??? Что бы это понять,надо как минимум БЫТЬ ортодонтом4- "... Вы ведь позиционируете себя как ортодонт"...Как это понимать??? Что значит "позиционируете"??? Или у меня в дипломе написано "Получил диплом стоматолога....,и теперь позиционируется как ортодонт" . Вы поняли то написали???5-.." ..придираться к вашим словам,искать в них иронию или начать заводиться в ответ.Я могу сделать это на раз -два и три..". Даже так??? Ок...Начинайте Ссылка на комментарий
Bier Опубликовано 17 ноября, 2011 Поделиться Опубликовано 17 ноября, 2011 Доктора, давайте ка отмотаем назад, и не будем раздувать конфликт. Если Влад не против, я переименую тему. Надеюсь на понимание. Ссылка на комментарий
Премоляр Опубликовано 17 ноября, 2011 Поделиться Опубликовано 17 ноября, 2011 Коллеги, поделитесь тактикой лечения при ситуации притирания корней.Оставляете так или нет.Прогноз при снятии брекетов с притершимися корнями.Что именно в процессе лечения приводит к неконтролируемому перемещению, и как следствие ,притиранию?Еще раз отвечу-1- "Коллеги, поделитесь тактикой лечения при ситуации притирания корней".- Если такая ситуация возникла,необходимо изменить положение корней путем перепозиционирования брекетов или изгибами на дугах2- " Оставляете так или нет" -нет3- ".Прогноз при снятии брекетов с притершимися корнями" -рецидив4- ."Что именно в процессе лечения приводит к неконтролируемому перемещению, и как следствие ,притиранию? "-именно неконтролируемое перемещение и приводит. Перемещение зубов должно быть контролируемым.Неконтролируемое перемещение-это вторичные окклюзионные деформации,возникающие постепенно после удаления зубов. А ортодонтическое лечение-это контролируемое перемещение зубов.Кратко попытался прояснить...Если точнее-то конкретизируйте вопросы Ссылка на комментарий
doctore Опубликовано 17 ноября, 2011 Автор Поделиться Опубликовано 17 ноября, 2011 Ок.Пообщаемся...1-Сразу надо было представиться(хирург,ортопед и т.д...).Потому что не понятно, кто пишет(. Мне показалось что молодой доктор,ибо притирание корней-я такого термина НИКОГДА ОТ ВРАЧА не слышал).2-"... я искренне пытаюсь найти логику и стандарты в ортодонтическом лечении..", НО ".. мне ближе конкретные ,полные смысла и логики действия по реконструктивной хирургии или эстетическому протезированию.." .Вот именно. Зачем вы пытаетесь найти логику,если вам ближе конкретные и полные смысла....3.".. Понять логику мышления ортодонтов.." Зачем??? Что бы это понять,надо как минимум БЫТЬ ортодонтом4- "... Вы ведь позиционируете себя как ортодонт"...Как это понимать??? Что значит "позиционируете"??? Или у меня в дипломе написано "Получил диплом стоматолога....,и теперь позиционируется как ортодонт" . Вы поняли то написали???5-.." ..придираться к вашим словам,искать в них иронию или начать заводиться в ответ.Я могу сделать это на раз -два и три..". Даже так??? Ок...Начинайте :D Как все запущено , дорогой товарищч!Дефицит общения в Самаре сказывается ?Кроме того,что грамотные ортодонты давно занесены в Красную книгу,ортодонты с чувством такта и умением общаться судя по всему тоже!И судя по Вашим более чем лаконичным ответам, Вы действительно только позиционируете себя как ортодонт,на мой прямолинейный ортопедический взгляд.Без иронии-как есть!Культура общения =профессионализм.Независимо от уровня оппонента.А судя по Вашим ответам ни того ни другого у Вас нет.Чтобы не превращать ортодонтический раздел в помойку-я освобождаю Вас от необходимости ответов на мои вопросы.Можете даже не просматривать создаваемые мной темы-ни я ,ни посетители форума от этого ничего не потеряют!Нервный Вы мой! 1 Ссылка на комментарий
Skip Опубликовано 17 ноября, 2011 Поделиться Опубликовано 17 ноября, 2011 И я искренне пытаюсь найти логику и стандарты в ортодонтическом лечении.В тактике,алгоритме,последовательности и результате.Понять логику мышления ортодонтов при формировании окклюзии,влиянии лечения на внчс,тактику при расширении дуги и контроля вестибулярной кортикалки и так далее.И не встречаю понимания моих вопросов и ответов у знакомых ортодонтов.Позиционирую себя ортодонтом Относительно всего пречисляемого Вами, то здесь бы пришлось целиком учебники цитировать. Вам приходилось читать ортодонтическую лит-ру, там, в принципе, все ответы на Ваши вопросы есть? Но, если есть желание что-то конкретно обсудить, то давайте с Вами немного оживим этот раздел форума. Ссылка на комментарий
Премоляр Опубликовано 18 ноября, 2011 Поделиться Опубликовано 18 ноября, 2011 :D Как все запущено , дорогой товарищч!Дефицит общения в Самаре сказывается ?Кроме того,что грамотные ортодонты давно занесены в Красную книгу,ортодонты с чувством такта и умением общаться судя по всему тоже!И судя по Вашим более чем лаконичным ответам, Вы действительно только позиционируете себя как ортодонт,на мой прямолинейный ортопедический взгляд.Без иронии-как есть!Культура общения =профессионализм.Независимо от уровня оппонента.А судя по Вашим ответам ни того ни другого у Вас нет.Чтобы не превращать ортодонтический раздел в помойку-я освобождаю Вас от необходимости ответов на мои вопросы.Можете даже не просматривать создаваемые мной темы-ни я ,ни посетители форума от этого ничего не потеряют!Нервный Вы мой! Да уж,такого хама давненько читать не приходилось,тем более с звёздной болезнью.Наверно вы ошиблись форумом? И к сожалению,в помойку превратили ортодонт.форум вы. "..я освобождаю вас.."-это напоминает уже клиническую стадию звёздной болезни.Тоесть вам мои ответы показались лаконичными? Каков вопрос,таков и отвёт. Как ВРАЧ,подзиционирующий себя как звёздный ,мог задать такой бездарный вопрос,с бездарнейшим термином "притирание"? И ответы на эти вопросы поленился прочесть в ортолитературе для студентов? И последнее...жаль что сейчас нельзя вызвать человека на дуэль..Времена не те...П.С. Буду в Питере в марте. Готов выслушать вас лично. Ссылка на комментарий
Bier Опубликовано 18 ноября, 2011 Поделиться Опубликовано 18 ноября, 2011 стреляться изволите-с? 1 Ссылка на комментарий
Премоляр Опубликовано 18 ноября, 2011 Поделиться Опубликовано 18 ноября, 2011 стреляться изволите-с?Да,предпочитаю такой вариант защиты чести и достоинства,ибо интернет дуэль не даёт мне шансов на победу,т.к. фразы "сам дурак" меня не удовлетворят. Ссылка на комментарий
Bier Опубликовано 18 ноября, 2011 Поделиться Опубликовано 18 ноября, 2011 выбор оружия к сожалению не за вами ) forum.stom.ru может предложить:1. Пистолет для фиксации мембран однозарядный, гладкоствольный, заряжается с дульной стороны (в комплекте 12 патронов)http://maximum-implants.ru/int/pic_max/pic436.jpg 2. Инструмент для лигатур двухсторонний http://maximum-implants.ru/int/pic_max/pic753.jpg 3. Микро-хирургическое лезвие "хвост-бобра", ручку и бинокуляры приносите свои!http://maximum-implants.ru/int/pic_max/pic102.jpg4. Прямые элеваторы на выбор, можно 2. http://maximum-implants.ru/int/pic_max/pic58.jpg5. Ну и новинка сезона! Реципрокные пилы!!http://maximum-implants.ru/int/pic_max/pic184.jpg Ссылка на комментарий
Aldo Rain Опубликовано 18 ноября, 2011 Поделиться Опубликовано 18 ноября, 2011 Бир ты жжешь!! ржунемогу! Ссылка на комментарий
Doc Опубликовано 18 ноября, 2011 Поделиться Опубликовано 18 ноября, 2011 У меня со временем сейчас туго, чтобы писать большие прочувствованные послания врачам, потому тему, к сожалению, тупо прикрою, ибо общаться в таком духе у нас не принято. Врачам устные напоминания о том, что на НАШЕМ форуме так себя не ведут. Если тема еще интересует, можете открыть новую и начать новую жизнь! С уважением ко всем участникам дискуссии, Doc. Ссылка на комментарий
Рекомендуемые сообщения