Inn-ka Опубликовано 6 ноября, 2011 Поделиться Опубликовано 6 ноября, 2011 (изменено) Добрый день, Уважаемые.Есть проблема - мезиальный прикус, передие нижние зубы перекрывают верхние.Мне 30, понятное дело, если ставить брекеты - хотелось бы лингвальные.Не совсем понятно - целосообразно ли, при моей проблеме ставить лингвалки.Пока была на консультации только у одно ортодонта.Доктор долго мялась, говорила: "эх, сделать быть операцию, чуть-чуть чик и все"."чикать" не получится, операцию мне делать нельзя.Да и масштаб проблемы не такой, чтобы решиться на такие кардинальные меры.Затем, доктор сказала: "ну ладно, тогда установим микроимплант и будем нянуть зубы в обратном направленинии".В общем - ищу других докторов, хочу услышать различные мнения.Понимаю, что мой волевой подбородок останется при мне, да и не отраляет от мне жизнь.Мне бы зубы выровнять. Это-то, надеюсь возможно?Кстати, энное количество времени назад одну нижнюю восьмерку удалила, смотрю, скученность со стороны удаления восьмерки, стала менее выражена. Собираюсь с духом удалить вторую. Уж очень травматично и болезненно в первый раз получилось. :-(Буду очень благодарна специалистам за советы. Изменено 6 ноября, 2011 пользователем Inn-ka Ссылка на комментарий
Премоляр Опубликовано 6 ноября, 2011 Поделиться Опубликовано 6 ноября, 2011 Хотелось бы взглянуть на лицо и ТРГ....как минимум Ссылка на комментарий
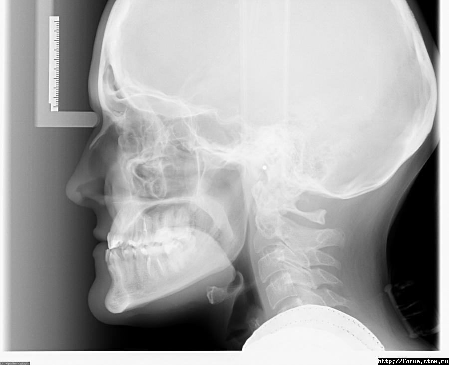
Inn-ka Опубликовано 6 ноября, 2011 Автор Поделиться Опубликовано 6 ноября, 2011 (изменено) Извиняюсь, раз пять правила-уменьшала снимки. Слишком много пыталась разместить. ТРГ - как выглядит? Это не тот снимок, что у меня размещен?Еще бы знать, как лицо снимать, дома самостоятельно та еще задача :-( Изменено 6 ноября, 2011 пользователем Inn-ka Ссылка на комментарий
Премоляр Опубликовано 6 ноября, 2011 Поделиться Опубликовано 6 ноября, 2011 Да...теперь есть ТРГ Ссылка на комментарий
Премоляр Опубликовано 6 ноября, 2011 Поделиться Опубликовано 6 ноября, 2011 "Мне бы зубы выровнять. Это-то, надеюсь возможно?"-конечно возможно Профиль конечно не изменить,ибо работа будет только на зубоальв.уровне путем компенсации.С точки зрения эстетики вас устроит результат,но с точки зрения функции и стабильности результат может не устроить доктора Ссылка на комментарий
Inn-ka Опубликовано 6 ноября, 2011 Автор Поделиться Опубликовано 6 ноября, 2011 (изменено) :-( без операции результат не будет постоянным? потрачу время и кучу денег на лингвальные брекеты и результат нельзя будет закрепить?мда... Мне казалась, что внешне проблема минимальная, с точки зрения эстетики. Имею в виду профиль, не улыбку Изменено 6 ноября, 2011 пользователем Inn-ka Ссылка на комментарий
Force Опубликовано 6 ноября, 2011 Поделиться Опубликовано 6 ноября, 2011 Без операции возможно пролечить либо с удалением премоляров нижней челюсти, что не есть хорошо, либо с использованием техники многопетлевой дуги. До http://i051.radikal.ru/1109/68/9299be8a9a53.jpg После http://s009.radikal.ru/i307/1109/30/2152edffbc4f.jpg В последнем варианте профиль меняется незначительно, но эстетика и функция восстанавливаются. К сожалению, о лингвальных брекетах речи и быть не может.(только вариант 1, но там много нюансов). Ссылка на комментарий
Inn-ka Опубликовано 6 ноября, 2011 Автор Поделиться Опубликовано 6 ноября, 2011 Спасибо за ответы. Прямо, расстроили Вы меня :-(Мало того, что результат не гарантирован, так еще и инкогнито нельзя.Кстати, а почему нельзя-то? Какие нюансы. Очень прошу, напишите, пожалуйста.И куда-к кому податься за лечением с помощью дуги? Вот бы еще понять, что это за зверь такой :-( Ссылка на комментарий
Премоляр Опубликовано 7 ноября, 2011 Поделиться Опубликовано 7 ноября, 2011 :-( без операции результат не будет постоянным? потрачу время и кучу денег на лингвальные брекеты и результат нельзя будет закрепить?мда... Мне казалась, что внешне проблема минимальная, с точки зрения эстетики. Имею в виду профиль, не улыбкуНе переживайте. Результат может быть стабильным..при правильном планировании и технике лечения. Поймите-эстетикой вы будете довольны.Остальное-это забота доктора,на его совести вобщем(и стабильность,и функциональность) Ссылка на комментарий
Премоляр Опубликовано 7 ноября, 2011 Поделиться Опубликовано 7 ноября, 2011 Спасибо за ответы. Прямо, расстроили Вы меня :-(Мало того, что результат не гарантирован, так еще и инкогнито нельзя.Кстати, а почему нельзя-то? Какие нюансы. Очень прошу, напишите, пожалуйста.И куда-к кому податься за лечением с помощью дуги? Вот бы еще понять, что это за зверь такой :-(Ну вот и ОПЯТЬ у нас поможет "ТОЛЬКО техника многопетлевая" Ваш случай может быть пролечен ОБЫЧНОЙ ортодонтичесчкой техникой(классическая техника). Просто есть нюансы(возможные удаления,пришлифовка зубов и т.д...)-все зависит от техники,которой работает ваш доктор.П.С. Что касаемо многопетлевой техники-пишите д-ру Force в личку Ссылка на комментарий
Inn-ka Опубликовано 7 ноября, 2011 Автор Поделиться Опубликовано 7 ноября, 2011 :-)) Сначала расстроили, затем - обнадежили.Нет у меня пока доктора. В поиске. P.S. искала фотографии с многопетлевой дугой - не густо... почти ничего не нашла. Ссылка на комментарий
Премоляр Опубликовано 7 ноября, 2011 Поделиться Опубликовано 7 ноября, 2011 :-)) Сначала расстроили, затем - обнадежили.Нет у меня пока доктора. В поиске. P.S. искала фотографии с многопетлевой дугой - не густо... почти ничего не нашла.И не найдете...Инфы мало.Врачей,работающих MEAW-единицы. Я уже сказал вам к кому обратиться,если вас заинтересовал метод Ссылка на комментарий
Рекомендуемые сообщения
Для публикации сообщений создайте учётную запись или авторизуйтесь
Вы должны быть пользователем, чтобы оставить комментарий
Создать аккаунт
Зарегистрируйте новый аккаунт в нашем сообществе. Это очень просто!
Регистрация нового пользователяВойти
Уже есть аккаунт? Войти в систему.
Войти