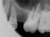
Доктор Саша Опубликовано 20 июня, 2011 Поделиться Опубликовано 20 июня, 2011 (изменено) http://s11.radikal.ru/i184/1106/de/7dda12ed9aeb.jpg Вы бы перелечили? Изменено 20 июня, 2011 пользователем Доктор Саша Ссылка на комментарий
Kivilgar Опубликовано 20 июня, 2011 Поделиться Опубликовано 20 июня, 2011 http://s11.radikal.ru/i184/1106/de/7dda12ed9aeb.jpgВы бы перелечили?http://s57.radikal.ru/i155/1106/f0/ea6d20dcaaa8.jpg По мне так серьезный косяк ничего хорошего не ожидается. А кто это так умудрился? Ссылка на комментарий
Штаматолог Опубликовано 20 июня, 2011 Поделиться Опубликовано 20 июня, 2011 Вы бы перелечили?Конечно Ссылка на комментарий
uzstom Опубликовано 20 июня, 2011 Поделиться Опубликовано 20 июня, 2011 Конечнокак собираетесь вытащить вот эту часть? хирургически? Ссылка на комментарий
zybnaya feya Опубликовано 20 июня, 2011 Поделиться Опубликовано 20 июня, 2011 Эсли гутта в полости пазухи и хорошо залатералена,то я себе мало представляю "КАК" ее вытащить Если методой "одного штифта" ,то шансы есть Ссылка на комментарий
О4ень добрbIй д@нтист Опубликовано 20 июня, 2011 Поделиться Опубликовано 20 июня, 2011 (изменено) http://s11.radikal.ru/i184/1106/de/7dda12ed9aeb.jpgВы бы перелечили?Контакты можно, в полости зуба работы провести, а достать гутту хирургически если только Изменено 20 июня, 2011 пользователем О4ень добрbIй д@нтист Ссылка на комментарий
Ico Опубликовано 20 июня, 2011 Поделиться Опубликовано 20 июня, 2011 Перелечил бы но не сразу через годик ИМХО Ссылка на комментарий
Kivilgar Опубликовано 20 июня, 2011 Поделиться Опубликовано 20 июня, 2011 Перелечил бы но не сразу через годик ИМХО Почему? Ссылка на комментарий
Ico Опубликовано 20 июня, 2011 Поделиться Опубликовано 20 июня, 2011 Почему?Гутта не деформирована,большои номер,силлер подкиснет метазон и подавно вымоется герметизма то нет.ИМХО можно попытаться на свои страх и риск вкрутить H фаил и потихонечку вытащить.При условии если латералка была конуснои гуттои(не метовская) 25-30 номера Ссылка на комментарий
BORA Опубликовано 20 июня, 2011 Поделиться Опубликовано 20 июня, 2011 я,как человек спасающий безнадежные зубы перепаковал бы медиальные....даже если гутту не вытащить...запаковал бы мта...а дальше либо ждать надеется...либо открытый синус делать Ссылка на комментарий
Scrabble Опубликовано 20 июня, 2011 Поделиться Опубликовано 20 июня, 2011 А кто это так умудрился?Очевидно:доктор, у которого не бывает недопломбировок Ссылка на комментарий
Kivilgar Опубликовано 20 июня, 2011 Поделиться Опубликовано 20 июня, 2011 Гутта не деформирована,большои номер,силлер подкиснет метазон и подавно вымоется герметизма то нет.ИМХО можно попытаться на свои страх и риск вкрутить H фаил и потихонечку вытащить.При условии если латералка была конуснои гуттои(не метовская) 25-30 номера Нет, затягивать не стоит. Ссылка на комментарий
Доктор Саша Опубликовано 20 июня, 2011 Автор Поделиться Опубликовано 20 июня, 2011 http://s57.radikal.ru/i155/1106/f0/ea6d20dcaaa8.jpg По мне так серьезный косяк ничего хорошего не ожидается. А кто это так умудрился?латералка..все померил..по локатору.но - видимо протолкнул... Ссылка на комментарий
BORA Опубликовано 20 июня, 2011 Поделиться Опубликовано 20 июня, 2011 ..ампутация корня для любителей экзотики)...кстати кто делал/наблюдал такие случаи?? Ссылка на комментарий
Доктор Саша Опубликовано 20 июня, 2011 Автор Поделиться Опубликовано 20 июня, 2011 латералка..все померил..по локатору.но - видимо протолкнул... мляяяя....главное 4 канал тоже... Ссылка на комментарий
Джима Опубликовано 20 июня, 2011 Поделиться Опубликовано 20 июня, 2011 мляяяя....главное 4 канал тоже... а чего ж по горячим следам не переделали ? Ссылка на комментарий
Доктор Саша Опубликовано 20 июня, 2011 Автор Поделиться Опубликовано 20 июня, 2011 (изменено) Поясню....делал конусной гуттой...мту на моторе...неправильно(видимо) промерил мед каналы по апекс локатору..рентгена сразу в кабинете нет...сказал что может быть перелечу..(все мля покупаю RVG) конусность 04 + 02 доконденсировал...Но....Есть 3 недели чтобы принять решение о переделке..Может бывалые в этом форуме все таки ответят уже?...или только критиковать? могу еще снимки сделать... Изменено 20 июня, 2011 пользователем Доктор Саша Ссылка на комментарий
Каплан Опубликовано 20 июня, 2011 Поделиться Опубликовано 20 июня, 2011 латералка..все померил..по локатору.но - видимо протолкнул... sad.gifа сколько была длина по локатору? судя по снимку даже больше чем в небном канале или очень близко к таковой. (с учетом проекции). и странно , если мастерфайл и мастерштифт одного размера (30?) то почему такой вылет большой? ПС. а гутта чья? Помнится в университете еще, у меня была метавская. так ее приходилось через калибровочную линейку пропускать, потому что 25, например, на деле оказывалась 23. вот. Ссылка на комментарий
DokDent Опубликовано 20 июня, 2011 Поделиться Опубликовано 20 июня, 2011 латералка..все померил..по локатору.но - видимо протолкнул... У меня такая картинка в нёбном корне была.Только локатор сразу" за апекс" показывал.По горячим следам достала Ссылка на комментарий
Доктор Саша Опубликовано 20 июня, 2011 Автор Поделиться Опубликовано 20 июня, 2011 (изменено) я,как человек спасающий безнадежные зубы перепаковал бы медиальные....даже если гутту не вытащить...запаковал бы мта...а дальше либо ждать надеется...либо открытый синус делатьзапаковано надежно ....сИлер ан плюс гутта конусная, мта не влезет..Синус? а сколько была длина по локатору? судя по снимку даже больше чем в небном канале или очень близко к таковой. (с учетом проекции). и странно , если мастерфайл и мастерштифт одного размера (30?) то почему такой вылет большой? ПС. а гутта чья? Помнится в университете еще, у меня была метавская. так ее приходилось через калибровочную линейку пропускать, потому что 25, например, на деле оказывалась 23. вот.как на дистальном...чья гутта??? моя блин... А теперь вот пациента... У меня такая картинка в нёбном корне была.Только локатор сразу" за апекс" показывал.По горячим следам досталану значит повезло вам Изменено 20 июня, 2011 пользователем Доктор Саша Ссылка на комментарий
Каплан Опубликовано 20 июня, 2011 Поделиться Опубликовано 20 июня, 2011 как на дистальном...чья гутта??? моя блин... А теперь вот пациента... Чья=фирма производитель. МЕТА, ВэДэВэ, китайский\корейские... так вот, пока что пользуем ВэДэВэ, нужды в калибровке не было еще. а метавская вылетает через дырочки в линейке. Ссылка на комментарий
BORA Опубликовано 20 июня, 2011 Поделиться Опубликовано 20 июня, 2011 запаковано надежно ....сИлер ан плюс гутта конусная, мта не влезет..Синус? мастер штифт какого размера был?синус-ежели корни в пазухе..на что скорее похоже...кортикалка прерывается..зачем?-если не удастся вытащить гутту... Ссылка на комментарий
Ico Опубликовано 20 июня, 2011 Поделиться Опубликовано 20 июня, 2011 Нет, затягивать не стоит.По горячим уже не получится(( Ссылка на комментарий
silver77 Опубликовано 21 июня, 2011 Поделиться Опубликовано 21 июня, 2011 (изменено) латералка..все померил..по локатору.но - видимо протолкнул... доктор...Вам необходимо создать апикальный упор таким образом чтобы мастер штифт стал на РД(эффект ТАг бэк),а след. штифт на мм меньше и только потом латералить,а как этого добиться я надеюсь знаете Изменено 21 июня, 2011 пользователем silver77 Ссылка на комментарий
Доктор Саша Опубликовано 22 июня, 2011 Автор Поделиться Опубликовано 22 июня, 2011 Гутта не деформирована,большои номер,силлер подкиснет метазон и подавно вымоется герметизма то нет.ИМХО можно попытаться на свои страх и риск вкрутить H фаил и потихонечку вытащить.При условии если латералка была конуснои гуттои(не метовская) 25-30 номера гутта конусная 04(VDW), размер 35. Силер AH plus, обработка мотором..Либо я верхушку раздолбил так, либо что то еще Ссылка на комментарий
Рекомендуемые сообщения
Для публикации сообщений создайте учётную запись или авторизуйтесь
Вы должны быть пользователем, чтобы оставить комментарий
Создать аккаунт
Зарегистрируйте новый аккаунт в нашем сообществе. Это очень просто!
Регистрация нового пользователяВойти
Уже есть аккаунт? Войти в систему.
Войти