kmatv Опубликовано 12 июля, 2011 Поделиться Опубликовано 12 июля, 2011 (изменено) Случаев громадных кист было не мало. Мои опыт нынешний-всегда доступ вестибулярный, и эктомия. Отделить оболочку от слизистой не представляло особого труда. Есть сомнениния в качестве отслойки- можно слегка проитись коаулятором(петлей) или бором. А про заполнение костной полости отмытым липоаспиратом - не баян- реально работает. И желательно не брать глубокие жировые пакеты лица(беша, параорбитальный жир). Но это уже стационарная практика. А про резцовый канал это сильно. Изменено 12 июля, 2011 пользователем kmatv Ссылка на комментарий
zzkz Опубликовано 15 июля, 2011 Поделиться Опубликовано 15 июля, 2011 Мои опыт нынешний-всегда доступ вестибулярный, и эктомия. а в сквозной дырке кость будет? Ссылка на комментарий
kmatv Опубликовано 22 июля, 2011 Поделиться Опубликовано 22 июля, 2011 а в сквозной дырке кость будет?Если откорректировать мембранами- будет. Ссылка на комментарий
kriokov Опубликовано 20 марта, 2012 Поделиться Опубликовано 20 марта, 2012 Пац 60 лет, 13.03- диагносцирована нагноившаяся киста в\челюсти, вскрыт гнойник, антибактериальная и симптоматическая терапия. На КТ киста до 4 куб см ориентировочно, сквозной дефект с вестибулярной на небную поверхность, деструкция носонебного канала, деструктивный очаг небно за корнем 11. дно носа не критично. Имплантация в перспективе не планируется.Через 1 месяц планируется штатная цистэктомия с удалением 21 и 22. Коллеги, кто как небно мебрану выставляет? Дефект кости на небе 10 на 10 мм. Сам думаю, что под полнослойный лоскут на небе придется устанавливать, попробую отслоиться со стороны костной раны. Ссылка на комментарий
Aldo Rain Опубликовано 20 марта, 2012 Поделиться Опубликовано 20 марта, 2012 с какой целью мембрана? Ссылка на комментарий
kriokov Опубликовано 20 марта, 2012 Поделиться Опубликовано 20 марта, 2012 (изменено) с какой целью мембрана?дефект сквозной, боюсь что без мембраны дефект не выполниться костью Изменено 20 марта, 2012 пользователем kriokov Ссылка на комментарий
Aldo Rain Опубликовано 20 марта, 2012 Поделиться Опубликовано 20 марта, 2012 я бы неставил мембрану, так больше вероятность что хоть чето нерастет. Тем более если не планируется имплантация, мембрана нарушит и так дохлую трофику Ссылка на комментарий
Aldo Rain Опубликовано 20 марта, 2012 Поделиться Опубликовано 20 марта, 2012 а с неба лучше вообще не отслаивать лоскут Ссылка на комментарий
kriokov Опубликовано 20 марта, 2012 Поделиться Опубликовано 20 марта, 2012 а с неба лучше вообще не отслаивать лоскутСпасибо, с неба лоскут отслаивать не планирую. Хотел попробовать из раны отслоить как при синусе, но если спайки точно дырку сделаю. Подумаю, но видимо Вы правы, имплантация не планируется, типично сделать и забыть Ссылка на комментарий
K_gur Опубликовано 3 июня, 2012 Поделиться Опубликовано 3 июня, 2012 Господа ! Пациенту 2009 - ом было 62 года, киста на 11-ом , решили одномоментное удаление, цистэктомия, аугментация и имплантация, Вот снимки! подледный снимок новый. Будут ли замечания? Но самое интересное что пациент да сей пор не добрался до ортопеда, сделает коронку выложу и этот снимок.http://s019.radikal.ru/i625/1206/30/434cde3231d2.jpghttp://s019.radikal.ru/i630/1206/cc/20a47ecf2a78.jpg http://s06.radikal.ru/i179/1206/49/7f6119696343.jpghttp://s019.radikal.ru/i604/1206/d6/77c4408b76ff.jpg http://i064.radikal.ru/1206/74/5f59a960ba3d.jpghttp://s017.radikal.ru/i440/1206/ad/40fae14fa38a.jpg Ссылка на комментарий
Sahan Опубликовано 3 июня, 2012 Поделиться Опубликовано 3 июня, 2012 А какие тут могут быть замечания? Всё ОК. 1 Ссылка на комментарий
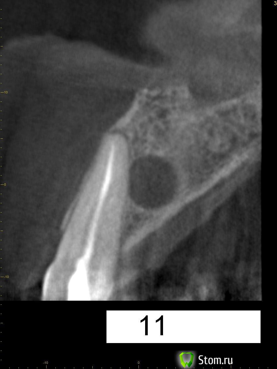
wladdX Опубликовано 22 января, 2014 Поделиться Опубликовано 22 января, 2014 (изменено) Пациентка 33-х лет, обратилась с жалобами на болезненную припухлость на тв. нёбе. При обследовании выявлена киста резцового канала, самопроизвольно вскрывшаяся.Через перф.отверстие отмыта, воспаление стихло, свищевого хода не сформировалось (перф.отверстие эпителизировалось). Встаёт вопрос об операции. Планируется нёбный доступ. Как думаете, коллеги? Изменено 22 января, 2014 пользователем wladdX Ссылка на комментарий
CToMaToJlor Опубликовано 27 января, 2014 Поделиться Опубликовано 27 января, 2014 Спасибо, с неба лоскут отслаивать не планирую. Хотел попробовать из раны отслоить как при синусе, но если спайки точно дырку сделаю. Подумаю, но видимо Вы правы, имплантация не планируется, типично сделать и забытьНу и как результаты? С мембранами возились? Полость от кисты чем заполняли? Ссылка на комментарий
kriokov Опубликовано 28 января, 2014 Поделиться Опубликовано 28 января, 2014 В моем случае имплантация не планировалась в перспективе, поэтому без графта и мембраны, с удалением 21 и 22, штатная цистэктомия вестибулярным доступом.В Вашем случае сделал бы с неба, (чего полсантиметра окно делать , если с вестибулярного доступа идти) , без графта и мембраны, там размеры костного дефекта маленькие , около 1 см, и дефект почти замкнутый будет, он хорошо и без графта восстанавливается.. Чувствительность может пропасть на небе макс на полгода, пациентов потеря ее в этой области мало тревожит. Ссылка на комментарий
wladdX Опубликовано 29 января, 2014 Поделиться Опубликовано 29 января, 2014 Так и предполагаю. Тем более зубы 11 и 21 витальные. Ссылка на комментарий
Рекомендуемые сообщения
Для публикации сообщений создайте учётную запись или авторизуйтесь
Вы должны быть пользователем, чтобы оставить комментарий
Создать аккаунт
Зарегистрируйте новый аккаунт в нашем сообществе. Это очень просто!
Регистрация нового пользователяВойти
Уже есть аккаунт? Войти в систему.
Войти