edvard Опубликовано 11 мая, 2011 Поделиться Опубликовано 11 мая, 2011 (изменено) Страшно смотреть стало на улыбку в зеркале, пытаюсь перебороть зубную фобию и решил заняться зубами. Стерлись все передние резцы. Процесс истирания длился наверно года 3. До этого прикус был в норме.Мне 35 лет. Язва 12-ти перстной кишки присутствует. Возможно ночами бруксизмом занимался от периодических ночных болей в животе. Сегодня был на приёме в стоматологии, вынесли вердикт: - нижняя челюсть : всё депульпировать, перепломбировать и под металлокерамику. - верхняя челюсть : четыре центральных зуба депульпировать и то же в коронки. Подскажите пожалуйста , правильно ли выбран план лечения в данной ситуации. Очень страшно депульпировать сразу 9 зубов. И сомнения вызывает собственно сама необходимость депульпирования. Неужели это действительно необходимо делать при живых зубах и при условии что за счёт металлокерамики будет выставляться правильный прикус. Спасибо всем отозвавшимся за ваши мнения. http://s42.radikal.ru/i096/1105/dc/0074cc18379bt.jpg http://i003.radikal.ru/1105/c4/f5507b16fe60t.jpg http://s44.radikal.ru/i106/1105/2d/0d12bba70e11t.jpg http://s010.radikal.ru/i314/1105/f8/d2bf1cc7ea77t.jpg Изменено 11 мая, 2011 пользователем edvard Ссылка на комментарий
Штаматолог Опубликовано 11 мая, 2011 Поделиться Опубликовано 11 мая, 2011 Депульпировать весь низ? Зачем? Ситуация у вас непростая, если по-хорошему решать, то не быстро и не дешево. "Выставить прикус" за счет МК, при этом все поголовно депульпировать... более чем сомнительный подход. Ссылка на комментарий
edvard Опубликовано 11 мая, 2011 Автор Поделиться Опубликовано 11 мая, 2011 так вот собственно из за решения всё депульпировать у меня и появились сомнения в правильности выбранной методики лечения. из за этого я и тему эту создал, что бы разобраться что к чему. Может есть ещё какие то альтернативные варианты лечения? я так понимаю нужно для начала с прикусом разобраться. брекеты тут уже не помогут. может капы какие то или ещё что то придумано в современной стоматологии ? Депульпировать весь низ? Зачем? это я как раз и забыл спросить у ортопеда, т.к. немного в шоке пребывал. осознание пришло позже Ссылка на комментарий
Штаматолог Опубликовано 11 мая, 2011 Поделиться Опубликовано 11 мая, 2011 так вот собственно из за решения всё депульпировать у меня и появились сомнения в правильности выбранной методики лечения. из за этого я и тему эту создал, что бы разобраться что к чему. Может есть ещё какие то альтернативные варианты лечения? я так понимаю нужно для начала с прикусом разобраться. брекеты тут уже не помогут. может капы какие то или ещё что то придумано в современной стоматологии ?это я как раз и забыл спросить у ортопеда, т.к. немного в шоке пребывал. осознание пришло позже Депульпировать все под МК нет никакой необходимости. Очень хорошо, что вас это насторожило. МК коронки на 4 верхних резца ситуацию никак не поменяют, ни функционально, ни эстетически. Конкретных планов я лично не возьмусь писать даже с учетом наличия неплохих фото и ОПТГ. Во-первых, здесь немаловажно наличие бюджета и исполнителей ( а то насоветовать можно, да толку...) А во-вторых, ваш случай нужно тщательно планировать, нужно больше диагностической инфы. И поработать над вами в итоге нужно будет практически всем специалистам. Ссылка на комментарий
edvard Опубликовано 12 мая, 2011 Автор Поделиться Опубликовано 12 мая, 2011 Штаматолог, спасибо за ваше мнение. Кто ещё что может подсказать в данной ситуации ? Ссылка на комментарий
Bier Опубликовано 12 мая, 2011 Поделиться Опубликовано 12 мая, 2011 я согласен абсолютно, Автор, вам надо найти команду врачей и не пожалеть денег на первоначальный этап - диагностику. Из какого вы города? Ссылка на комментарий
edvard Опубликовано 12 мая, 2011 Автор Поделиться Опубликовано 12 мая, 2011 я из минска. а что диагностировать нужно ? планирую посетить ещё несколько стоматологий, что бы собрать больше информации и различных мнений, на основании которых потом буду делать выводы и план дальнейших действий. Ссылка на комментарий
Bier Опубликовано 12 мая, 2011 Поделиться Опубликовано 12 мая, 2011 дигностику вашего жевательного аппарата надо провести. Сделать диагностические модели, загипсовать их в артикулятор, провести восковое моделирование будущих зубов. Тогда станет ясно где и сколько надо спилить, надо ли депульпировать, нужна ли ортодонтия. Ссылка на комментарий
edvard Опубликовано 12 мая, 2011 Автор Поделиться Опубликовано 12 мая, 2011 ясно. думаю что у нас в городе сложно это будет осуществить, вряд ли кто то возьмётся. спасибо за разъяснение, попробую поискать тех , кто согласится заняться моделированием. Ссылка на комментарий
Bier Опубликовано 12 мая, 2011 Поделиться Опубликовано 12 мая, 2011 ясно. думаю что у нас в городе сложно это будет осуществить, вряд ли кто то возьмётся. спасибо за разъяснение, попробую поискать тех , кто согласится заняться моделированием.я вам написал в личку. Ссылка на комментарий
Штаматолог Опубликовано 12 мая, 2011 Поделиться Опубликовано 12 мая, 2011 ясно. думаю что у нас в городе сложно это будет осуществить, вряд ли кто то возьмётся. спасибо за разъяснение, попробую поискать тех , кто согласится заняться моделированием. Минск вполне себе приличный город, там наверняка есть стоматологи нужной квалификации, чтобы решить ваш случай.Напишите в личку Следкову Михаилу. Он очень хороший техник как раз из Минска. И наверняка подскажет пару-тройку имен достойных докторов. Ссылка на комментарий
edvard Опубликовано 12 мая, 2011 Автор Поделиться Опубликовано 12 мая, 2011 Спасибо, доктор ! Ссылка на комментарий
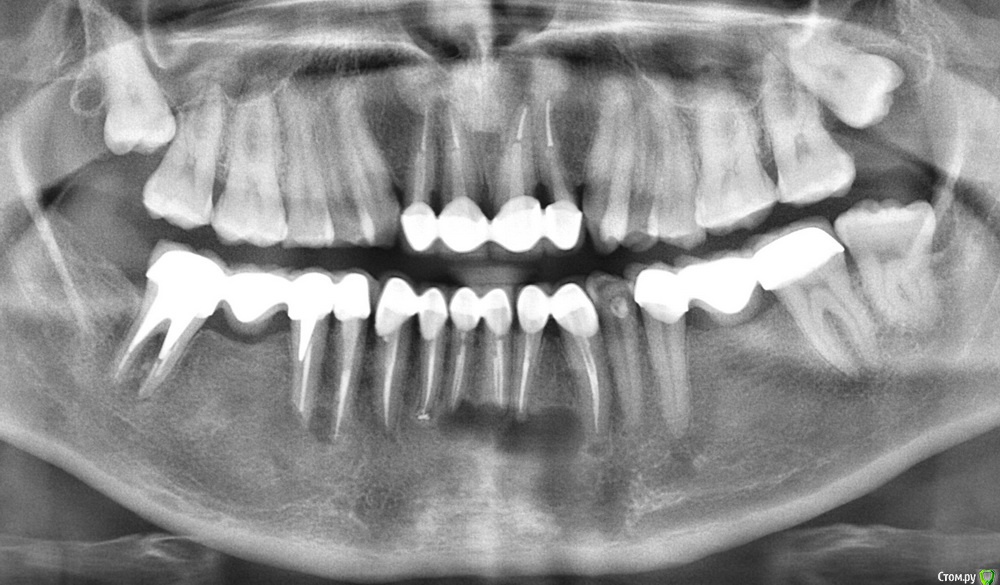
edvard Опубликовано 25 октября, 2017 Автор Поделиться Опубликовано 25 октября, 2017 полечился блин... прошло почти 4 года после протезирования, сделал снимок и вижу что под нижними резцами образовалась киста: хирург посмотрела и сказала - нужно делать резекцию верхушек корней и удалять кисту.подскажите - после удаления полость в кости обязательно заполнять костным материалом? при благополучном стечении обстоятельств, новая костная ткань образуется вокруг этих зубов и они будут там как родные или шататься будут? Ссылка на комментарий
red_butler Опубликовано 26 октября, 2017 Поделиться Опубликовано 26 октября, 2017 после удаления полость в кости обязательно заполнять костным материалом? не обязательно, но в Вашем случае я бы использовал графт и мембрану.Консервативное лечение не рассматриваете? Ссылка на комментарий
edvard Опубликовано 27 октября, 2017 Автор Поделиться Опубликовано 27 октября, 2017 Консервативное лечение не рассматриваете? Я бы с радостью рассмотрел конечно, но уже стоят металлокерамические мосты, жалко их резать и выбрасывать, на новые денег как бы нет Да и терапевт, который пломбировал каналы уверяет что каналы запломбированы идеально и смысла переделывать их и лечить кисту нет никакого.Я в замешательстве.. я бы использовал графт и мембрану. полез гуглить что это такое Ссылка на комментарий
Brigita Опубликовано 28 октября, 2017 Поделиться Опубликовано 28 октября, 2017 Можно фото попросить? Интересно, что получилось. Ссылка на комментарий
edvard Опубликовано 29 октября, 2017 Автор Поделиться Опубликовано 29 октября, 2017 Можно фото попросить? Интересно, что получилось.Да, конечно Ссылка на комментарий
Рекомендуемые сообщения
Для публикации сообщений создайте учётную запись или авторизуйтесь
Вы должны быть пользователем, чтобы оставить комментарий
Создать аккаунт
Зарегистрируйте новый аккаунт в нашем сообществе. Это очень просто!
Регистрация нового пользователяВойти
Уже есть аккаунт? Войти в систему.
Войти