круговерть Опубликовано 3 мая, 2011 Поделиться Опубликовано 3 мая, 2011 (изменено) здравствуйте! на нижней 6-ке обнаружена гранулема,уже был пульпит, доктор прочистил каналы, положил лекарство, через 3 недели, запломбировал с использованием стекловолоконного штифта,только сейчас, задним умом, понимаю, как опасна гранулема, и правильно ли мне ее попытались залечить? к сожалению снимка нет, дело в том, что этот доктор пропустил мне на снимке кисту,(хирург ее увидел) в рез-те флюс и удаление зуба, хочу сделать КТ,чтоб исключить подобные воспалительные процессы, стоит ли делать КТ? мне уже кажется, что зуб с кистой ноет, чувствую, начинаю паниковать(боюсь повторения с удаленным зубом здравствуйте! на нижней 6-ке обнаружена гранулема,уже был пульпит, доктор прочистил каналы, положил лекарство, через 3 недели, запломбировал с использованием стекловолоконного штифта,только сейчас, задним умом, понимаю, как опасна гранулема, и правильно ли мне ее попытались залечить? к сожалению снимка нет, дело в том, что этот доктор пропустил мне на снимке кисту,(хирург ее увидел) в рез-те флюс и удаление зуба, хочу сделать КТ,чтоб исключить подобные воспалительные процессы, стоит ли делать КТ? мне уже кажется, что зуб с кистой ноет, чувствую, начинаю паниковать(боюсь повторения с удаленным зубомили достаточно прицельных снимков некоторых зубов, дело в том, что у меня много пульпитов,кот. сделаны, как выясняется, оч. плохо, может ли быть в каком-то зубе еще кисты, гранулемы, не видимые на ортопантограмме? Изменено 3 мая, 2011 пользователем круговерть Ссылка на комментарий
Salma Опубликовано 3 мая, 2011 Поделиться Опубликовано 3 мая, 2011 здравствуйте! на нижней 6-ке обнаружена гранулема,уже был пульпит, доктор прочистил каналы, положил лекарство, через 3 недели, запломбировал с использованием стекловолоконного штифта,только сейчас, задним умом, понимаю, как опасна гранулема, и правильно ли мне ее попытались залечить? к сожалению снимка нет, дело в том, что этот доктор пропустил мне на снимке кисту,(хирург ее увидел) в рез-те флюс и удаление зуба, хочу сделать КТ,чтоб исключить подобные воспалительные процессы, стоит ли делать КТ? мне уже кажется, что зуб с кистой ноет, чувствую, начинаю паниковать(боюсь повторения с удаленным зубомили достаточно прицельных снимков некоторых зубов, дело в том, что у меня много пульпитов,кот. сделаны, как выясняется, оч. плохо, может ли быть в каком-то зубе еще кисты, гранулемы, не видимые на ортопантограмме?снимки обязательны, чем выложите и орто и прицельные и кт, тем информативнее будет, для начала хотя бы орто и прицельные Ссылка на комментарий
круговерть Опубликовано 3 мая, 2011 Автор Поделиться Опубликовано 3 мая, 2011 (изменено) снимки обязательны, чем выложите и орто и прицельные и кт, тем информативнее будет, для начала хотя бы орто и прицельныеспасибо за внимание к моей теме!все снимки в компьютере у врача, мне их не сбросили, а орто. -на обычном рентгене, пожалуйста, ответьте мне по поводу правильности лечения гранулемы(только сейчас сама выяснила, что она может и не уйти, мне доктор об этом не говорил, поэтому я и мысли не допускала о всей серьезности ситуации) есть ли необходимость КТ?или мне сделать прицельные снимки? в принципе,КТ понадобится через 3 месяца когда буду делать имплантант, если сделаю сейчас, осенью придется делать новую КТ? Изменено 3 мая, 2011 пользователем круговерть Ссылка на комментарий
Salma Опубликовано 3 мая, 2011 Поделиться Опубликовано 3 мая, 2011 спасибо за внимание к моей теме!все снимки в компьютере у врача, мне их не сбросили, а орто. -на обычном рентгене, пожалуйста, ответьте мне по поводу правильности лечения гранулемы(только сейчас сама выяснила, что она может и не уйти, мне доктор об этом не говорил, поэтому я и мысли не допускала о всей серьезности ситуации) есть ли необходимость КТ?или мне сделать прицельные снимки? в принципе,КТ понадобится через 3 месяца когда буду делать имплантант, если сделаю сейчас, осенью придется делать новую КТ?сделайте прицельный снимок беспокоящего зуба для начала Ссылка на комментарий
круговерть Опубликовано 3 мая, 2011 Автор Поделиться Опубликовано 3 мая, 2011 (изменено) сделала только что снимок, боль ноющая, не прекращается,какой-то зуб справа(не могу пока понять) реагирует на хол. и горячее, видимо, кариес,возможно, боль из-за него, а не гранулемы, возникает еще один вопрос, помимо моей гранулемы, можно ли сейчас начинать лечение кариеса(удаляла зуб 28 мая) Изменено 3 мая, 2011 пользователем круговерть Ссылка на комментарий
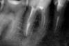
juli63 Опубликовано 4 мая, 2011 Поделиться Опубликовано 4 мая, 2011 другие зубы лечить можно. 28 мая еще не было . а каналы в 46 зубе перелечить надо.вижу кариес в 47-то же может беспокоить. Ссылка на комментарий
круговерть Опубликовано 4 мая, 2011 Автор Поделиться Опубликовано 4 мая, 2011 другие зубы лечить можно. 28 мая еще не было . а каналы в 46 зубе перелечить надо.вижу кариес в 47-то же может беспокоить.спасибо за ответ, удалили зуб -28 апрелябоже, перелечивать канал? только-только сделал доктор постоянную пломбу ( т.е. все раскрывать, класть лекарство?т.е. гранулема больших размеров? Ссылка на комментарий
juli63 Опубликовано 4 мая, 2011 Поделиться Опубликовано 4 мая, 2011 тут дело не в гранулеме, а в качестве пломбировки корневых каналов. перелечивать надо. Ссылка на комментарий
круговерть Опубликовано 5 мая, 2011 Автор Поделиться Опубликовано 5 мая, 2011 тут дело не в гранулеме, а в качестве пломбировки корневых каналов. перелечивать надо.спасибо, но вопросы у меня остались, что делать с гранулемой?что не так с качеством пломбировки каналов? я у этого доктора перелечивала 4 пульпита, ей не нравились, как пройдены каналы, поэтому мне оч. важно услышать ваше мнение по поводу пломбировки, вероятно, другие зубы также пролечены не качественно Ссылка на комментарий
juli63 Опубликовано 5 мая, 2011 Поделиться Опубликовано 5 мая, 2011 1.что делать с гранулемой?2.что не так с качеством пломбировки каналов? 1. с гранулемой ничего не делать. при качественном перелечивании или первичном лечении она проходит сама(когда все хорошо помыли и запломбировали)2. каналы до конца не пройдены, недорасширены-соответственно недомыты и недопломбированы! Ссылка на комментарий
круговерть Опубликовано 11 мая, 2011 Автор Поделиться Опубликовано 11 мая, 2011 1. с гранулемой ничего не делать. при качественном перелечивании или первичном лечении она проходит сама(когда все хорошо помыли и запломбировали)2. каналы до конца не пройдены, недорасширены-соответственно недомыты и недопломбированы!консультировалась сегодня по поводу своего зуба с гранулемой уже не он-лайн, доктор сказал, что все в порядке, существует,мол, 2 школы, одна из кот. позволяет запломбировывать не до конца, я в полном замешательстве(((( 1. с гранулемой ничего не делать. при качественном перелечивании или первичном лечении она проходит сама(когда все хорошо помыли и запломбировали)2. каналы до конца не пройдены, недорасширены-соответственно недомыты и недопломбированы!консультировалась сегодня по поводу своего зуба с гранулемой уже не он-лайн, доктор сказал, что все в порядке, существует,мол, 2 школы, одна из кот. позволяет запломбировывать не до конца, я в полном замешательстве(((( Ссылка на комментарий
juli63 Опубликовано 11 мая, 2011 Поделиться Опубликовано 11 мая, 2011 существует,мол, 2 школы, одна из кот. позволяет запломбировывать не до концане правда! нет такой школы !!!!пломбировать корневые каналы нужно до конца. хотя, раз мы по сей день встречаем и лечим гранулемы, у кого то все таки есть... Ссылка на комментарий
круговерть Опубликовано 11 мая, 2011 Автор Поделиться Опубликовано 11 мая, 2011 не правда! нет такой школы !!!!пломбировать корневые каналы нужно до конца. хотя, раз мы по сей день встречаем и лечим гранулемы, у кого то все таки есть... Спасибо, тогда я совсем не понимаю врача, наверно, ей не хочется возиться с моим зубом(((( или боится, что не получится сделать лучше, чем ее предыдущий коллега? Ссылка на комментарий
juli63 Опубликовано 11 мая, 2011 Поделиться Опубликовано 11 мая, 2011 ищите другого доктора и лучше по рекомендации. Ссылка на комментарий
круговерть Опубликовано 12 мая, 2011 Автор Поделиться Опубликовано 12 мая, 2011 ищите другого доктора и лучше по рекомендации.спасибо за совет, к сожалению, этот и был доктор с ОЧЕНЬ хорошими рекомендациями((((((((((((((((( моя, можно сказать, последняя надежда))) найти достойного специалиста Ссылка на комментарий
juli63 Опубликовано 12 мая, 2011 Поделиться Опубликовано 12 мая, 2011 прежде чем найти того самого, вам еще не раз придется разочароваться Ссылка на комментарий
круговерть Опубликовано 13 мая, 2011 Автор Поделиться Опубликовано 13 мая, 2011 прежде чем найти того самого, вам еще не раз придется разочароватьсяздравствуйте! скажите пожалуйста!а есть такая вероятность, что доктор не смог до конца пройти и расширить должным образом каналы из-за особенностей строения зуба? я переживаю, что у другого доктора тоже может не получится пройти каналы, у меня уже от зуба ничего не осталось( Ссылка на комментарий
KNYAZ Опубликовано 14 мая, 2011 Поделиться Опубликовано 14 мая, 2011 скажите каков характер боли долгодлящаяся или постоянная, при накусывании. если конкретно по 6-му зубу постучать болит? после лечения болел? а до лечения? Ссылка на комментарий
круговерть Опубликовано 14 мая, 2011 Автор Поделиться Опубликовано 14 мая, 2011 скажите каков характер боли долгодлящаяся или постоянная, при накусывании. если конкретно по 6-му зубу постучать болит? после лечения болел? а до лечения?до лечения зуб периодически ныл, очень редко(около 3-х лет назад депульпирован. после лечения не болел), если постучать-не болит, сейчас жалоб на этот зуб нет Ссылка на комментарий
KNYAZ Опубликовано 14 мая, 2011 Поделиться Опубликовано 14 мая, 2011 значит беспокоит вас какой-то соседний зуб Как кто-то уже сказал судя по снимку 7-ой Советую 6-ой зуб оставить в покое до тех пор пока не разберётесь с тем зубом который беспокоит в данный момент а потом посмотрим А и ещё вам лечили зуб вообще в частной стоматологии? что-то как-то с пломбировкой подозрительно хотя всякое может быть Вообщем лечить нужно эти зубы в част стомат и у хороших спецов И когда приходите на приём ставьте доктору задачу типа"мне нужно хорошо запломбировать каналы" а если не будет получаться пломбировка как надо пусть обьяснят почему либо вообще ничего не делают Ссылка на комментарий
juli63 Опубликовано 15 мая, 2011 Поделиться Опубликовано 15 мая, 2011 здравствуйте! скажите пожалуйста!а есть такая вероятность, что доктор не смог до конца пройти и расширить должным образом каналы из-за особенностей строения зуба? я переживаю, что у другого доктора тоже может не получится пройти каналы, у меня уже от зуба ничего не осталось( нужен доктор эндодонтист,который специализируется на лечении корневых каналов. при наличии оптики и микроскопа-можно перелечить даже зуб с очень сложным строением каналов.при поворном лечении-гарантии нет никогда. есть прогноз. о чем доктор должен предупредить заранее. Ссылка на комментарий
круговерть Опубликовано 15 мая, 2011 Автор Поделиться Опубликовано 15 мая, 2011 значит беспокоит вас какой-то соседний зуб Как кто-то уже сказал судя по снимку 7-ой Советую 6-ой зуб оставить в покое до тех пор пока не разберётесь с тем зубом который беспокоит в данный момент а потом посмотрим А и ещё вам лечили зуб вообще в частной стоматологии? что-то как-то с пломбировкой подозрительно хотя всякое может быть Вообщем лечить нужно эти зубы в част стомат и у хороших спецов И когда приходите на приём ставьте доктору задачу типа"мне нужно хорошо запломбировать каналы" а если не будет получаться пломбировка как надо пусть обьяснят почему либо вообще ничего не делаютне понятен Ваш вопрос про частную стоматологию? т.е. так плохо сделано, что как будто бесплатно?) вам не нравится, как пройдены каналы?конечно, у частника) стоимость чуть выше средней, 9 000 р. Ссылка на комментарий
KNYAZ Опубликовано 15 мая, 2011 Поделиться Опубликовано 15 мая, 2011 (изменено) а сколько времени она затратила на лечение 6-ого зуба 1час или меньше? хотя это не показатель... Изменено 15 мая, 2011 пользователем KNYAZ Ссылка на комментарий
KNYAZ Опубликовано 15 мая, 2011 Поделиться Опубликовано 15 мая, 2011 вообще так трудно судить о чужих работах потому как случаи бывают разные и возможно ваш доктор сделал всё на 100% правильно но перелечивать за кем-то зубы это ...так что может не всё так плохо но 1. у нас нет снимков до лечения и 2.вы говорили что вам пропустили кисту .В конечном итоге вам решать А вообще если не беспокоит то и не трогайте а через годик сделайте повторный снимок А этот снимок обязятельно сохранить с подписью даты Ну а если начнёт беспокоить раньше то опять же снимок и перелечивать... и кстати лично в моём кабинете гранулёмы лечат немного по-другому Ссылка на комментарий
круговерть Опубликовано 15 мая, 2011 Автор Поделиться Опубликовано 15 мая, 2011 (изменено) вообще так трудно судить о чужих работах потому как случаи бывают разные и возможно ваш доктор сделал всё на 100% правильно но перелечивать за кем-то зубы это ...так что может не всё так плохо но 1. у нас нет снимков до лечения и 2.вы говорили что вам пропустили кисту .В конечном итоге вам решать А вообще если не беспокоит то и не трогайте а через годик сделайте повторный снимок А этот снимок обязятельно сохранить с подписью даты Ну а если начнёт беспокоить раньше то опять же снимок и перелечивать... и кстати лично в моём кабинете гранулёмы лечат немного по-другому доктора , кот. смотрели снимок до лечения(он у меня на рентгене)-говорят, гранулема значительно уменьшилась, лечили зуб больше часа, и вчера на очной консультации доктор тоже озвучил Ваше мнение-зуб не трогать, правда , сказал, что залечено очень хорошо,с чем Вы не согласны, полагаю, что здесь на снимке может быть не видно в полную мерукисту на снимке не один из 3- х терапевтов таки не увидел, она на начальной стадии, выглядит как расширение канала(вроде бы так объясняли), к сожалению, прицельного снимка сделано не было, но тем не менее, мне лечился пульпит в соседней 7-ке,в удаленной в последствии 6-ке переделывалась пломба наверняка зуб тоже "захватывался" Изменено 15 мая, 2011 пользователем круговерть Ссылка на комментарий
Рекомендуемые сообщения
Для публикации сообщений создайте учётную запись или авторизуйтесь
Вы должны быть пользователем, чтобы оставить комментарий
Создать аккаунт
Зарегистрируйте новый аккаунт в нашем сообществе. Это очень просто!
Регистрация нового пользователяВойти
Уже есть аккаунт? Войти в систему.
Войти