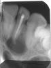
Alleghany Опубликовано 25 марта, 2011 Поделиться Опубликовано 25 марта, 2011 (изменено) Добрый день! Мне предстоит удалить радикулярную кисту на 2-м зубе. Вопрос к врачам: как бы вы посоветовали лечить? Удалять ли нерв в первом и/или третьем зубе? Можно ли вырезать, сохранив живыми 1-й и 3-й зуб? И еще вопрос: канал на снимке был запломбирован гуттаперчей специально под операцию и резекцию пару дней назад. Хирург в другой (платной) клинике говорит, что его не устраивает пломбировка и он хочет заполнять верхушку корня ретроградно дополнительно другим материалом. Есть ли в этом необходимость или он просто хочет взять побольше денег за ненужные по большому счету действия? Спасибо. Изменено 25 марта, 2011 пользователем Alleghany Ссылка на комментарий
Zborzh Опубликовано 25 марта, 2011 Поделиться Опубликовано 25 марта, 2011 Добрый день! Мне предстоит удалить радикулярную кисту на 2-м зубе. Вопрос к врачам: как бы вы посоветовали лечить? Удалять ли нерв в первом и/или третьем зубе? Можно ли вырезать, сохранив живыми 1-й и 3-й зуб? И еще вопрос: канал на снимке был запломбирован гуттаперчей специально под операцию и резекцию пару дней назад. Хирург в другой (платной) клинике говорит, что его не устраивает пломбировка и он хочет заполнять верхушку корня ретроградно дополнительно другим материалом. Есть ли в этом необходимость или он просто хочет взять побольше денег за ненужные по большому счету действия? Спасибо. По поводу депульпации соседних зубов - это вопрос правильного планирования операции . Обязательно надо сделать ЭОД соседних зубов ,если значения будут выше 15 - я бы рекомендовал еще до операции депульпировать соседние зубы , ибо , очень велика вероятность их затронуть при вылущивании кисты . Корневой канал запломбирован хорошо , ретроградной пломбировкой лучше не увлекаться (нет гарантии , что внесенный на культю зуба материал потом не отвалится ). После операции резекции я бы рекомендовал вам сделать вантовое шинирование ,т.е. пришинировать причинный зуб к рядом стоящим ,потому , как стабильность зуба в послеоперационном периоде - один из залогов успеха. Ссылка на комментарий
DShu Опубликовано 25 марта, 2011 Поделиться Опубликовано 25 марта, 2011 (изменено) можно и терапевтически попробывать полечить такой зуб если бы я делал резекцию, то тоже с ретроградным пломбированиема если прорут и отвалится (с чего бы вдруг) думаю не страшно ЭОД соседних зубов +1 Изменено 25 марта, 2011 пользователем DShu Ссылка на комментарий
Zborzh Опубликовано 26 марта, 2011 Поделиться Опубликовано 26 марта, 2011 (изменено) можно и терапевтически попробывать полечить такой зуб если бы я делал резекцию, то тоже с ретроградным пломбированиема если прорут и отвалится (с чего бы вдруг) думаю не страшно ЭОД соседних зубов +1Как вы терапевтически такой зуб полечите ,если есть перфорация, тут и материал за верхушкой? Конечно , можно было бы пойти по пути введения гидроокиси кальция и наблюдения , но в данном клиническом примере , изначально решили пойти на РВК , я даже считаю , что правильно , только , с соседними зубами надо определиться. Изменено 26 марта, 2011 пользователем Zborzh Ссылка на комментарий
DShu Опубликовано 26 марта, 2011 Поделиться Опубликовано 26 марта, 2011 Как вы терапевтически такой зуб полечите ,если есть перфорация, тут и материал за верхушкой? не думаю, что это перфо Ссылка на комментарий
Zborzh Опубликовано 27 марта, 2011 Поделиться Опубликовано 27 марта, 2011 не думаю, что это перфоА что же это тогда ? =) Ссылка на комментарий
Alleghany Опубликовано 28 марта, 2011 Автор Поделиться Опубликовано 28 марта, 2011 Третий не затронут и спасен. Это же сколько времени надо, чтобы такая дыра зарастала "терапевтически"? Ссылка на комментарий
Bier Опубликовано 28 марта, 2011 Поделиться Опубликовано 28 марта, 2011 не меньше года. резекция без ретроградной пломбировки - выброшенные на ветер деньги и зуб. Ссылка на комментарий
Zborzh Опубликовано 30 марта, 2011 Поделиться Опубликовано 30 марта, 2011 не меньше года. резекция без ретроградной пломбировки - выброшенные на ветер деньги и зуб.Делал много раз , зубы пока на месте .. Ссылка на комментарий
Хирург Опубликовано 30 марта, 2011 Поделиться Опубликовано 30 марта, 2011 не меньше года. резекция без ретроградной пломбировки - выброшенные на ветер деньги и зуб.Если канал перепломбирован перед операцией, то можно и без ретроградного пломбирования. Хотя возможно раздвоение канала у верхушки, тогда при отсутствии материала в ответвлении возможен рецидив. Соседние зубы я бы депульпировал, т.к они прилежат к кисте. Ссылка на комментарий
Zborzh Опубликовано 30 марта, 2011 Поделиться Опубликовано 30 марта, 2011 Если канал перепломбирован перед операцией, то можно и без ретроградного пломбирования. Хотя возможно раздвоение канала у верхушки, тогда при отсутствии материала в ответвлении возможен рецидив. Соседние зубы я бы депульпировал, т.к они прилежат к кисте.Тут народ стчитает , что РВК без ретроградки - безграмотность ... Ссылка на комментарий
Bier Опубликовано 30 марта, 2011 Поделиться Опубликовано 30 марта, 2011 Доктора, тема необходимости ретроградной пломбировки обсуждена неоднократно в закрытом разделе с приведением данных рандомизированных исследований, приведенных иностранными стоматологами. Более того в большинстве иностранных статей даже не рассматривается возможность проведения РВК без ретроградной пломбировки, а многие авторы считают ретроградную пломбировку единственной целью проведения РВК. Обсуждение этого вопроса в открытом доступе закончено. Администрация. 1 Ссылка на комментарий
Alleghany Опубликовано 1 апреля, 2011 Автор Поделиться Опубликовано 1 апреля, 2011 Продолжение. Операцию сделали неделю назад. Швы сняли вчера. Разрез не совсем сросся. Хирург сказал, что срастется и без швов. Срастется ли? Уж больно страшно выглядит. Ссылка на комментарий
Хирург Опубликовано 1 апреля, 2011 Поделиться Опубликовано 1 апреля, 2011 Продолжение. Операцию сделали неделю назад. Швы сняли вчера. Разрез не совсем сросся. Хирург сказал, что срастется и без швов. Срастется ли? Уж больно страшно выглядит.В полости рта хорошее кровоснабжение и заживление идет быстро. Срастется, не переживайте и выздоравливайте Ссылка на комментарий
Zborzh Опубликовано 1 апреля, 2011 Поделиться Опубликовано 1 апреля, 2011 (изменено) Продолжение. Операцию сделали неделю назад. Швы сняли вчера. Разрез не совсем сросся. Хирург сказал, что срастется и без швов. Срастется ли? Уж больно страшно выглядит.Рентген бы еще посмотреть , выложите , должны были сделать контрольные снимки после Рвк.А сейчас , просто ротовые ванночки Президент профи или Корсодил. Изменено 1 апреля, 2011 пользователем Zborzh Ссылка на комментарий
Bier Опубликовано 1 апреля, 2011 Поделиться Опубликовано 1 апреля, 2011 заживет... ретроградную пломбировку то сделали в итоге? Ссылка на комментарий
Alleghany Опубликовано 4 апреля, 2011 Автор Поделиться Опубликовано 4 апреля, 2011 Спасибо за советы, будем следовать. Ретроградную пломбировку в итоге сделали. Ссылка на комментарий
Рекомендуемые сообщения
Для публикации сообщений создайте учётную запись или авторизуйтесь
Вы должны быть пользователем, чтобы оставить комментарий
Создать аккаунт
Зарегистрируйте новый аккаунт в нашем сообществе. Это очень просто!
Регистрация нового пользователяВойти
Уже есть аккаунт? Войти в систему.
Войти