Anna_M Опубликовано 16 февраля, 2011 Поделиться Опубликовано 16 февраля, 2011 Здравствуйте, уважаемые врачи! Мне сегодня вкрутили ортодонтический микроимплант в ВЧ между 5-кой и 6-кой слева. Процедура прошла очень болезненно, с кровью (хотя врач сказал, что крови никакой в норме быть не должно, как и боли). Сделали снимок, винт прошел очень близко от 6-ки, но вроде не задел. При этом боль, несмотря на неотошедшую анестезию и принятый кеторол, усиливалась. Ортодонт сказал, если боль будет продолжаться до завтра, будем перекручивать имплант. Пожалуйста, посмотрите снимок, нормально ли вкручен винт, не задел ли он зуб? Боль утихла только к вечеру, сейчас очень слабо ноет, но вполне терпимо. Если бы был задет зуб, наверное, боль была бы четко локализована, или нет? Сначала болела вся область имплантации, включая 5,6, скуловую кость и периодически отдавало в глаз. Но сейчас ничего такого нет, ноет в области винта и все. Очень надеюсь, что все нормально, зуб не задет и переделывать ничего не придется. Помогите мне, пожалуйста, очень прошу! Заранее спасибо Снимок:http://i058.radikal.ru/1102/c9/1ac046c25874t.jpg Фото:http://s006.radikal.ru/i213/1102/b2/5324aaed5ccet.jpg Ссылка на комментарий
Bier Опубликовано 16 февраля, 2011 Поделиться Опубликовано 16 февраля, 2011 вполне мог быть задет зуб. не знаю с чем связана боль, обычно нет вообще никаких ощущений. Ссылка на комментарий
Anna_M Опубликовано 16 февраля, 2011 Автор Поделиться Опубликовано 16 февраля, 2011 (изменено) вполне мог быть задет зуб. не знаю с чем связана боль, обычно нет вообще никаких ощущений. Олег, спасибо за ответ Изменено 16 февраля, 2011 пользователем Anna_M Ссылка на комментарий
Anna_M Опубликовано 17 февраля, 2011 Автор Поделиться Опубликовано 17 февраля, 2011 Здравствуйте, уважаемые врачи Сегодня сделала КТ. Специалист по компьютерной томографии очень долго крутила и вертела мою черепушку в разных проекциях. Вывод такой: микроимплант расположен чрезвычайно близко к 6-ке, но, все же, не задевает ее, слава тебе господи. Выкладываю скрин, правда не ручаюсь за правильность проекций, т.к. крутила и вертела уже сама, но вроде тоже видно, что есть крошечный промежуток между микроимплантом и зубом. Если проекции некорректные, подскажите, как лучше сделать? Надеюсь, ваше мнение совпадет с мнением специалиста по КТ и зуб мой вне опасности.http://i033.radikal.ru/1102/94/7d77b904285bt.jpg Ссылка на комментарий
Bier Опубликовано 17 февраля, 2011 Поделиться Опубликовано 17 февраля, 2011 ну он скорее всего в периодонтальной щели (связка зуба) отсюда и боли возможны, я бы его перекрутил.уж не знаю с чем связаны ваши мучения, но установка миниимплантата занимает ровно 3 минуты без всяких болезненных ощущений. Связка восстановиться должна без проблем.Надо его выкрутить и вкрутить на 1 мм медиальнее. ну он скорее всего в периодонтальной щели, я бы его перекрутил.уж не знаю с чем связаны ваши мучения, но установка миниимплантата занимает ровно 3 минуты без всяких болезненных ощущений. Надо его выкрутить и вкрутить на 1 мм медиальнее. Ссылка на комментарий
Anna_M Опубликовано 17 февраля, 2011 Автор Поделиться Опубликовано 17 февраля, 2011 ну он скорее всего в периодонтальной щели (связка зуба) отсюда и боли возможны, я бы его перекрутил.уж не знаю с чем связаны ваши мучения, но установка миниимплантата занимает ровно 3 минуты без всяких болезненных ощущений. Связка восстановиться должна без проблем.Надо его выкрутить и вкрутить на 1 мм медиальнее. Олег, большое спасибо за ответ! Я понимаю, что его надо выкручивать, т.к. периодонтальная связка травмирована, и вообще стоит он криво... Но где гарантия, что во второй раз винт не вкрутят еще хуже. Судя по всему, такое "кривое" вкручивание - это норма для моего ортодонта, т.к. прицельный снимок из моего первого поста был сделан на этапе, когда имплант только начали крутить и я почувствовала боль. Посмотрев снимок, врач сказал, что все прекрасно, и докрутил винт до самого конца с легким сердцем Как бы во второй раз мне точно не угробили зуб Что более рискованно в моем случае: оставить все, как есть и рисковать состоянием связки, или перекрутить винт заново и рискнуть целым зубом? Чем грозит в ближайшем и отдаленном будущем присутствие микроимпланта в периодонтальной щели? Потеря зуба для меня настоящая трагедия Я не знаю, что делать... Знать бы, кто в моем городе сможет наверняка стопроцентно идеально вкрутить этот несчастный микроимплант, побежала бы к нему. Ссылка на комментарий
Bier Опубликовано 17 февраля, 2011 Поделиться Опубликовано 17 февраля, 2011 обычно со второго раза получается лучше ведь теперь он знает, что надо отступить на 1мм Ссылка на комментарий
Anna_M Опубликовано 17 февраля, 2011 Автор Поделиться Опубликовано 17 февраля, 2011 обычно со второго раза получается лучше ведь теперь он знает, что надо отступить на 1мм Спасибо за ответ Пойду переделывать. Ссылка на комментарий
Anna_M Опубликовано 19 февраля, 2011 Автор Поделиться Опубликовано 19 февраля, 2011 Сегодня выкрутили... Посмотрев скрин КТ, орт сказал, что винт стоит идеально, но раз я так настаиваю, то выкрутим... Положил его на стерилизацию, будет крутить через некоторое время его же, в ту же дырку, но под другим углом Я несколько раз пыталась донести до него мысль, что надо крутить на 1 мм медиальнее... Попытки не увенчались успехом Ссылка на комментарий
Bier Опубликовано 19 февраля, 2011 Поделиться Опубликовано 19 февраля, 2011 пригласите его сюда Ссылка на комментарий
ПалСаныч Опубликовано 19 февраля, 2011 Поделиться Опубликовано 19 февраля, 2011 может вопрос для врачебного форума, а может и здесь можно.. Цитата """Положил его на стерилизацию, будет крутить через некоторое время его же"""" Вопрос: можно ли один и тотже имплантат стерилизовать и ставить повторно? Или это только ортодонтические импланты можно? Ссылка на комментарий
Bier Опубликовано 19 февраля, 2011 Поделиться Опубликовано 19 февраля, 2011 вообще-то нельзя. Производитель запрещает т.к. есть риск перелома. Но на практике я думаю, что ничего не будет. Вообще надо было прямо после снимка его перекрутить и все. Ссылка на комментарий
Anna_M Опубликовано 20 февраля, 2011 Автор Поделиться Опубликовано 20 февраля, 2011 (изменено) пригласите его сюда вообще-то нельзя. Производитель запрещает т.к. есть риск перелома. Но на практике я думаю, что ничего не будет. Вообще надо было прямо после снимка его перекрутить и все.Патовая ситуация...______________________________________________________ Отверстие от винта покрылось чем-то противно-белёсым, надеюсь, это фибринозный налет, а не гной, т.к. обрабатываю ранку по проверенной схеме "хг+м-д" . Это не может быть гноем, правда же? И красный ободок по контуру ранки настораживает Изменено 20 февраля, 2011 пользователем Anna_M Ссылка на комментарий
Bier Опубликовано 20 февраля, 2011 Поделиться Опубликовано 20 февраля, 2011 фибрин и есть. Ссылка на комментарий
Anna_M Опубликовано 21 февраля, 2011 Автор Поделиться Опубликовано 21 февраля, 2011 фибрин и есть.Спасибо Ссылка на комментарий
Anna_M Опубликовано 16 марта, 2011 Автор Поделиться Опубликовано 16 марта, 2011 Здравствуйте, уважаемые врачи! Сегодня вкрутили мой микроимплант повторно, снимок прилагаю. Вкручивать было так же больно, как и в первый раз, и кровь шла (она, кстати, и сейчас еще идет, спустя 2 часа). Видимо, индивидуальная реакция какая-то. Но, главное, что сейчас уже ничего не болит! По сравнению с первым разом - просто небо и земля http://s48.radikal.ru/i120/1103/3e/b6ac0d9efddat.jpg Ссылка на комментарий
Bier Опубликовано 16 марта, 2011 Поделиться Опубликовано 16 марта, 2011 ну вот, я же говорил, что надо немного отступить а анестезию то вам хоть делали? Ссылка на комментарий
Anna_M Опубликовано 16 марта, 2011 Автор Поделиться Опубликовано 16 марта, 2011 ну вот, я же говорил, что надо немного отступить Вам нравится? Урря!!! http://s19.rimg.info/b09105ce48849fc3406e3ec549c0bc2d.gif а анестезию то вам хоть делали? И в первый раз, и во второй с анестезией крутили Правда орт сказал, что по инструкции надо бы вкручивать безо всякой анестезии, чтоб пациент почувствовал, если вдруг что-то пойдет не так, но поскольку он не садист, то никому такого "счастья" не доставляет Ссылка на комментарий
Bier Опубликовано 16 марта, 2011 Поделиться Опубликовано 16 марта, 2011 по инструкции делается "маленькая" анестезия Ссылка на комментарий
Anna_M Опубликовано 16 марта, 2011 Автор Поделиться Опубликовано 16 марта, 2011 по инструкции делается "маленькая" анестезия Олег, вот я с самого начала подозревала, что мой орт не в том месте получал инструкции по установке микроимплантов Ссылка на комментарий
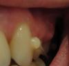
Anna_M Опубликовано 28 октября, 2011 Автор Поделиться Опубликовано 28 октября, 2011 И снова здравствуйте! Сегодня мне выкрутили микроимплант, т.к. он выполнил свою функцию. Выкрутили быстро и безболезненно, сам винт был девственно чистым, ничем не оброс, только на кончике была капелька крови.Но дело в том, что в то время, пока он стоял, возле него на десне появилось какое-то белесое, твердое, шишковидное образование. Это образование было плохо видно, т.к. головка микроимпланта была закрыта набалдашником из композита (для защиты слизистой на щеке), который ограничивал видимость. Сегодня это безобразие открылось во всей красе. Плюсом ко всему от набалдашника на десне образовался пролежень, но я надеюсь, что он быстро пройдет. В общем, дорогие специалисты, волнует меня эта шишка на десне. Если надавить на нее, она слабо болезненна. Фото прилагаю. Свежего прицельного нет, но есть ОПТГ. Что это может быть? Я грешным делом думала, что там что-то загноилось в кости, но вид чистого микроимпланта это опроверг. Если по фото ничего сказать нельзя и нужен прицельный, сделаю, без вопросов Вот так микроимплант выглядел снаружи:http://s53.radikal.ru/i142/1110/2f/caa6ffe4fdb1.jpg Вот так - изнутри:http://s017.radikal.ru/i442/1110/1c/cf1ce3f62e97.jpg Сегодняшние фото после удаления микроимпланта:http://s009.radikal.ru/i308/1110/3e/66c4abbfdd7b.jpg Ссылка на комментарий
Anna_M Опубликовано 28 октября, 2011 Автор Поделиться Опубликовано 28 октября, 2011 http://i032.radikal.ru/1110/8e/eae886e5196d.jpg http://s017.radikal.ru/i426/1110/d1/cd39ea230703.jpg Ссылка на комментарий
Anna_M Опубликовано 28 октября, 2011 Автор Поделиться Опубликовано 28 октября, 2011 (изменено) И вид сбоку, так лучше видно, как эта шишка выпирает. С другой стороны нет ничего подобного, десна ровная и гладкая Изменено 28 октября, 2011 пользователем Anna_M Ссылка на комментарий
Bier Опубликовано 28 октября, 2011 Поделиться Опубликовано 28 октября, 2011 подождите неделю, может пройдет? Ссылка на комментарий
Большой Зеленый Опубликовано 28 октября, 2011 Поделиться Опубликовано 28 октября, 2011 Да ничего страшного .Небольшая деформация слизистой пройдет быстро. Ссылка на комментарий
Рекомендуемые сообщения
Для публикации сообщений создайте учётную запись или авторизуйтесь
Вы должны быть пользователем, чтобы оставить комментарий
Создать аккаунт
Зарегистрируйте новый аккаунт в нашем сообществе. Это очень просто!
Регистрация нового пользователяВойти
Уже есть аккаунт? Войти в систему.
Войти