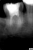
zybnaya feya Опубликовано 31 января, 2011 Поделиться Опубликовано 31 января, 2011 (изменено) Сегодня пришла такая пульпитная красотка. http://s41.radikal.ru/i092/1101/a9/f870fab317c3.jpg Я пока рабочую длину померяла,влезла протейпером,ломанула его мигом)) Удалось обойти обломок,достать не получилось. Думаю что в МБ была дельта крупная или МБ2 отходил,тейпер в нее и врезался Устья нашла только три. МБ щелевидное. http://s52.radikal.ru/i138/1101/c5/1ecde9d5ef1d.jpghttp://s47.radikal.ru/i117/1101/97/a14cdbda90c5.jpg получилось так обтурировать(АН+,термафил) http://s41.radikal.ru/i094/1101/3e/bf6508bd65d6.jpg Изменено 31 января, 2011 пользователем zybnaya feya Ссылка на комментарий
Shelomodik Опубликовано 31 января, 2011 Поделиться Опубликовано 31 января, 2011 Работа супер!Очень красиво и сложно! Ссылка на комментарий
zybnaya feya Опубликовано 31 января, 2011 Автор Поделиться Опубликовано 31 января, 2011 Работа супер!Очень красиво и сложно!Спасибо. Но МБ2 недает покоя) Чувствую что он это был заклинен протейпером. Ссылка на комментарий
Alisa st Опубликовано 31 января, 2011 Поделиться Опубликовано 31 января, 2011 Здорово! Как вам удается так хорошо восьмерки фотографоровать? Ссылка на комментарий
zybnaya feya Опубликовано 31 января, 2011 Автор Поделиться Опубликовано 31 января, 2011 Здорово! Как вам удается так хорошо восьмерки фотографоровать?Да что сложного в фотографии восьмерек? Зеркало под правильным углом ставите и все. Остальное дело за фотиком Ссылка на комментарий
DokDent Опубликовано 31 января, 2011 Поделиться Опубликовано 31 января, 2011 Спасибо. Но МБ2 недает покоя) Чувствую что он это был заклинен протейпером. Ань,ну если переживаешь,может сместить тубус на 30 град.?Всё классно у тебя получилось.Как всегда Ссылка на комментарий
Kivilgar Опубликовано 31 января, 2011 Поделиться Опубликовано 31 января, 2011 Я пока рабочую длину померяла,влезла протейпером,ломанула его мигом)) Удалось обойти обломок,достать не получилось. Думаю что в МБ была дельта крупная или МБ2 отходил,тейпер в нее и врезался Аня, а по калибровочному такое ощущение (наверно ложное) что он (отломок) не плотно На контрольном если не знать то и не видно. А может стоило 2 пройденных обтурировать, а с отломком на несколько дней с гидроокисью отправить, замечала же наверно,что бывает откисает ? Ссылка на комментарий
DokDent Опубликовано 31 января, 2011 Поделиться Опубликовано 31 января, 2011 Аня, а по калибровочному такое ощущение (наверно ложное) что он (отломок) не плотно На контрольном если не знать то и не видно. А может стоило 2 пройденных обтурировать, а с отломком на несколько дней с гидроокисью отправить, замечала же наверно,что бывает откисает ?Андрей,а как отломок может от гидроокиси откиснуть? Ссылка на комментарий
Kivilgar Опубликовано 31 января, 2011 Поделиться Опубликовано 31 января, 2011 Андрей,а как отломок может от гидроокиси откиснуть? Ну не само железо, а органика вокруг- ну это я так думаю, потому как бывает сломаешь и не можешь вытащить, а как постоит с известкой то и чуть ли не само вылетает. Ссылка на комментарий
д-р Вит Опубликовано 31 января, 2011 Поделиться Опубликовано 31 января, 2011 Ну не само железо, а органика вокруг- ну это я так думаю, потому как бывает сломаешь и не можешь вытащить, а как постоит с известкой то и чуть ли не само вылетает.+100.Тоже заметил такую тенденцию,но честно говоря думал просто утро-вечера мудреннее Ссылка на комментарий
DokDent Опубликовано 31 января, 2011 Поделиться Опубликовано 31 января, 2011 Ну не само железо, а органика вокруг- ну это я так думаю, потому как бывает сломаешь и не можешь вытащить, а как постоит с известкой то и чуть ли не само вылетает. Возьму на заметку Ссылка на комментарий
juli63 Опубликовано 31 января, 2011 Поделиться Опубликовано 31 января, 2011 Сегодня пришла такая пульпитная красотка. красотища!нет слов. Ссылка на комментарий
guli Опубликовано 31 января, 2011 Поделиться Опубликовано 31 января, 2011 Да что сложного в фотографии восьмерек? Зеркало под правильным углом ставите и все. Остальное дело за фотиком А для меня сложно даже кофер на 7-8 одеть,а тут такая красота! Ссылка на комментарий
zybnaya feya Опубликовано 31 января, 2011 Автор Поделиться Опубликовано 31 января, 2011 А для меня сложно даже кофер на 7-8 одеть,а тут такая красота! Тут и для меня сложно было коффер одеть. 139 и 138 клампы просто незаменимы просто утро-вечера мудреннее скорее всего этот вариант. Аня, а по калибровочному такое ощущение (наверно ложное) что он (отломок) не плотно Еще как плотно. Я его долго уз обрабатывала. Он вот еле подвинулся чтоб я обошла.Может и надо было кальция оставить.. Сроки протезирования поджимают. (эт я оправдаться так пытаюсь ) Ссылка на комментарий
Kivilgar Опубликовано 31 января, 2011 Поделиться Опубликовано 31 января, 2011 (изменено) Еще как плотно. Я его долго уз обрабатывала. Он вот еле подвинулся чтоб я обошла.Может и надо было кальция оставить.. Сроки протезирования поджимают. (эт я оправдаться так пытаюсь )Да и ничего не будет, уверен, он в устье. Изменено 31 января, 2011 пользователем Kivilgar Ссылка на комментарий
zybnaya feya Опубликовано 1 февраля, 2011 Автор Поделиться Опубликовано 1 февраля, 2011 Да и ничего не будет, уверен, он в устье.Микроскопа конечно ой как не хватает. В бинокуляры ничего не видела Ссылка на комментарий
Стоматологша Опубликовано 3 февраля, 2011 Поделиться Опубликовано 3 февраля, 2011 Тема восьмерок Ссылка на комментарий
zybnaya feya Опубликовано 3 февраля, 2011 Автор Поделиться Опубликовано 3 февраля, 2011 Симпатичные восьмерки,НО... мне тут видится вот что.. http://s002.radikal.ru/i199/1102/34/73e9c0095caf.jpg Тут очень может быть третий медиальный канал. Проверить бы http://s58.radikal.ru/i161/1102/ba/3cd15fe16816.jpg И я бы АЛ проверила или батарейки сменилаМое лично ИМХО,но я апексы вижу на этом уровне. http://s61.radikal.ru/i173/1102/d2/690c5dba554c.jpghttp://s46.radikal.ru/i111/1102/6c/316da05b6be7.jpg Ссылка на комментарий
Inspiration Опубликовано 3 февраля, 2011 Поделиться Опубликовано 3 февраля, 2011 ну,Ань,ладно тебе,ну предположим в ДАННОМ случае,что анатомически апексы сбоку у всех этих 8ок..ну так бывает,но вот отсутствие коффердама во всех случаях.......а чем мы каналы то пломбируем? Ссылка на комментарий
Рекомендуемые сообщения
Для публикации сообщений создайте учётную запись или авторизуйтесь
Вы должны быть пользователем, чтобы оставить комментарий
Создать аккаунт
Зарегистрируйте новый аккаунт в нашем сообществе. Это очень просто!
Регистрация нового пользователяВойти
Уже есть аккаунт? Войти в систему.
Войти